Bài viết trong series DẤU HIỆU CHẨN ĐOÁN HÌNH ẢNH trình bày các dấu hiệu hình ảnh gợi ý hoặc đặc hiệu trên XQ, CT, MRI, Siêu âm.
Bản gốc: ACR Lung-RADS v2022: Assessment Categories and Management Recommendations. Journal of the American College of Radiology, Volume 21, Issue 3, 473 – 488
Tác giả: Jared Christensen, Ashley Elizabeth Prosper, Carol C. Wu, Jonathan Chung, Elizabeth Lee, Brett Elicker, Andetta R. Hunsaker, Milena Petranovic, Kim L. Sandler, Brendon Stiles, Peter Mazzone, David Yankelevitz, Denise Aberle, Caroline Chiles, Ella Kazerooni
Publication History: Published online October 9, 2023. DOI: 10.1016/j.jacr.2023.09.009
Người dịch: BS. Sơn Lâm
Tóm tắt
ACR đã xây dựng Hệ thống dữ liệu và báo cáo sàng lọc CT phổi (Lung-RADS) vào năm 2014 để chuẩn hóa việc báo cáo và quản lý các nốt phổi được phát hiện. Lung-RADS được cập nhật lên phiên bản 1.1 năm 2019 và đã sửa đổi ngưỡng kích thước cho các nốt kính mờ, thêm tiêu chí phân loại cho các nốt cạnh màng phổi, và cho phép theo dõi trong khoảng thời gian ngắn các nốt lớn nhanh có thể có nguyên nhân nhiễm trùng. Lung-RADS v2022, được phát hành vào tháng 11 năm 2022, cung cấp một số bản cập nhật bao gồm hướng dẫn về phân loại và quản lý nang phổi không điển hình, các nốt cạnh màng phổi, các nốt đường dẫn khí trung tâm, và các dấu hiệu có khả năng nhiễm trùng. Bản phát hành mới này cũng làm rõ cách xác định sự tăng trưởng nốt và giới thiệu cách quản lý từng bước các nốt có kích thước ổn định hoặc giảm dần. Bài viết này tóm tắt các bằng chứng hiện tại và sự đồng thuận của chuyên gia ủng hộ Lung-RADS v2022.
Từ viết tắt:
- ACR: American College of Radiology
- CMS: Centers for Medicare & Medicaid Services
- CT: Computed Tomography
- DCT: Diagnostic Chest CT, Diagnostic CTs
- NIH: National Institutes of Health
- NLST: The National Lung Screening Trial
- NELSON: The Dutch-Belgian Randomized Lung Cancer Screening Trial
- LCS: Lung Cancer Screening
- LDCT: Low-dose CT
- Lung-RADS: Lung CT Screening Reporting and Data System
GIỚI THIỆU
Ung thư phổi là nguyên nhân phổ biến nhất gây tử vong liên quan đến ung thư tại Hoa Kỳ và trên toàn thế giới. Thử nghiệm sàng lọc phổi quốc gia (NLST) đã chứng minh tỷ lệ tử vong liên quan đến ung thư phổi giảm 20% khi sử dụng CT sàng lọc ung thư phổi liều thấp (LCS) ở những bệnh nhân có nguy cơ cao [1,2]. Dữ liệu gần đây hơn từ Thử nghiệm sàng lọc ung thư phổi ngẫu nhiên Hà Lan-Bỉ (NELSON) và Thử nghiệm phát hiện phổi đa trung tâm của Ý khẳng định lại tính hữu ích của CT LCS, báo cáo tỷ lệ tử vong do ung thư phổi giảm lần lượt tới 26% và 39% [3,4]. Cùng với sự chấp thuận của CMS về phạm vi bảo hiểm của CT LCS ở những bệnh nhân đủ điều kiện, ACR đã phát hành Hệ thống dữ liệu và báo cáo sàng lọc CT phổi (Lung-RADS) v1.0 vào năm 2014 để chuẩn hóa báo cáo CT LCS, đưa ra hướng dẫn quản lý nhất quán và tạo điều kiện theo dõi kết quả [5].
Các khía cạnh cụ thể của Lung-RADS đã được xác nhận trong nhiều nghiên cứu với những lợi ích chính là khả năng sống còn liên quan đến việc chuyển sang phát hiện ung thư phổi giai đoạn sớm (chuyển giai đoạn) và giảm sàng lọc dương tính giả và theo dõi không cần thiết [6-14]. Lung-RADS đã được áp dụng rộng rãi để báo cáo CT LCS trên khắp Hoa Kỳ với tư cách là hệ thống phân loại và báo cáo duy nhất được CMS chấp thuận cho LCS. Lung-RADS cũng đã được triển khai ở các quốc gia khác hoặc được sử dụng làm nền tảng cho các hệ thống báo cáo quốc tế [15,16].
Lung-RADS đã được cập nhật lên v1.1 vào năm 2019, bổ sung tiêu chí phân loại cho các nốt cạnh rãnh liên thùy, tiêu chí kích thước mới cho các nốt kính mờ, sửa đổi tiêu chí kích thước, cùng với các bản cập nhật khác [17,18]. Phiên bản mới nhất, Lung-RADS v2022, được phát hành vào tháng 11 năm 2022, trùng với tháng Nâng cao nhận thức về Ung thư phổi Quốc gia [19]. Bản phát hành này được chuẩn bị bởi Ủy ban ACR Lung-RADS, bao gồm 15 chuyên gia từ các lĩnh vực chẩn đoán hình ảnh, phẫu thuật lồng ngực và nội hô hấp đại diện cho nhiều bối cảnh thực hành lâm sàng. Các bản cập nhật được đưa ra dựa trên các thông tin khoa học mới, các câu hỏi do các bác sĩ chẩn đoán hình ảnh đang hành nghề đưa ra và ý kiến chuyên sâu từ các thành viên ủy ban. Mỗi chủ đề đều được đánh giá có hệ thống các tài liệu, kêt quả ủng hộ các cập nhật dựa trên bằng chứng, bao gồm các tiêu chí đánh giá mới cho các nang phổi không điển hình và các nốt cạnh màng phổi, cũng như các tiêu chí đánh giá được sửa đổi cho các nốt đường thở và các dấu hiệu có khả năng nhiễm trùng hoặc viêm trên LCS. Đối với các chủ đề có tầm quan trọng về mặt lâm sàng nhưng thiếu dữ liệu đầy đủ, sự đồng thuận của các chuyên gia được đưa ra thông qua phương pháp nhóm danh nghĩa (nominal group methodology) để thiết lập hướng dẫn thực hành tốt nhất cho các tình huống lâm sàng thường gặp trong thực hành CT LCS. Bài viết này, do Ủy ban ACR Lung-RADS biên soạn, trình bày chi tiết các bản cập nhật cùng với bằng chứng và cơ sở lý luận cho những thay đổi được đưa vào Lung-RADS v2022 (Bảng 1).
Bảng 1. Tóm tắt các bản cập nhật Lung-RADS v2022*
| Tiêu chuẩn phân loại | Mô tả |
|---|---|
| Nang phổi không điển hình | Phân loại và khuyến cáo quản lý mới cho các nang thành dày, nang nhiều ngăn, và nang có kết hợp với nốt |
| Nốt cạnh màng phổi | Cập nhật phân loại và khuyến cáo quản lý các nốt cạnh màng phổi (quanh rãnh liên thùy, màng phổi thành, quanh trung thất, và quanh cơ hoành) |
| Các dấu hiệu viêm hoặc nhiễm trùng | Cập nhật phân loại và khuyến cáo quản lý cho các dấu hiệu có thể đại diện cho quá trình viêm hoặc nhiễm trùng: đông đặc thùy hoặc phân thùy, nhiều nốt mới (nhiều hơn sáu nốt), nốt đặc lớn (≥8 mm) xuất hiện trong thời gian ngắn, hoặc nốt mới trong bối cảnh lâm sàng nhất định (ví dụ bệnh nhân suy giảm miễn dịch) |
| Nốt đường thở | Cập nhật phân loại và khuyến cáo quản lý các nốt đường thở dựa trên vị trí, hình thái, số lượng, và thời gian tồn tại |
| Giải thích | Mô tả |
|---|---|
| Tăng trưởng | Cập nhật định nghĩa: Tăng >1.5 mm đường kính trung bình trong khoảng thời gian 12 tháng |
| Tăng trưởng chậm | Định nghĩa mới cho nốt đặc, nốt bán đặc, nốt kính mờ tăng trưởng chậm với khuyến cáo quản lý tương ứng |
| Trình điều chỉnh S (S modifier) | Hướng dẫn mới về thời điểm sử dụng và ngừng sử dụng trình điều chỉnh S cho các dấu hiệu có ý nghĩa hoặc có khả năng có ý nghĩa |
| Cân nhắc quản lý | Mô tả |
|---|---|
| Quản lý từng bước | Tiếp cận quản lý theo từng bước mới cho các nốt Lung-RADS 3 và 4A ổn định hoặc giảm kích thước khi theo dõi |
| Khoảng thời gian chụp CT chẩn đoán | Hướng dẫn mới về việc quản lý khoảng thời gian chụp CT chẩn đoán (Diagnostic CTs) thu được ở bệnh nhân sàng lọc ung thư phổi, bao gồm thời điểm chụp CT chẩn đoán có thể thay thế cho chụp tầm soát ung thư phổi (LCS) và liệu thời điểm chụp LCS tiếp theo có nên được điều chỉnh dựa trên khoảng thời gian CT ngực chẩn đoán hay không |
*Refer to the complete Lung-RADS v2022 Assessment Category table and notes: https://www.acr.org/-/media/ACR/Files/RADS/Lung-RADS/
Lung-RADS-2022.pdf.
TIÊU CHUẨN PHÂN LOẠI MỚI
Nang khí phổi không điển hình
Tỷ lệ mắc ung thư phổi liên quan nang phổi không điển hình nhìn chung là thấp, nghiên cứu lớn nhất cho thấy tỷ lệ 1.1% với chẩn đoán ung thư phổi mới [20]. Tuy nhiên, tỷ lệ mắc ung thư phổi dạng nang ở nhóm dân số có nguy cơ cao cao hơn nhiều. Khi đánh giá dữ liệu Chương trình Hành động ung thư phổi giai đoạn đầu Quốc tế (International Early Lung Cancer Action Program), Farooqi và cộng sự phát hiện ra rằng trong số 706 bệnh nhân ung thư phổi, 3.6% có liên quan với nang ở thời điểm ban đầu hoặc khi theo dõi LCS [21]. Một nghiên cứu trên 441 bệnh nhân được chẩn đoán mắc ung thư phổi nguyên phát cho thấy 9.3% có liên quan với các thành phần nang trên hình ảnh CT ban đầu [22]. Bên cạnh đó, ung thư liên quan với nang có nhiều khả năng bị bỏ sót trong quá trình sàng lọc ban đầu hơn so với các ung thư biểu hiện dưới dạng các nốt đơn độc. Trong phân tích NELSON, 22% ung thư bị bỏ sót trong quá trình sàng lọc ban đầu có liên quan với nang khí [23].
Các tổn thương tiền thân của ung thư phổi dạng nang thường được biểu hiện bằng các nang thành dày đơn ngăn, nang kèm nốt thành hoặc nang đa ngăn [22]. Một phân tích tổng hợp của tám nghiên cứu đánh giá ung thư phổi liên quan với các khoảng khí dạng nang ở 341 bệnh nhân cho thấy các đặc điểm hình ảnh nang phổ biến nhất là dạng không đồng nhất (91.2%), liên quan thành phần nốt (64.0%), nang đơn ngăn (63.6%), dày thành (37.4%), và bờ không đều (37.3%) [24]. Theo thời gian, hình ảnh cho thấy sự tăng trưởng của nốt (68.5%), tăng độ dày thành (48.3%), mở rộng thành phần nang (40.4%), hoặc chuyển thành nốt đặc hoàn toàn (12.4%). Khi có liên quan với ung thư phổi, nang đơn ngăn thường có các đặc điểm bổ sung, chẳng hạn như dày thành hoặc nốt thành [24-26]. Nang nhiều ngăn có khả năng ác tính cao và được báo cáo chiếm tới 20% ung thư phổi dạng nang [25]. Với những phát hiện này, Lung-RADS v2022 đưa ra các khuyến cáo về phân loại và quản lý đối với nang phổi không điển hình được phát hiện trên LCS (Bảng 2). Các nguyên tắc chính như sau:
- Nang thành mỏng, được định nghĩa là nang đơn ngăn có độ dày thành < 2 mm, được coi là lành tính và không được phân loại hoặc quản lý trong Lung-RADS [27]. Nhiều nang phổi có thể gợi ý bệnh phổi dạng nang lan tỏa; tuy nhiên các tình trạng này không được phân loại trong Lung-RADS trừ khi xác định được nang có các đặc điểm đáng lo ngại (Hình 1).
- Nang thành dày là nang đơn ngăn có độ dày thành 2 mm trở lên, có thể đồng nhất, không đối xứng, hoặc biểu hiện dưới dạng nốt thành khu trú (Hình 2).
- Nang nhiều ngăn có các vách ngăn bên trong và có thể có liên quan thành phần kính mờ hoặc thành phần đặc (Hình 3).
- Nang thành dày và nang nhiều ngăn được phân loại là Lung-RADS 4A với khuyến cáo quản lý bằng CT liều thấp (LDCT) sau 3 tháng hoặc PET/CT nếu có thành phần đặc ít nhất 8 mm.
- Gia tăng độ dày thành hoặc nốt của nang thành dày, tăng số lượng ngăn của nang có nhiều ngăn, gia tăng hoặc xuất hiện thành phần mờ mới (nốt, kính mờ hoặc đông đặc) bên trong hoặc sát bên nang nhiều ngăn được phân loại là 4B với khuyến cáo đánh giá chẩn đoán phù hợp (Hình 3).
- Nang phổi không điển hình có nốt liên quan nằm trong lòng nang (u hướng vào bên trong) hoặc liền kề với thành (u hướng ra bên ngoài) được phân loại và quản lý theo phát hiện đáng ngờ nhất. Có thể khó phân biệt giữa nang có nốt thành (ví dụ: nang thành dày, Lung-RADS 4A) và nang thành mỏng có nốt sát bên (quản lý theo kích thước và thành phần nốt). Khi nghi ngờ, hãy chọn phân loại Lung-RADS cao hơn (Hình 4).
Nguy cơ ác tính chính xác đối với nang phổi không điển hình vẫn chưa được xác định rõ. Vì vậy Ủy ban Lung-RADS của ACR đã chọn xóa cột Nguy cơ ác tính khỏi bảng Lung-RADS. Đánh giá nguy cơ thường cụ thể cho tổn thương và ngoại trừ các tổn thương loại 4B, nó không được sử dụng thường xuyên trong các khuyến cáo quản lý Lung-RADS.
Bảng 2. Nang khí phổi không điển hình Lung-RADS v2022
| Lung-RADS | Mô tả | Quản lý |
|---|---|---|
| 3 | Thành phần nang đang tăng trưởng (đường kính trung bình) của nang thành dày | Chụp LDCT sau 6 tháng |
| 4A | Nang thành dày HOẶC nang nhiều ngăn tại thời điểm ban đầu HOẶC nang thành mỏng hay dày trở nên nhiều ngăn | Chụp LDCT sau 3 tháng; PET/CT có thể được xem xét nếu có nốt đặc hoặc thành phần đặc ≥8 mm (≥268 mm3) |
| 4B | Nang thành dày với độ dày thành hoặc nốt thành đang tăng trưởng HOẶC nang nhiều ngăn ngày càng tăng (đường kính trung bình) HOẶC nang nhiều ngăn gia tăng số lượng ngăn hoặc tăng thành phần mờ (nốt, kính mờ, hoặc đông đặc) hoặc xuất hiện mới thành phần mờ | CT ngực chẩn đoán có hoặc không tiêm thuốc tương phản; PET/CT có thể xem xét nếu có nốt đặc hoặc thành phần đặc ≥8 mm (≥268 mm3); lấy mẫu mô; và/hoặc giới thiệu để đánh giá lâm sàng thêm |

Hình 1. Nang khí thành mỏng. (A) Ví dụ về nang khí thành mỏng đơn giản ở ba bệnh nhân (A1, A2, A3). Nang đơn giản là nang đơn ngăn với độ dày thành < 2 mm (mũi tên) và không được phân loại hoặc quản lý trong Lung-RADS. Cần cẩn thận để tránh nhầm mạch máu (đầu mũi tên) với nốt hoặc thành dày. (B) Ba bệnh nhân mắc bệnh phổi dạng nang khí: lymphangioleiomyomatosis (u cơ trơn bạch mạch – LAM) (B1), bệnh mô bào Langerhans (B2) và viêm phổi kẽ lympho bào (LIP) (B3). Bệnh phổi đa nang (Multicystic lung disease) không được phân loại hoặc quản lý trong Lung-RADS trừ khi nang được xác định có các đặc điểm không điển hình (ví dụ: nhiều ngăn, thành dày, có nốt đi kèm).

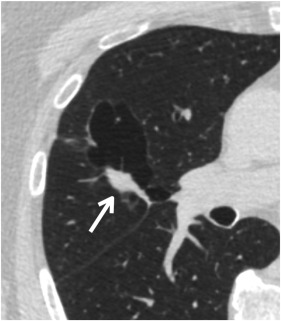
Hình 2. Nang khí phổi không điển hình: thành dày. (A) Nang phổi có độ dày thành ≥ 2 mm là “thành dày” (mũi tên) và được phân loại và quản lý trong Lung-RADS v2022. Độ dày thành có thể là chu vi (A1), không đối xứng (A2) hoặc khu trú (A3). Nang thành dày được phân loại là Lung-RADS 4A. (B) Một bệnh nhân 62 tuổi khi sàng lọc CT ban đầu với một nang thành dày (mũi tên, B1)—Lung-RADS 4A. Nốt ổn định sau 3 tháng theo dõi và quay lại sàng lọc hàng năm theo quản lý Lung-RADS v1.1. Khi sàng lọc hàng năm, nang phổi không điển hình đã tăng kích thước với độ dày thành tăng và có nốt mới (mũi tên, B2). Bệnh nhân đã được phẫu thuật cắt bỏ và được chẩn đoán xác nhận là ung thư biểu mô tuyến. Trong Lung-RADS v2022, các nang có thành dày với độ dày thành ngày càng tăng hoặc có dạng nốt thành được phân loại là Lung-RADS 4B.

Hình 3. Nang phổi không điển hình: nhiều ngăn. (A) Nang phổi nhiều ngăn có hình dạng không đồng nhất, chứa các vách ngăn bên trong (A1, A2, A3, A4) và có thể có các thành phần đặc hoặc dạng kính mờ như thành dày (A2, mũi tên), nốt (A3, đầu mũi tên), hoặc các vùng mờ bên trong (hình tròn). Nang phổi nhiều ngăn được phân loại là Lung-RADS 4A tại thời điểm ban đầu. (B) Một bệnh nhân 68 tuổi có nang phổi nhiều ngăn có đường kính trung bình là 23 mm tại thời điểm ban đầu (B1), phát triển thành 28 mm khi sàng lọc CT 12 tháng (B2). Một bệnh nhân 56 tuổi có nang phổi nhiều ngăn chứa thành phần đặc tại thời điểm ban đầu (B3, mũi tên) phát triển khi sàng lọc theo dõi (B4, mũi tên). Các nang nhiều ngăn phát triển (đường kính trung bình tăng >1.5 mm), có nhiều ngăn hơn, hoặc có thành phần mờ mới hay gia tăng thì rất nghi ngờ ác tính và được phân loại là Lung-RADS 4B.

Hình 4. Nang có nốt liên quan. Một bệnh nhân 71 tuổi có nang phổi không điển hình dạng nhiều ngăn chứa thành phần đặc có đường kính trung bình 17 mm (mũi tên). Các nốt có thể phát sinh bên trong thành (thành dày), trong lòng (u hướng vào bên trong – endophytic) hoặc bên ngoài (u hướng ra bên ngoài – exophytic) của nang phổi. Phân loại và quản lý được xác định bởi đặc điểm đáng lo ngại nhất. Trong ví dụ này, nang nhiều ngăn được phân loại là Lung-RADS 4A; tuy nhiên, sự hiện diện của một nốt đặc có đường kính trung bình ≥ 15 mm cho phép phân loại 4B.
Nốt cạnh màng phổi
Lung-RADS v1.1 đã giới thiệu các khuyến cáo mới về phân loại và quản lý đối với các nốt cạnh rãnh liên thùy được phát hiện bằng sàng lọc đáp ứng các tiêu chí về kích thước và hình thái sau: nốt đặc; hình tam giác, hình bầu dục hoặc thấu kính; và có đường kính tối đa < 10 mm. Các nốt như vậy được coi là lành tính và có khả năng là các hạch bạch huyết trong phổi với một số nghiên cứu chỉ ra tỷ lệ ác tính là 0% [28,29]. Các nghiên cứu mới chỉ ra rằng có tới 32% các nốt đặc có đường kính trung bình từ 6 đến 10 mm là nốt cạnh màng phổi (quanh rãnh liên thùy, màng phổi thành, quanh trung thất, hoặc quanh cơ hoành) và không có nốt cạnh màng phổi nào là ác tính khi áp dụng các tiêu chí về kích thước và hình thái tương tự như những tiêu chí được sử dụng cho các nốt cạnh rãnh liên thùy [30-32]. Lưu ý, một số phân tích sử dụng đường kính trung bình 10 mm (trung bình của đường kính trục dài và trục ngắn) thay vì chỉ ngưỡng đường kính tối đa; tiêu chí Lung-RADS v2022 đã được cập nhật tương ứng. Dữ liệu có sẵn cho thấy việc mở rộng phân loại và khuyến cáo quản lý nốt cạnh rãnh liên thùy cho tất cả các nốt cạnh màng phổi, bất kể vị trí, làm giảm tỷ lệ dương tính giả và tăng độ đặc hiệu của Lung-RADS mà không làm giảm độ nhạy (Hình 5).

Hình 5. Các nốt cạnh (gần) màng phổi. (A) Minh họa về sự phân bố của các nốt gần màng phổi (quanh trung thất, quanh rãnh liên thùy, màng phổi thành (sườn) và quanh cơ hoành) ở mặt phẳng trục (A1) và mặt phẳng đứng dọc (A2). (B) Các nốt cạnh màng phổi có đường kính trung bình < 10 mm, đặc, có bờ nhẵn và hình bầu dục, hình thấu kính hoặc hình tam giác (mũi tên) được coi là lành tính và có thể được phân loại là Lung-RADS 2. Ví dụ về các nốt gần màng phổi lành tính: quanh trung thất (B1), quanh rãnh liên thùy (B2), màng phổi thành (B3) và quanh cơ hoành (B4). (C) Các nốt cạnh màng phổi không đáp ứng tiêu chuẩn của Lung-RADS 2 (mũi tên) được phân loại dựa trên kích thước và thành phần: nốt màng phổi thành (sườn) hình tròn đặc 9 mm, Lung-RADS 4A (C1); nốt quanh cơ hoành có thùy đặc 11 mm, Lung-RADS 4A (C2); nốt bán đặc màng phổi thành 15 mm với thành phần đặc 6 mm, Lung-RADS 4A (C3).
Dấu hiệu viêm hoặc nhiễm trùng
Phân loại và quản lý các dấu hiệu có khả năng nhiễm trùng hoặc viêm không được đề cập trong Lung-RADS v1.0. Lung-RADS v1.1 đã đưa ra khuyến cáo quản lý mới LDCT trong vòng 1 tháng đối với “các nốt lớn mới xuất hiện tăng trưởng trên CT sàng lọc lặp lại hàng năm” để giải quyết các tình trạng có khả năng nhiễm trùng hoặc viêm. Hướng dẫn chính xác về kích thước và thành phần không được xác định rõ, nhưng khuyến cáo quản lý được cung cấp theo danh mục 4B, cho thấy các nốt đáp ứng tiêu chí phân loại cho các nốt mới 4B có thể áp dụng. Lung-RADS v2022 đưa ra hướng dẫn mới về các dấu hiệu có khả năng viêm hoặc nhiễm trùng, cách phân loại chúng, và cách quản lý phù hợp (Hình 6).
Tỷ lệ mắc bệnh lý viêm phổi hoặc nhiễm trùng chính xác khi sàng lọc ung thư phổi (LCS) vẫn chưa được biết; tuy nhiên, một nghiên cứu loạt ca 3.800 bệnh nhân cho thấy 8.1% các cuộc kiểm tra LCS có các dấu hiệu do nguyên nhân viêm hoặc nhiễm trùng và hầu hết đều được giải quyết khi chụp ảnh theo dõi với tỷ lệ mắc bệnh ác tính <1% [33]. Nghiên cứu loạt ca này cũng phát hiện ra rằng các dấu hiệu viêm hoặc nhiễm trùng chủ yếu là đa ổ (78.5%) và bao gồm kính mờ (46.8%), các đám mờ (20.2%), các nốt nụ trên cành (16.9%) hoặc đông đặc (12.4%). Ngoài ra, sự đông đặc theo thùy hoặc phân thùy, nhiều nốt mới (hơn sáu nốt), các nốt đặc lớn (≥ 8 mm) xuất hiện trong khoảng thời gian ngắn, và các nốt mới trong một số bối cảnh lâm sàng nhất định (ví dụ: bệnh nhân suy giảm miễn dịch) có khả năng là nhiễm trùng hoặc viêm [34-36]. Do sự xuất hiện tình trạng phổi có khả năng nhiễm trùng hoặc viêm không đồng nhất, nên dữ liệu không đưa ra một phân loại và khuyến cáo quản lý duy nhất. Lung-RADS v2022 cung cấp hướng dẫn sau:
- Các dấu hiệu trên LCS gợi ý quá trình viêm hoặc nhiễm trùng không xác định, như đã lưu ý trước đó, hoặc các dấu hiệu che khuất các phần của phổi, chẳng hạn như sự đông đặc phân thùy hoặc thùy, nên được phân loại là Lung-RADS 0 với khuyến cáo chụp LDCT theo dõi sau 1 đến 3 tháng để có thời gian giải quyết và loại trừ nốt nghi ngờ tiềm ẩn. Khi theo dõi, ca bệnh nên được phân loại lại dựa trên dấu hiệu đáng lo ngại nhất.
- Các dấu hiệu trên LCS có vẻ ác tính hơn là quá trình viêm hoặc nhiễm trùng nên được phân loại dựa trên kích thước và thành phần. Những dấu hiệu như vậy thường là các nốt đặc mới hoặc nốt bán đặc đáp ứng tiêu chí kích thước của Lung-RADS 4B với khuyến cáo quản lý đánh giá chẩn đoán hoặc đánh giá lâm sàng thêm.
- Một số dấu hiệu trên LCS chỉ ra một quá trình nhiễm trùng có thể không đảm bảo giải quyết khi theo dõi ngắn hạn (ví dụ: nốt nụ trên cành hoặc nốt kính mờ mới <3 cm). Những nốt này có thể được đánh giá bằng các tiêu chuẩn về kích thước và thành phần hiện có với phân loại Lung-RADS và khuyến cáo quản lý dựa trên dấu hiệu đáng ngờ nhất, thường tương ứng với Lung-RADS 2 với khuyến cáo chụp LDCT 12 tháng.

Hình 6. Dấu hiệu nhiễm trùng hoặc viêm. (A) Dấu hiệu khi sàng lọc ung thư phổi gợi ý quá trình nhiễm trùng hoặc viêm bao gồm đông đặc thùy hoặc phân thùy mới (A1, mũi tên), các nốt mới kích thước lớn (≥8 mm) xuất hiện trong khoảng thời gian ngắn (A2, mũi tên) hoặc nhiều nốt mới (A3). Những dấu hiệu như vậy có thể phân loại là Lung-RADS 0 dựa trên nghi ngờ lâm sàng về quá trình nhiễm trùng hoặc viêm với khuyến cáo chụp LDCT theo dõi sau 1 đến 3 tháng để đảm bảo đã giải quyết. Sau đó, ca bệnh được phân loại lại khi theo dõi theo dấu hiệu đáng lo ngại nhất. (B) Một bệnh nhân 55 tuổi có CT LCS thời điểm ban đầu được phân loại là Lung-RADS 3 (không thể hiện ở đây) và đến chụp LDCT theo dõi sau 6 tháng. Có một nốt mô mềm mới đường kính trung bình 28 mm ở thùy dưới bên trái (B1, mũi tên). Do kích thước và không có bất thường nào ở khu vực này trong lần khám trước, ca bệnh được phân loại là Lung-RADS 0 với khả năng nhiễm trùng. Bệnh nhân quay lại để chụp LDCT theo dõi sau 3 tháng, cho thấy kích thước giảm đáng kể nhưng không giải quyết hoàn toàn (B2, mũi tên). Không ghi nhận dấu hiệu mới nào và các nốt khác ổn định. Kết quả được phân loại lại là Lung-RADS 2 với khuyến cáo quản lý chụp CT LCS sau 12 tháng kể từ ngày thăm khám hiện tại. Nếu nốt vẫn ổn định, tăng kích thước hoặc chỉ giảm nhẹ kích thước thì khả năng xảy ra quá trình nhiễm trùng hoặc viêm sẽ thấp hơn; ca bệnh sẽ được phân loại lại là Lung-RADS 4B dựa trên kích thước và thành phần với khuyến cáo CT chẩn đoán. (C) Một bệnh nhân 61 tuổi đến chụp CT LCS hàng năm được phát hiện có nhiều nốt nụ trên cành mới ở cả hai bên với ưu thế ở đáy (C2) so với lần khám LCS hàng năm trước đó (C1). Mặc dù quá trình nhiễm trùng có nhiều khả năng xảy ra, phân loại Lung-RADS 0 với LDCT theo dõi từ 1 đến 3 tháng là không cần thiết. Trong trường hợp này, có thể phân loại dựa trên kích thước và thành phần của các nốt mới (đặc, < 4 mm), tương ứng với Lung-RADS 2.
Nốt đường thở
Mặc dù hiếm gặp, những bệnh nhân đủ điều kiện tầm soát ung thư phổi (LCS) có các yếu tố nguy cơ phát triển ung thư biểu mô tế bào vảy đường thở nguyên phát. Kiểm tra đường thở trên LCS là một thành phần quan trọng của quá trình đánh giá hình ảnh toàn diện. Dữ liệu riêng cho các phát hiện đường thở trên LCS còn hạn chế. Trong nghiên cứu lớn nhất cho đến nay, Kim và cộng sự đã đánh giá 50.036 bệnh nhân chụp CT LCS và cho thấy chỉ có 0.6% có các nốt đường thở [37]. Phần lớn các nốt mờ nội phế quản được giải quyết khi chụp lại hình ảnh (96,2%); trong số những trường hợp không giải quyết được, đánh giá bằng nội soi phế quản cho thấy tất cả đều là bệnh lý lành tính và không phát hiện trường hợp ác tính nào. Một nghiên cứu nhỏ hơn cho thấy các nốt đường thở trong 0.5% các lần kiểm tra LCS và 97.8% trong số này là lành tính [38]. Mặc dù tỷ lệ mắc các bệnh ác tính đường thở khi sàng lọc rất thấp, nhưng phân tích dữ liệu NELSON cho thấy 22% các trường hợp ung thư bị bỏ sót khi sàng lọc ban đầu biểu hiện dưới dạng tổn thương nội phế quản trung tâm, chứng tỏ việc chú ý đến các dấu hiệu đường thở là rất quan trọng về mặt lâm sàng [23].
Lung-RADS v1.0 và v1.1 phân loại sự hiện diện của một nốt nội phế quản là loại 4A với khuyến cáo chụp LDCT theo dõi trong 3 tháng; tuy nhiên, không có hướng dẫn quản lý bổ sung nào được cung cấp cho các nốt tồn tại dai dẳng tại thời điểm chụp theo dõi. Trong một số trường hợp, các nốt tồn tại dai dẳng được hạ cấp xuống Lung-RADS 2 theo khuyến cáo cho “Phân loại 3 hoặc 4 các nốt không thay đổi trong ≥ 3 tháng”—quản lý dành cho các nốt phổi chứ không phải các nốt đường thở. Lung-RADS v2022 cung cấp hướng dẫn bổ sung về phân loại và quản lý các dấu hiệu đường thở trên LCS, xem xét đến vị trí, hình thái, số lượng và việc tồn tại dai dẳng khi chụp theo dõi (Bảng 3).
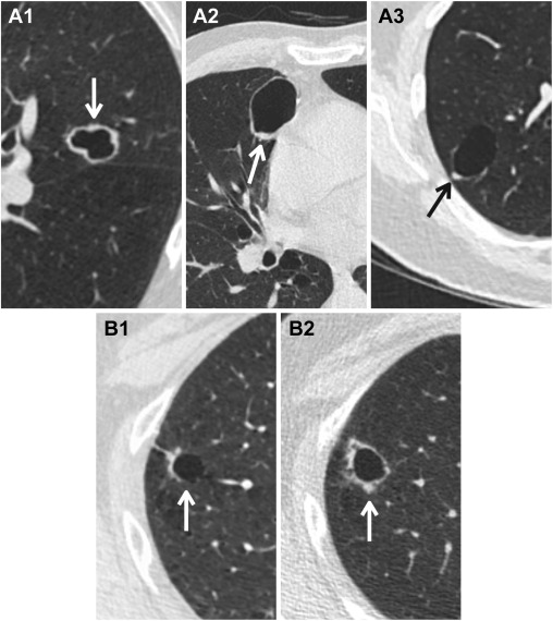
- Vị trí: Đường thở lớn được định nghĩa là đường thở ở phân thùy hoặc gần hơn và có đường kính > 3 mm [39]. Các nốt ở đường thở lớn có thể được phân loại là Lung-RADS 4A với khuyến cáo quản lý là theo dõi LDCT trong 3 tháng để đánh giá khả năng giải quyết hay tồn tại dai dẳng. Đánh giá các đường thở nhỏ (hạ phân thùy và xa hơn) bị hạn chế trên LCS nhưng có thể biểu hiện là xẹp phổi sau tắc nghẽn hoặc các dấu hiệu hình ảnh thứ cấp khác không dễ dàng đánh giá trên CT sàng lọc, chẳng hạn như bẫy khí. Các nốt đường thở dưới phân thùy thường biểu hiện nút nhầy hoặc liên quan với các tình trạng nhiễm trùng hoặc viêm và có thể được phân loại là Lung-RADS 2 với khuyến cáo quản lý là theo dõi LDCT trong 12 tháng (Hình 7).
- Hình thái: Mặc dù việc phân biệt giữa khối u đường thở và dịch tiết trên hình ảnh ban đầu có thể khó khăn, nhưng hình dạng và đậm độ là những đặc điểm hình thái quan trọng có thể được xem xét trước khi quyết định loại Lung-RADS. Các dấu hiệu CT ủng hộ dịch tiết bao gồm hình dạng phức tạp hoặc hình ống, không có mô mềm, có khí hoặc đơn vị Hounsfield < 21.7 và có thể được phân loại là Lung-RADS 2 với khuyến cáo sàng lọc LDCT sau 12 tháng [40]. Các đặc điểm CT khác không xác định và có thể được phân loại là Lung-RADS 4A với khuyến cáo theo dõi LDCT sau 3 tháng để đảm bảo giải quyết (Hình 7).
- Số lượng: Hầu hết các nốt đường thở ác tính là đơn độc [41]. Mờ đường thở nhiều nơi, chẳng hạn như các nốt nụ trên cành hoặc tắc nghẽn chất nhầy đa ổ, thiên về quá trình không tân sinh, có thể không nhất thiết phân loại Lung-RADS 4A, và có thể được quản lý như một quá trình có khả năng nhiễm trùng hoặc viêm như đã nêu trước đây (Hình 7).
- Tồn tại lâu dài: Hầu hết các dấu hiệu lành tính ở đường thở trung tâm đều được giải quyết sau theo dõi ngắn hạn; do đó, các nốt đường thở phân thùy hoặc gần hơn vẫn tồn tại sau 3 tháng theo dõi LDCT có khả năng lo ngại và không nên hạ cấp xuống loại Lung-RADS thấp hơn như khuyến cáo đối với các dấu hiệu ổn định 4A khác. Các nốt đường thở phân thùy hoặc gần hơn tồn tại dai dẳng cần đánh giá thêm và được nâng lên loại 4B để đánh giá chẩn đoán bằng PET/CT (nếu thành phần đặc ≥ 8 mm) hoặc chuyển tuyến để đánh giá lâm sàng và nội soi phế quản (Hình 7).
Lưu ý, hướng dẫn quản lý của Mạng lưới Ung thư Toàn diện Quốc gia Hoa Kỳ (NCCN) với các nốt đường thở được tìm thấy trên LCS khuyến cáo chụp CT theo dõi sau 1 tháng thay vì chụp CT theo dõi sau 3 tháng như khuyến cáo của Lung-RADS v2022 [42]. Cả hai đều khuyến cáo nội soi phế quản sau đó đối với các nốt tồn tại dai dẳng. Do tỷ lệ ác tính thấp ở các tổn thương đường thở được tìm thấy trên LCS và sự khác biệt tương đối thấp về thời gian, hiện tại không có đủ dữ liệu để chỉ ra khuyến cáo quản lý nào có thể được ưu tiên.

Hình 7. Nốt đường thở. (A) Các nốt đường thở theo Lung-RADS v2022 được phân loại dựa trên vị trí, hình thái, số lượng, và thời gian tồn tại. Các nốt đường thở mới ở phân thùy hoặc gần trung tâm hơn và không có các đặc điểm lành tính được phân loại Lung-RADS 4A với khuyến cáo chụp CT liều thấp (LDCT) 3 tháng sau để đánh giá khả năng giải quyết (A1: nốt thân phế quản gốc trái [mũi tên], A2: nốt phế quản thùy dưới trái [mũi tên]). Các nốt đường thở phân thùy được phân loại là Lung-RADS 2 (A3: sàng lọc ung thư phổi [LCS] thời điểm ban đầu với đường thở phân thùy thông thoáng [mũi tên], A4: CT LCS hàng năm với nốt đường thở phân thùy mới [mũi tên]). (B) Sự hiện diện của khí bên trong nốt đường thở, đặc biệt là khi không có thành phần mô mềm, với đậm độ trung bình < 21 đơn vị Hounsfield thiên về tiết dịch (B1, B2, B3 [mũi tên]). Mờ nhiều ống đường thở thiên về nút nhầy (B4, mũi tên). Những dấu hiệu này có thể được phân loại là Lung-RADS 2. (C) Một bệnh nhân 70 tuổi có một nốt mô mềm ở phế quản gốc trái trên LCS hàng năm (C1, mũi tên) được phân loại là Lung-RADS 4A và ổn định trên LDCT 3 tháng (C2, mũi tên). Các nốt đường thở vẫn tồn tại khi theo dõi vẫn đáng ngờ và được nâng lên Lung-RADS 4B với khuyến cáo đánh giá chẩn đoán, thường là giới thiệu đánh giá lâm sàng và nội soi phế quản.
Bảng 3. Nốt đường thở Lung-RADS v2022
| Lung-RADS | Mô tả | Quản lý |
|---|---|---|
| 2 | Dưới phân thùy – tại thời điểm ban đầu, mới, hoặc ổn định | Sàng lọc LDCT sau 12 tháng |
| 4A | Phân thùy hoặc gần trung tâm hơn – tại thời điểm ban đầu | Chụp LDCT sau 3 tháng; PET/CT có thể được xem xét nếu có nốt đặc hoặc thành phần đặc ≥8 mm (≥268 mm3) |
| 4B | Phân thùy hoặc gần trung tâm hơn – ổn định hoặc tăng trưởng | Giới thiệu để đánh giá lâm sàng thêm* |
*Nốt đường thở phân thùy hoặc gần trung tâm hơn tại thời điểm ban đầu (Lung-RADS 4A) vẫn tồn tại sau 3 tháng theo dõi bằng LDCT không được hạ cấp (quản lý từng bước) và cần được đánh giá lâm sàng và chẩn đoán thích hợp (thường là nội soi phế quản).
- Bản dịch Lung-RADS v2022 Tiếng Việt
- Fleischner Society 2017: Hướng dẫn quản lý nốt phổi phát hiện tình cờ trên CT
- Bộ từ vựng thuật ngữ hình ảnh học lồng ngực Fleischner (Fleischner Society: Glossary of Terms for Thoracic Imaging)
PHÂN LOẠI
Thể tích
Hiệu quả của phân tích thể tích các nốt phổi trên LCS đã được xác nhận bởi thử nghiệm NELSON, trong đó sử dụng thể tích để định lượng kích thước và sự tăng trưởng, từ đó quản lý và phân tầng nguy cơ [4,43]. Tuy nhiên, nghiên cứu NELSON được kiểm soát chặt chẽ, với tất cả các ca bệnh được thực hiện trên cùng một hãng máy, kiểu máy và phân tích thể tích tập trung được thực hiện bằng cùng một phần mềm—tất cả các yếu tố này không phản ánh chính xác trong thực hành lâm sàng. Các nghiên cứu bổ sung đã xác định những lợi ích tiềm năng của phép đo thể tích nốt trên LCS, bao gồm tự động hóa, khả năng tái tạo và tăng độ nhạy [30,44,45]. Lung-RADS v1.1 đã giới thiệu các phép đo thể tích nốt tương ứng với đường kính trung bình cho từng loại nhưng không bao gồm ngưỡng thể tích xác định sự tăng trưởng. Mặc dù có những lợi ích tiềm năng, hiện tại không có dữ liệu nào cho thấy việc sử dụng phép đo thể tích dẫn đến cải thiện kết quả điều trị cho bệnh nhân so với phương pháp đo đường kính trung bình. Trên thực tế, trong nghiên cứu duy nhất cho đến nay so sánh kết quả đạt được của Lung-RADS với tiêu chí phân loại và quản lý NELSON, đánh giá đường kính trung bình của Lung-RADS vượt trội hơn phép đo thể tích trong việc phát hiện ung thư phổi [46]. Lung-RADS sẽ phát triển phù hợp khi có dữ liệu mới về sự hữu ích và tác động của phép đo thể tích.
Tăng trưởng
Tăng trưởng nốt trong cả Lung-RADS v1.0 và 1.1 được định nghĩa là tăng kích thước > 1.5 mm nhưng không chỉ rõ ở chiều nào, tổng đường kính, hay đường kính trung bình, và Lung-RADS v1.0 và 1.1 không chỉ rõ khoảng thời gian (ví dụ: tốc độ tăng trưởng) [17]. Trong thực tế, tốc độ tăng trưởng là một cân nhắc quan trọng; ví dụ, tăng kích thước 2.0 mm trong 6 tháng có khả năng đáng lo ngại hơn so với trong 2 năm. Tương tự như vậy, các nốt tăng trưởng chậm có kích thước tăng < 1.5 mm mỗi năm có thể bị bỏ sót theo các tiêu chuẩn Lung-RADS trước đó. Tuy nhiên, việc sử dụng một khoảng thời gian và kích thước cố định để đánh giá sự tăng trưởng không phải là không có hạn chế. Ví dụ, tăng > 1.5 mm có thể biểu thị sự gia tăng đáng kể hơn về kích thước và thể tích ở một nốt nhỏ so với sự tăng trưởng tương tự ở một nốt lớn; mặc dù rằng các nốt nhỏ tăng trưởng thường vẫn thường nằm dưới ngưỡng kích thước để sinh thiết hoặc đánh giá bằng PET/CT và có thể được quản lý an toàn theo các tiêu chuẩn Lung-RADS hiện tại. Đối với các nốt lớn hơn, định nghĩa tăng trưởng được cập nhật sẽ ghi nhận các nốt có thời gian tăng gấp đôi thể tích đáng lo ngại với các khoảng thời gian theo dõi 3 và 6 tháng. Phân tích thể tích có thể phát hiện chính xác hơn những thay đổi nhỏ về kích thước nốt so với đo đường kính trung bình, dẫn đến can thiệp hoặc chẩn đoán sớm hơn, nhưng liệu những phát hiện như vậy có dẫn đến cải thiện kết cục cho bệnh nhân hay không vẫn còn là câu hỏi.
Ủy ban ACR Lung-RADS đã xem xét một số phương pháp và ngưỡng để đánh giá sự tăng trưởng của nốt nhưng cuối cùng đã quyết định duy trì dấu hiệu tăng trưởng >1.5 mm trong khoảng thời gian 12 tháng. Khi được mô hình hóa cho các nốt có kích thước khác nhau, định nghĩa này gần đúng với các phương pháp khác để định lượng sự tăng trưởng, bao gồm các phương pháp từ Chương trình hành động ung thư phổi giai đoạn sớm quốc tế (International Early Lung Cancer Action Program) và thử nghiệm NELSON [47-49]. Ngoài ra, Lung-RADS v2022 cung cấp thêm sự rõ ràng khi ứng dụng lâm sàng, đặc biệt với các nốt tăng trưởng chậm. Hướng dẫn được cung cấp dưới đây:
- Tăng trưởng được định nghĩa là sự gia tăng đường kính trung bình >1.5 mm trong khoảng thời gian ≤ 12 tháng.
- Các nốt có kích thước tăng ≤ 1.5 mm trong khoảng thời gian >12 tháng được định nghĩa là tăng trưởng chậm, nghĩa là chúng không đáp ứng các tiêu chí tăng trưởng từ lần sàng lọc hàng năm này sang lần sàng lọc tiếp theo.
- Các nốt tăng trưởng chậm có thể được phân loại là ổn định cho đến khi đạt đến ngưỡng kích thước mới, khi đó chúng cần được phân loại lại và quản lý phù hợp.
- Các bác sĩ chẩn đoán hình ảnh được khuyên nên luôn so sánh kết quả CT kiểm tra hiện tại với CT ngực cũ nhất hiện có (chẩn đoán hoặc sàng lọc) để xác định các đặc điểm của nốt theo thời gian.
- Các nốt kính mờ tăng trưởng chậm: Một nốt kính mờ tăng trưởng chậm có thể phân loại là Lung-RADS 2 cho đến khi nốt đáp ứng các tiêu chí của một loại khác, chẳng hạn như phát triển thành phần đặc (sau đó quản lý theo tiêu chí nốt bán đặc).
- Các nốt đặc hoặc bán đặc tăng trưởng chậm: Một nốt đặc hoặc bán đặc biểu hiện tăng trưởng chậm qua nhiều lần kiểm tra sàng lọc là đáng ngờ và có thể được phân loại là Lung-RADS 4B. Các nốt tăng trưởng chậm có thể không tăng hoạt động trao đổi chất trên PET/CT; do đó, nếu khả thi, sinh thiết hoặc đánh giá phẫu thuật có thể là khuyến cáo quản lý phù hợp nhất.
Trình điều chỉnh S (S Modifier)
Những dấu hiệu quan trọng hoặc có khả năng quan trọng không liên quan đến ung thư phổi trên LCS có thể đưa ra bằng cách thêm S modifier vào các loại Lung-RADS từ 0 đến 4. Những dấu hiệu như vậy phổ biến với 19.6% người tham gia nghiên cứu NLST có bệnh lý có khả năng quan trọng, mặc dù các nghiên cứu khác đã báo cáo tỷ lệ mắc bệnh từ 10% đến 45% [33,50-52]. Không giống như phân loại có cấu trúc cao đối với các nốt phổi trên LCS, những dấu hiệu chắc chắn S modifier và cách quản lý liên quan không được Lung-RADS liệt kê và tùy thuộc vào quyết định của bác sĩ chẩn đoán hình ảnh. Mặc dù một số tác giả đã đề xuất các tiêu chí được xác định rõ ràng hơn, nhưng việc phân loại và quản lý các dấu hiệu ngẫu nhiên không liên quan đến ung thư phổi nằm ngoài phạm vi của Lung-RADS [53]. Tuy nhiên, Lung-RADS v2022 cung cấp hướng dẫn và giải thích bổ sung để báo cáo các phát hiện quan trọng hoặc có khả năng quan trọng.
- Bác sĩ chẩn đoán hình ảnh xác định những dấu hiệu nào là dấu hiệu quan trọng hoặc có khả năng quan trọng (S modifier). Việc báo cáo và trao đổi những dấu hiệu như vậy phải tuân thủ các tiêu chuẩn thực hành của ACR.
- Khuyến cáo quản lý cho S modifier phải được đưa vào bản báo cáo và tuân thủ các khuyến cáo Phát hiện ngẫu nhiên ACR (ACR Incidental Findings) (khi có thể). Xem thêm hướng dẫn tham khảo tóm tắt các khuyến nghị quản lý ACR cho các phát hiện ngẫu nhiên thường gặp trên LCS [54,55].
- Các dấu hiệu quan trọng hoặc có khả năng quan trọng đã được biết đến, được điều trị hoặc đang trong quá trình đánh giá lâm sàng không yêu cầu S modifier (ví dụ: bệnh nhân mắc bệnh động mạch vành nặng đã trải qua can thiệp động mạch vành qua da). Tuy nhiên, bất kỳ bằng chứng nào về sự thay đổi không mong đợi trong dấu hiệu đã biết đều cần đánh giá S modifier, chẳng hạn như tăng kích thước túi phình động mạch chủ lên đã biết. Không phải lúc nào cũng rõ ràng liệu một dấu hiệu quan trọng hoặc có khả năng quan trọng đã được biết đến hay chưa; do đó, các bác sĩ chẩn đoán hình ảnh nên đưa ra phán đoán khi báo cáo và trao đổi những phát hiện như vậy và các khuyến cáo quản lý liên quan.
XEM XÉT VỀ QUẢN LÝ
Quản lý từng bước
Khái niệm quản lý từng bước lần đầu tiên được giới thiệu trong Lung-RADS v1.0 khi các nốt Lung-RADS loại 3 hoặc 4A “không thay đổi trong ≥ 3 tháng” được hạ cấp xuống loại 2 với khuyến cáo quản lý là “tiếp tục sàng lọc hàng năm bằng LDCT sau 12 tháng” [18]. Một số bác sĩ chẩn đoán hình ảnh diễn giải khuyến cáo này là 12 tháng kể từ lần khám hiện tại, nhưng những người khác lại tuân thủ 12 tháng kể từ lần khám ban đầu hoặc nghiên cứu LCS hàng năm. Ý định ban đầu là thực hiện LCS hàng năm sau 12 tháng kể từ ngày khám ban đầu, vì NLST đã xác nhận protocol này giảm tỷ lệ tử vong do ung thư phổi bằng CT LCS [1]. Với cách tiếp cận này, nốt Lung-RADS loại 3 ban đầu ổn định sau 6 tháng theo dõi được phân loại lại thành loại 2 với việc quay lại sàng lọc hàng năm sau 6 tháng kể từ lần khám hiện tại (12 tháng kể từ nghiên cứu ban đầu). Trong thực tế, việc nhắm mục tiêu các khuyến cáo theo dõi từ lần khám sàng lọc ban đầu hoặc hàng năm có thể gặp vấn đề. Bệnh nhân không phải lúc nào cũng tuân thủ các khuyến cáo theo dõi và một số bệnh nhân được chụp lại tại các thời điểm sau đó, chẳng hạn như 9 tháng kể từ thời điểm ban đầu. Trong trường hợp như vậy, bệnh nhân được phân loại lại thành Lung-RADS 2 sẽ được mong đợi quay lại sau 3 tháng để chụp LCS hàng năm. Những khó khăn tương tự cũng gặp phải khi xử lý các nốt loại 4A (nghi ngờ) ổn định sau 3 tháng chụp CT theo dõi. Các nốt như vậy được phân loại lại thành loại 2 và bệnh nhân sẽ không quay lại chụp CT ngực trong 9 tháng—khoảng thời gian theo dõi dài hơn so với khuyến cáo đối với các nốt loại 3 lành tính có thể ổn định (quay lại chụp CT ngực sau 6 tháng), điều này là nghịch lý.
Có rất ít dữ liệu về tác động của các khoảng thời gian sàng lọc. Như đã lưu ý trước đó, việc giảm tỷ lệ tử vong do ung thư phổi trên NLST dựa trên việc sàng lọc CT hàng năm. Nghiên cứu NELSON đã xem xét việc theo dõi sàng lọc theo từng giai đoạn sau 1, 3 và 5.5 năm kể từ thời điểm ban đầu (khoảng thời gian 1, 2 và 2.5 năm) và cho thấy ung thư gia tăng ở các khoảng thời gian sàng lọc dài hơn, với hiệu quả LCS giảm đáng kể về mặt thống kê ở khoảng thời gian 2.5 năm [56]. Ít nhất hai nghiên cứu đã được thực hiện để đánh giá các khoảng thời gian theo dõi quản lý Lung-RADS đối với các nốt 4A, cho thấy khuyến cáo ban đầu 3 tháng là tối ưu, nhưng việc hạ cấp các nốt 4A ổn định xuống Lung-RADS 2 có khả năng gây ra vấn đề, như đã thảo luận trước [14,57]. Để giải quyết những lo ngại này, Lung-RADS v2022 đã sửa đổi cách quản lý từng bước theo hướng dẫn sau:
- Các nốt ổn định hoặc giảm khi theo dõi sẽ được hạ cấp xuống loại Lung-RADS thấp hơn tiếp theo.
- Các nốt hoàn toàn biến mất hoặc được chứng minh là lành tính sau khi đánh giá chẩn đoán phù hợp sẽ được phân loại lại dựa trên dấu hiệu đáng lo ngại nhất.
- Các khuyến cáo theo dõi được tính theo thời gian từ lần khám hiện tại.
Các khuyến cáo quản lý theo từng bước được liệt kê trong Bảng 4 và so sánh cách quản lý giữa Lung-RADS v1.1 và Lung-RADS v2022 được nêu trong Hình 8. Một nốt loại 3 ổn định hoặc nhỏ hơn khi chụp CT theo dõi sau 6 tháng sẽ được phân loại lại thành loại 2, với CT sàng lọc sau 12 tháng kể từ ngày khám hiện tại. Do đó, trong Lung-RADS v2022, bệnh nhân được chụp muộn hơn 6 tháng so với trong Lung-RADS v1.1 (Hình 8A). Có một tỷ lệ phần trăm nhỏ các nốt này là ung thư phổi, cách quản lý theo từng bước vẫn cho phép phát hiện sớm và không có khả năng ảnh hưởng đến kết cục bệnh nhân.
Cách quản lý từng bước đối với nốt loại 4A ổn định hoặc nhỏ hơn khi chụp CT theo dõi sau 3 tháng sẽ được phân loại lại thành loại 3, với LDCT sau 6 tháng kể từ ngày kiểm tra hiện tại. Nếu nốt ổn định hoặc nhỏ hơn khi kiểm tra 6 tháng, thì nó được phân loại lại thành loại 2 với khuyến cáo chụp LDCT sàng lọc 12 tháng kể từ ngày kiểm tra hiện tại (Hình 8B). Nếu nốt được giải quyết sau 3 tháng theo dõi đầu tiên bằng CT, và không phát hiện thấy nốt mới hoặc nốt đang tăng trưởng, thì trường hợp này được phân loại lại thành loại 1 hoặc 2, không có chen vào quản lý từng bước thành loại 3. Tương tự như vậy, các tổn thương loại 4B được chứng minh là lành tính sau khi đánh giá chẩn đoán có thể được phân loại lại thành loại 1 hoặc 2 tùy thuộc vào sự hiện diện của các nốt ổn định khác. Vì LCS và các lần thực hiện theo dõi được phân loại Lung-RADS theo dấu hiệu đáng lo ngại nhất, nên các nốt mới hoặc nốt đang tăng trưởng sẽ thay thế theo cách tiếp cận này. Quản lý từng bước trong Lung-RADS v2022 đưa ra các khuyến cáo nhất quán để theo dõi các nốt loại 3 và 4A và giải quyết nghịch lý thời gian 4A của các nốt đáng lo ngại hơn. (hinhanhykhoa.com)
Bảng 4. Nốt đường thở Lung-RADS v2022
| Lung-RADS* | Mô tả | Quản lý |
|---|---|---|
| 3 | Tổn thương nhóm 4A ổn định hoặc giảm kích thước sau chụp CT theo dõi 3 tháng | Chụp LDCT sau 6 tháng (tính từ ngày chụp hiện tại) |
| 2 | Tổn thương nhóm 3 ổn định hoặc giảm kích thước sau chụp CT theo dõi 6 tháng. Tổn thương nhóm 3 hoặc 4A đã được giải quyết trên CT theo dõi. Tổn thương nhóm 4B được chứng minh lành tính sau khi kiểm tra hoặc đã được giải quyết trên CT theo dõi. | Tầm soát LDCT sau 12 tháng (tính từ ngày chụp hiện tại) |
*Phân loại và quản lý dựa trên nốt đáng lo ngại nhất khi theo dõi. Các khuyến cáo về phân loại và quản lý ở trên giả định không có nốt mới hoặc nốt đang tăng trưởngn nào được xác định.

Hình 8. Quản lý từng bước: so sánh Lung-RADS v1.1 và v2022. (A) Quản lý Lung-RADS 3—ổn định hoặc giảm. Trong Lung-RADS v1.1, các nốt loại 3 ổn định hoặc giảm sau 6 tháng theo dõi bằng LDCT được hạ cấp xuống Lung-RADS 2 với các lần LCS tiếp theo được thực hiện sau 12 tháng kể từ thời điểm ban đầu hoặc CT LCS hàng năm (6 tháng kể từ lần chụp hiện tại). Trong Lung-RADS v2022, các LCS tiếp theo được thực hiện sau 12 tháng kể từ ngày chụp hiện tại. (B) Quản lý Lung-RADS 4A—ổn định hoặc giảm. Trong Lung-RADS v1.1, các nốt loại 4A ổn định hoặc giảm sau 6 tháng theo dõi bằng LDCT được hạ cấp xuống Lung-RADS 2 với các lần LCS tiếp theo được thực hiện sau 12 tháng kể từ thời điểm ban đầu hoặc CT LCS hàng năm (9 tháng kể từ lần chụp hiện tại). Trong Lung-RADS v2022, LCS tiếp theo được thực hiện sau 12 tháng kể từ ngày khám hiện tại. (C) Quản lý Lung-RADS 3, 4A, 4B—đã giải quyết hoặc lành tính. Trong Lung-RADS v2022, các dấu hiệu loại 3 hoặc 4A được giải quyết khi theo dõi và các dấu hiệu loại 4B được chứng minh là lành tính sau khi đánh giá chẩn đoán có thể được phân loại lại dựa trên nốt đáng lo ngại nhất. Trong hình này, chúng tôi giả định rằng có các nốt ổn định khác, dẫn đến phân loại Lung-RADS 2. Thời điểm theo dõi tiếp theo tính từ ngày khám hiện tại. Nếu kỹ thuật khám hiện tại là PET-CT, có thể không đáp ứng các yêu cầu kỹ thuật sàng lọc về hít vào và chuẩn trực cắt mỏng, thì thời điểm theo dõi tiếp theo là từ ngày chụp LDCT gần đây nhất—thường là lần chụp dẫn tới khuyến cáo chụp PET-CT.
CT chẩn đoán theo khoảng thời gian
Bệnh nhân tham gia LCS hàng năm có thể được đánh giá hình ảnh CT ngực chẩn đoán (DCT) ngoài khuyến cáo quản lý LCS. Mặc dù các lần thực hiện LDCT theo dõi thu được từ các dấu hiệu Lung-RADS loại 0 (1-3 tháng), 3 (6 tháng) và 4A (3 tháng) được coi là DCT dựa trên các mã thanh toán CPT (current procedural terminology), nhưng đối với mục đích thảo luận này, DCT theo khoảng thời gian đề cập đến hình ảnh CT ngực được thực hiện ngoài các khuyến cáo theo dõi LCS. Cho đến nay, vẫn chưa có hướng dẫn chính thức nào về cách tính DCT theo khoảng thời gian thu được khi sàng lọc bệnh nhân. Do các dấu hiệu trên DCT có khả năng liên quan và có thể ảnh hưởng đến thời điểm của LCS hàng năm, chúng tôi đưa ra hướng dẫn sau:
- Sử dụng CT chẩn đoán trước đó khi đánh giá CT LCS ban đầu: Thông tin từ các DCT trước đó nên được đánh giá khi diễn giải LCS ban đầu và xác định các khuyến cáo về phân loại và quản lý. Ví dụ, một nốt đặc 8 mm trên CT sàng lọc ban đầu thường được phân loại là Lung-RADS 4A; tuy nhiên, nếu có CT chẩn đoán trước đó 1 năm chứng minh tình trạng ổn định, thì lần khám LCS ban đầu có thể được phân loại phù hợp là Lung-RADS 2. Tương tự như vậy, nếu nốt 8 mm mới từ 1 năm trước, thì phân loại phù hợp sẽ là Lung-RADS 4B (nốt đặc 8 mm mới).
- Sử dụng CT chẩn đoán trước đó (theo khoảng thời gian) khi đánh giá LCS hàng năm hoặc LDCT theo dõi: Thông tin từ DCT theo khoảng thời gian nên được đánh giá kết hợp với các lần khám LCS trước đó và LDCT theo dõi để giải thích và xác định khuyến cáo phân loại và quản lý.
- Sử dụng CT chẩn đoán theo khoảng thời gian thay thế cho CT LCS hàng năm: DCT có thể được sử dụng thay thế cho LCS hàng năm (không phải ban đầu) nếu kỹ thuật có chất lượng chẩn đoán đủ và đáp ứng các thông số kỹ thuật của CT LCS ngoại trừ liều tia. Nếu biết trước, báo cáo DCT phải chỉ ra rằng lần khám này cũng đang được thực hiện như một đánh giá LCS hàng năm và bao gồm phân loại Lung-RADS và khuyến cáo quản lý. Ngoài ra, DCT có thể bao gồm phân loại và khuyến cáo quản lý Lung-RADS dưới dạng phụ lục, với hình ảnh theo dõi được tính theo thời gian từ ngày thực hiện. Lần chụp chẩn đoán cũng có thể được ghi nhận trong Sổ đăng ký sàng lọc ung thư phổi quốc gia ACR (ACR National Lung Cancer Screening Registry) để đánh giá chất lượng và xem xét chương trình.
Bệnh nhân không còn đủ điều kiện để được tầm soát ung thư phổi
Hướng dẫn hiện tại của Lực lượng Y tế dự phòng Hoa Kỳ (US Preventative Services Task Force) khuyến cáo chụp CT LCS ở những bệnh nhân có nguy cơ cao cho đến khi họ 80 tuổi hoặc cho đến khi họ không còn đủ điều kiện để được LCS nữa [58,59]. Tiêu chí đủ điều kiện của CMS loại trừ những bệnh nhân trên 77 tuổi [60]. Những bệnh nhân ban đầu đủ điều kiện để được chụp LCS hàng năm cuối cùng có thể không đủ điều kiện do tuổi tác hoặc thời gian cai thuốc lá dài hơn 15 năm [60]. Những bệnh nhân không còn khả năng hoặc không muốn được điều trị nếu được chẩn đoán mắc bệnh ung thư hoặc có tuổi thọ hạn chế cũng không còn đủ điều kiện để được chụp CT LCS. Cách tốt nhất là người ra chỉ định nên xác định xem bệnh nhân có đủ điều kiện để được tiếp tục chụp LCS hay không. Đối với những bệnh nhân không còn đủ điều kiện để được tiếp tục chụp LCS, sự đồng thuận của các chuyên gia trong Ủy ban ACR Lung-RADS khuyến cáo như sau:
- Bác sĩ chẩn đoán hình ảnh nên xác định phân loại Lung-RADS phù hợp và khuyến cáo quản lý tương ứng dựa trên kết quả lần khám hiện tại, ngay cả khi bệnh nhân có thể không đủ điều kiện để tiếp tục sàng lọc (ví dụ: đã già đi, cai thuốc lá > 15 năm).
- Chúng tôi khuyến cáo thêm một tuyên bố vào các mẫu báo cáo LCS cho biết khuyến cáo quản lý dựa trên việc bệnh nhân tiếp tục đủ điều kiện để được LCS hàng năm. Cách tiếp cận này sẽ tránh nhu cầu phải có các báo cáo bổ sung và quan trọng hơn là tạo điều kiện cho các cuộc thảo luận ra quyết định chung giữa bệnh nhân và nhà cung cấp trong các tình huống mà khuyến cáo về việc tiếp tục sàng lọc được đưa ra trong báo cáo, nhưng bệnh nhân không còn đáp ứng các tiêu chí đủ điều kiện hoặc không còn đủ điều kiện vì những lý do khác.
Hiện tại không có hướng dẫn thống nhất nào về việc quản lý tiếp theo cho những bệnh nhân không còn đủ điều kiện để được LCS hàng năm nhưng đã biết có các nốt phổi; tuy nhiên, nhiều bác sĩ áp dụng các khuyến cáo về quản lý nốt phổi của Hội Fleischner cho những bệnh nhân có nguy cơ cao. Ví dụ, các nốt đặc ổn định trong ≥ 2 năm có thể không còn cần theo dõi nữa, trong khi một nốt mới trên CT sàng lọc cuối cùng có thể cần bảo đảm tiếp tục đánh giá CT chẩn đoán [61].
CÁC ĐIỂM CẦN LƯU Ý
- ACR Lung-RADS v2022 giới thiệu các cập nhật quan trọng dựa trên bằng chứng về phân loại và quản lý các dấu hiệu trên CT tầm soát ung thư phổi bao gồm các tiêu chí cho nang khí phổi không điển hình, các nốt cạnh màng phổi, các dấu hiệu nhiễm trùng hoặc viêm nhiễm, và các nốt đường thở.
- Lung-RADS v2022 cung cấp thêm sự rõ ràng thông qua dữ liệu và sự đồng thuận của các chuyên gia về vai trò của phép đo thể tích, định nghĩa về sự tăng trưởng của nốt, phân loại và quản lý các nốt tăng trưởng chậm, và sử dụng S modifier.
- Lung-RADS v2022 giới thiệu khái niệm về quản lý từng bước đối với các nốt Lung-RADS loại 3 và 4A đồng thời làm rõ các khuyến cáo quản lý theo dõi bằng LDCT được tính từ ngày khám hiện tại.
- Hướng dẫn bổ sung được cung cấp để giải quyết vai trò của CT chẩn đoán theo khoảng thời gian ở bệnh nhân LCS và việc quản lý các nốt ở những bệnh nhân không còn đủ điều kiện để LCS.
Tải PDF
- Bản gốc: ACR Lung-RADS v2022: Assessment Categories and Management Recommendations → Tải PDF
Trang web đang upload liên tục các video bài giảng và tài liệu chẩn đoán hình ảnh. Để nhận thông báo về các bài viết mới nhất, vui lòng đăng ký Nhận bài viết mới và theo dõi Kênh Youtube


