Bản gốc
– Tiêu đề: Hypervascular Hepatic Focal Lesions: Spectrum of Imaging Features
– Tác giả: Saravanan Namasivayam, Khalil Salman, Pardeep K. Mittal, Diego Martin, William C. Small
– Nguồn: Curr Probl Diagn Radiol. 2007 May-Jun;36(3):107-23. DOI:10.1067/j.cpradiol.2006.12.004
Bản dịch
– Tiêu đề: Các tổn thương gan khu trú giàu mạch máu
– Người dịch: BS.CK2. Cao Thiên Tượng – Khoa Chẩn đoán hình ảnh, BV Chợ Rẫy
Bài viết trong series DẤU HIỆU CHẨN ĐOÁN HÌNH ẢNH trình bày các dấu hiệu hình ảnh gợi ý hoặc đặc hiệu trên XQ, CT, MRI, Siêu âm.
Phát hiện và xác định đặc điểm các tổn thương gan thường là một thách thức chẩn đoán cho các bác sĩ chẩn đoán hình ảnh. Các tổn thương gan được phân loại thành giàu mạch máu và nghèo mạch máu dựa vào mức độ cấp máu của động mạch gan. Các tổn thương giàu mạch máu thường gặp gồm hemangioma, tăng sản nốt khu trú, adenoma tế bào gan, carcinoma tế bào gan, carcinoma tế bào sợi lá và di căn từ các u nguyên phát như u tế bào tiểu đảo tụy, carcinoid, carcinoma tế bào thận, melanoma và carcinoma tuyến giáp. Trong bài này, chúng tôi bàn luận nhóm các đặc điểm hình ảnh của các tổn thương gan giàu mạch máu.
Xác định đặc điểm các tổn thương gan bằng hình ảnh có thể là một thách thức chẩn đoán đối với các bác sĩ chẩn đoán hình ảnh. Gan nhận máu từ hai nguồn. Tĩnh mạch cửa đóng góp từ 75 đến 80% dòng máu gan và động mạch gan chiếm phần còn lại từ 20 đến 25%. Sự cấp máu kép khác biệt này của gan cho phép tạo ảnh gan ở hai thì tách biệt, đó là thì động mạch gan và thì tĩnh mạch cửa để phát hiện và xác định đặc điểm của tổn thương gan. Các tổn thương gan được phân loại thành giàu mạch máu và nghèo mạch máu dựa vào mức độ cấp máu của động mạch gan. Hầu hết các tổn thuơng gan là nghèo mạch máu. Tổn thương gan giàu mạch máu ít gặp hơn và chúng có các đặc điểm đáng chú ý. Trong bài này, chúng tôi điểm lại nhóm các đặc điểm hình ảnh của các tổn thương gan giàu mạch máu thường gặp và ít gặp.
Các phương thức tạo ảnh
Siêu âm là phương tiện hình ảnh rẽ tiền và dễ có sẵn để đánh giá các tổn thương gan. Nó có ộ nhạy cao để phân biệt tổn thương gan dạng đặc và nang. Tuy nhiên, siêu âm bụng thường quy không nhạy như CT hoặc cộng hưởng từ để phát hiện và xác định đặc điểm tổn thương gan. Ngược lại, siêu âm trong phẫu thuật và qua soi ổ bụng có ộ nhạy cao để phát hiện các tổn thương gan mà không nhìn thấy trên hình ảnh cắt ngang tờng quy. Các tiến bộ mới đây trong công nghệ CT đa dãy đầu dò (MDCT) đã cải thiện việc chụp CT về tốc độ, độ phân giải và khả năng tạo ảnh chính xác trong các thì khác nhau. Các thì khác nhau có thể dùng để đánh giá tổn thương gan gồm thì động mạch trễ (30-35 giây) và thì tĩnh mạch cửa (70 giây). Các thì bổ sung có thể là thì động mạch sớm (20 giây) và thì muộn (180 giây). Tuy nhiên, CT có một vai trò hạn chế trong việc xác định ặc điểm tổn thương nhỏ hơn 1cm và có nguy cơ phơi nhiễm tia xạ.
MRI là một phương thức tạo ảnh chọn lựa để phát hiện và xácđịnh đặc điểm của tổn thương gan. MRI có tương phản tổn thương với gan cao và không có nguy cơ phơi nhiễm tia xạ. Các tiến bộ mới đây về MRI như hình ảnh 3D nín thở và kỹ thuật thu thập half-Fourier làm cho việc tạo ảnh gan chỉ trong một lần nín thở với độ phân giải không gian cao. Gadolinium diethylene triamine pentaacetic acid (DTPA) là thuốc tương phản thườngđược dùng nhiều nhất. Gadolinuum là một thuốc tương phản ngoại bào tương tự như thuốc cản quang iode trên CT. Thì động mạch và tĩnh mạch điển hình là 20 và 70 giây. Để tránh cạm bẫy hình ảnh, chủ yếu là thực hiện MR đúng thì động mạch. Các thuốc tương phản chuyên biệt cho gan như mangafodipir trisodium (ngấm vào tế bào gan) và ferumoxide (ngấm vào tế bào Kupffer) có khả năng xác định đặc điểm tổn tương gan dựa vào thành phần tế bào chủ yếu của chúng.
Các tổn thương giàu mạch máu
Các tổn thương gan giàu mạch máu thường gặp gồm hemangioma, tăng sản nốt khu trú (FNH), adenoma tế bào gan (HCA), carcinoma tế bào gan (HCC), carcinoma tế bào sợi lá (FLC) và di căn từ các u nguyên phát như u tế bào tiểu đảo tụy, carcinoid, carcinoma tế bào thận, melanoma và carcinoma tuyến giáp. Các tổn thương hiếm có biểu hiện tổn thương gan giàu mạch máu gồm angiosarcoma, hemangioendothelioma trẻ nhủ nhi, bệnh lý ứ máu gan (peliosis hepatis) và mảnh lách di trú trong gan (intrahepatic splenosis). Các bệnh lý khác có thể giống tổn thương gan giàu mạch máu gồm dẫn lưu tĩnh mạch dạ dày lạc chỗ, giả phình động mạch gan, rối loạn tăng tín hiệu thoáng qua và xung huyết gan thụ động.
Các đặc điểm hình ảnh
Hemangioma
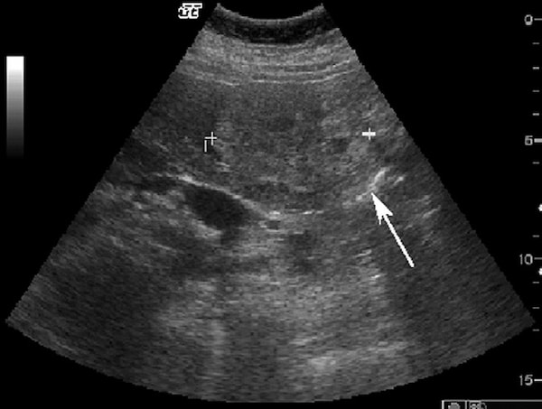
Hemangioma là u gan lành tính thường gặp nhất. Hemangioma thường gặp ở phụ nữ trẻ và 15-20% nhiều ổ. Mô học cho thấy một loạt các hồ máu và kênh mạch, các tổn thương lớn hơn tạo ra các vùng huyết khối và xơ. Siêu âm thấy một khối tăng âm, đồng nhất, giới hạn rõ, tăng âm phía sau yếu (Hình 1). Các tổn thương lớn hơn (>6cm) có thể không đồng nhất và giảm âm do huyết khối, hoại tử và thoái hóa nang. Các dấu hiệu CT cản quang gồm tăng quang dạng nốt ngoại vi ở thì động mạch với lấp đầy hướng tâm dần trong tổn thương ở thì tĩnh mạch cửa và thì muộn (hình 2). Vôi tĩnh mạch (phlebolith) có thể thấy trong tổn thương ở 15-20% trường hợp (Hình 2). MRI cho thấy tăng tín hiệu trung bình trên T2W, thường ít hơn so với nang đơn thuần, tín hiệu thấp trên T1W. MRI sau tiêm thuốc cho thấy bắt thuốc dạng nốt gián đoạn phía ngoại vi ở thì động mạch, đó là đặc điểm điển hình của hemangioma (Hình 3). MRI thì tĩnh mạch và thì muộn có thể thấy các nốt bắt thuốc lớn dần và hợp lưu với lấp dầy trung tâm ở các mức độ khác nhau tương tự như CT.

Hình 1. Nữ 45 tuổi, hemangioma ở thùy gan trái Siêu âm cắt ngang thấy khối 6cm, tăng âm không đồng nhất, giới hạn rõ (mũi tên).

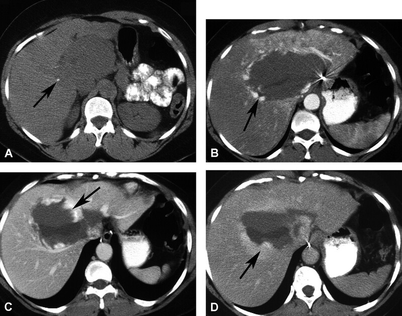
Hình 2. Bệnh nhân nữ 42 tuổi, hemnagioma. CT không cản quang (A) thấy đốm đóng vôi (mũi tên) ở ngoại vi khối giảm đậm độ gợi ý vôi tĩnh mạch. Có tăng quang dạng nốt ngoại vi (mũi tên ) ở thì động mạch (B), lấp vào trung tâm (mũi tên) ở thì tĩnh mạch cửa (C). Thì muộn (D) thấy lấp vào một phần tổn thương (mũi tên) do huyết khối.

Hình 3. Hemangioma gan kinh điển. Tổn thương (mũi tên) tăng tín hiệu trên T2W FS single-shot fast spin-echo(SSFSE) (A). Có bắt thuốc dạng nốt ngoại vi (mũi tên) ở thì động mạch (B) và lấp dần vào trung tâm (mũi tên) ở thì tĩnh mạch cửa (C) và thì muộn (D) trên hình T1W 3D GRE.
Nói chung các tổn thương nhỏ hơn lấp đầy thuốc nhanh hơn các tổn thương lớn. Các hemangioma khổng lồ, thường lớn hơn 5-10cm, có thể không lấp đầy hoàn toàn thuốc tương phản (Hình 4 và 5), và có thể tạo ra các vùng nang giới hạn rõ ở trung tâm như dịc h đơn thuần. Các tổn thương nhỏ, <1cm, có thể lấp đầy nhanh và có thể không phân biệt được với HCC hoặc di căn giàu mạch máu. Tuy nhiên, u giàu mạch máu thải thuốc nhanh, trong khi hemangioma tăng quang dai dẳng do thải thuốc chậm. Ngoài ra hemangioma còn có tín hiệu cao trên T2W với thời gian echo lớn hơn 112ms, trong khi các u ác tính không thấy tín hiệu cao. Hình ảnh thì động mạch với thời gian tối ưu cung cấp thông tin chẩn đoán quan trọng nhất để xác định đặc điểm hemangioma.

Hình 4. Hemangioma khổng lồ ở bệnh nhân nữ 42 tuổi. (A) CT thì động mạch thấy bắt quang dạng nốt ngoại vi (mũi tên). (B) thì tĩnh mạch ửa thấy nốt bắt quang tăng lên (mũi tên). (C). Bắt quang vẫn giữ nguyên như vậy ở thì muộn (mũi tên) với không lấp đầy thuốc do huyết khối và hoại tử mạnh.

Hình 5. Hemangioma khổng lồ. Tổn thương giảm tín hiệu (mũi tên) trên hình T1W 3D GRE (A) và tăng tín hiệu (mũ I tên) kèm vùng nang ở trung tâm (đầu mũi tên) trên hình T2W SSFSE (B). Có bắt quang dạng nốt ngoại vi không kề nhau (mũi tên) ở thì ộng mạch (C), sau đó khuynh hướng lấp vào trung tâm hợp lưu (mũi tên) ở thì tĩnh mạch cửa (D). Tu y nhiên, không lấp đầy thuốc tương phản hoàn toàn (mũi tên ) ở thì muộn hình axial (E) và coronal (F).
Tăng sản nốt khu trú (FNH)
FNH thường gặp nhất ở phụ nữ trẻ. Nguơi2 ta nghĩ rằng FNH là tổn thương hamartoma do dạng phát triển mất tổ chức hóa của tế bào gan và các ống mật hình thành một khối không có vỏ bao với ống mật và mạch máu có cấu trúc bất thường. Đặc điểm đặc trưng của FNH là hình thành sẹo xơ-mạch ở trung tâm. FNH thường nằm gân bề ặt gan. FNH có echo kém trên siêu âm. CT cản quang thấy bắt quang mạnh thì động mạch và tổn thương trở nên đồng đậm độ với nhu mô gan và khó phát hiện ở thì tĩnh mạch cửa. Sẹo trung tâm thường ít bắt quang ở thì động mạch sau đó bắt quang dần ở thì tĩnh mạch cửa và thì muộn (Hình 6).

Hình 6. Nữ 44 tuổi FNH thùy gan trái. CT không cản quang (A) thấy khối giảm đậm độ giới hạn kém rõ (mũi tên) ở thùy gan trái. Hình thì động mạch (B) thấy bắt quang khối với sẹo trung tâm giảm đậm độ (mũi tên). Tổn thương trở nên đồng đậm độ với gan do thải thuốc ở thì tĩnh mạch cửa (C). Bắt quang sẹo trung tâm (mũi tên) ở thì cửa.
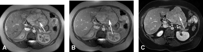
FNH có thể đồng hoặc tăng nhẹ tín hiệu trên T2W và đồng hoặc giảm nhẹ tín hiệu trên T1W. Sẹo xơ mạch tạo ra tín hiệu cao trên T2W, đây là đặc điểm duy nhất của FNH. Trêm MRI có tiêm thuốc tương phản, tương tự như CT, sẹo xơ-mạch có thể bắt thuốc không rõ ở thì động mạch với bắt thuốc chậm dần về sau, thấy rõ nhất ở thì muộn (Hình 7). Tuy nhiên, khối bao quanh sẹo xơ -mạch thờng bắt quang đồng nhất và mạnh ở thì động mạch, đồng hoặc tăng nhẹ tín hiệu so với gan xung quanh ở thì tĩnh mạch cửa và thì muộn. Các tổn thuơng nhỏ, <1-2cm, có thể bắt quang đồng nhất hơn và sẹo – xơ mạch không nhìn thấy được. Gd-ethoxybenzyl- DPTA (Gd-EOB-DPTA), một loại thuốc tương phản MRI hướng đến tế bào gan, có thể cho thấy bắt thuốc u ở thì ộng mạch sớm và ngấm thuốc vào tế bào gan tễ do ngấm thuốc bởi tế bào gan trong khối và bài tiết vào các ống mật dị hình dẫn lưu kém. Các thuốc dựa vào Manganese (mới có ở Mỹ) ngấm vào tế bào gan hoặc oxide sắt siêu thuận từ (SPIO) ngấm vào đại thực bào, trong FNH và làm xám tổn thương tương tự gan bình thường xung quanh. FNH có thể tăng ngấm sulfur colloid trong chụp nhấp nháy phụ thuộc vào tỉ lệ phần trăm tế bào Kupffer trong u.

Hình 7. Tăng sản nốt khu trú. Tổn thương bắt thuốc ở thì động mạch trên hình T1W 3D GRE (A) và và sẹo trung tâm còn lại không bắt thuốc (mũi tên). Ở thì tĩnh mạch cửa (B) và thì muộn (C) có lấp dần thuốc tương phản ở sẹo trung tâm (mũi tên).
Adenoma tế bào gan (HCA)
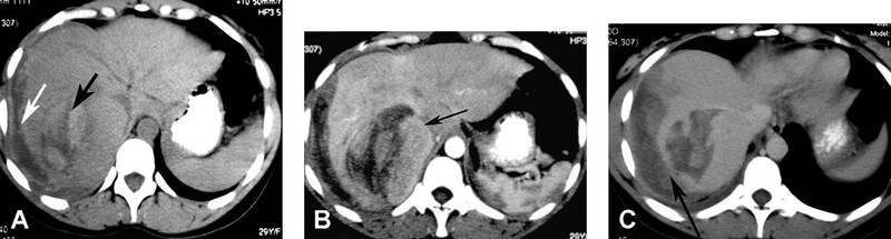
Adenoma tế bào gan (Hepatocellular Adenoma – HCA) là u lành tính có nguồn gốc biểu mô, gặp ưu thế ở phụ nữ trẻ liên quan với uống thuốc ngừa thai. Các liên quan hiếm đã được gợi ý là steroid đồng hóa ngoại sinh, tăng galactose máu và bệnh lý ứ đọng glycogen type Ia. Các khối lớn hơn, thườn gđường kính > 4-5cm, có thể có đau bụng do xuất huyết tự phát. Adenoma gan gồm các lá tế bào gan và hình thành giả bao do ép nhu mô gan kế cận; tuy nhiên, ngược với FNH, chúng không hình thành ống mật. HCA là khối giàu echo, giới hạn rõ trên siêu âm. Tăng echo là do hoặc mỡ bên trong tổn thương hoặc xuất huyết. Các xuất huyết cũ dẫn đến hình ảnh giảm echo hoặc nang, echo trống. Hình CT không cản quang có thể thấy khối giảm đậ độ do sự hiện diện của mỡ hoặc hoại tử. Các vùng tăng đậm độ có thể thấy trong khối do xuất huyết. CT cản quang có thể thấy bắt quang mạnh thoáng qua trong các phần sống của u ở thì động mạch, sau đó thải thuốc nhanh ở thì tĩnh mạch cửa (Hình 8).

Hình 8. Nữ 38 tuổi có sử dụng thuốc ngừa thai đường uống, với adenoma gan vỡ và máu tụ dưới bao. CT không cản quang (A) thấy xuất huyết nội (mũi tên đen) bên trong adenoma và máu tụ dưới bao (mũi tên trắng). Thìđộng mạch (B) thấy bắt quang (mũi tên) phần đặc, thải thuốc và trở nên đồng đậm độ với gan ở thì tĩnh mạch cửa (C). Có vỡ u (mũi tên) ở phía ngoại vi với máu tụ dưới bao.
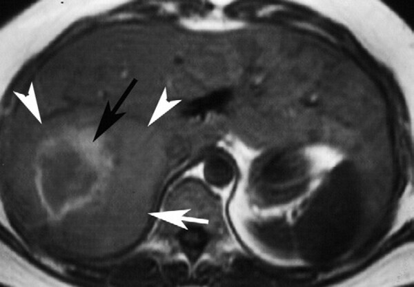
Hình MRI T2W thấy từ đồng đến tăng nhẹ tín hiệu và trên T1W thấy giảm nhẹ đến tăng nhẹ tín hiệu. Hình T1W GRE pha ngược thấy giảm tín hiệu do mỡ trong HCA. Các sản phNm của máu có thể dẫn đến cácổ hỗn hợp tín hiệu cao hoặc thấp trên T1W (Hình 9) và T2W. Đỉnh bắt thuốc Gd ở thì ộng mạch và thải thuốc ở thì tĩnh mạch cửa và thì muộn. Viền bắt thuốc tồn tại lâu do giả bao. Đặc điểm hình ảnh của HCA có thể giống HCC. Tuy nhiên, HCC thường có bằng chứng xơ gan. Tổn thương tĩnh mạch cửa hỗ trợ chẩn đoán HCC. Khi có adenoma nhiều ổ, một nhóm bệnh hiếm được gọi là adenomatosis, có nguy cơ chuyển dạng ác tính cao.

Hình 9. Nữ 33 tuổi adenoma thùy gan phải. Hình T1W 2D GRE trước tiêm thuốc thấy khối lớn thùy gan phải phía sau (đầu mũi tên) và lan đến bao gan (mũi tên trắng). Ổ trung tâm tín hiệu thấp hơn tín hiệu cao ở ngoại vi (mũi tên đen) phù hợp với xuất huyết bên trong trước đó. Tín hiệu cao ngoại vi có thể liên quan đến các sản phẩm máu giàu protein, trong khi tín hiệu thấp hơn ở trung tâm có thể liên quan với thành phần dịch đơn thuần hơn.
Carcinoma tế bào gan
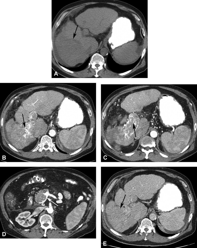
HCC là u ác tính nguyên phát thường gặp nhất và thường xảy ra trong bệnh cảnh xơ gan. Người ta nghĩ HCC là do phát sinh từ nốt loạn sản tiền ác tính, biệt hóa ngược dần từ độ ác thấp đến độ ác cao trên mô học. HCC đơn ổ ở 50%, đa ổ 40% và lan tỏa 10%. Alpha-fetoprotein cao trong 50-70% bệnh nhân. Có ba dạng phát triển của HCC gồm khối đơnđộc (50- 60%), đa ổ và thâm nhiễm lan tỏa. Xâm lấn tĩnh mạch cửa gặp ở 1/3 số bệnh nhân, và thường gặp nhiều hơn ở dạng thâm nhiễm lan tỏa. Các tế bào ác tính trong HCC giống như tế bào gan về hình thái và dạng cấu trúc (bè, giả hạt hoặc tiểu thùy, đặc, xơ ). Trên siêu âm, các tổn thương nhỏ có xu hướng echo kém, trong khi các tổn thương lớn echo không đồng nhất. Dòng máu trong u có tín hiệu tốc độ cao trên siêu âm Doppler.
Trên CT không cản quang, HCC thường giảm đậm độ so với gan. HCC bắt quang thì động mạch và trở nên giảm đậm độ ở thì tĩnh mạch cửa (Hình 10). Viền bắt quang mỏng có thế có ở thì tĩnh mạch và thì muộn do giả bao. Thực hiện thì động mạch trễ (34 giây) đã được báo cáo cho thấy các nốt HCC hơn thì động mạch sớm (20 giây). Các hình thì động mạch sớm có khả năng chụp mạch CT 3D chất ợng tốt hơn để lập bản đồ mạch máu trước phẫu thuật. Thêm hình ảnh CT thì muộn (180 giây) đã được báo cáo để cải thiện độ nhạy và độ đặc hiệu trong phát hiện HCC so với CT hai pha.
Nói chung, HCC tăng tín hiệu trên T2W và giảm tín hiệu trên T1W. Hình MRI sau tiêm thuốc thấy bắt thuốc thì động mạch rõ rệt, không đều, thải thuốc nhanh ở thì tĩnh mạch và thì muộn (Hình 11). Phát sinh bắt thuốc viền ngoại vi do giả bao. Nốt loạn sản độ cao có thể bắt thuốc. Tuy nhiên, nốt loạn sản không có bao giả. HCC lan tỏa có tín hiệu không đồng nhất trên T1W và T2w, với bắt quang không đều, có các vùng thải thuốc và các vùng khác có thể còn đọng thuốc. Huyết khối do u ở tĩnh mạch cửa cho thấy bắt quang ở thì động mạch điển hình (Hình 10 và 11). Dấu hiệu này giúp phân biệt huyết khối do u với huyết khối lành tính, không bắt quang ở thì động m ạch. Bao u có thể thường gặp ở người châu Á, là các viền echo trống trên siêu âm và bắt thuốc viền ngoại vi ở thì trễ trên CT và MRI.

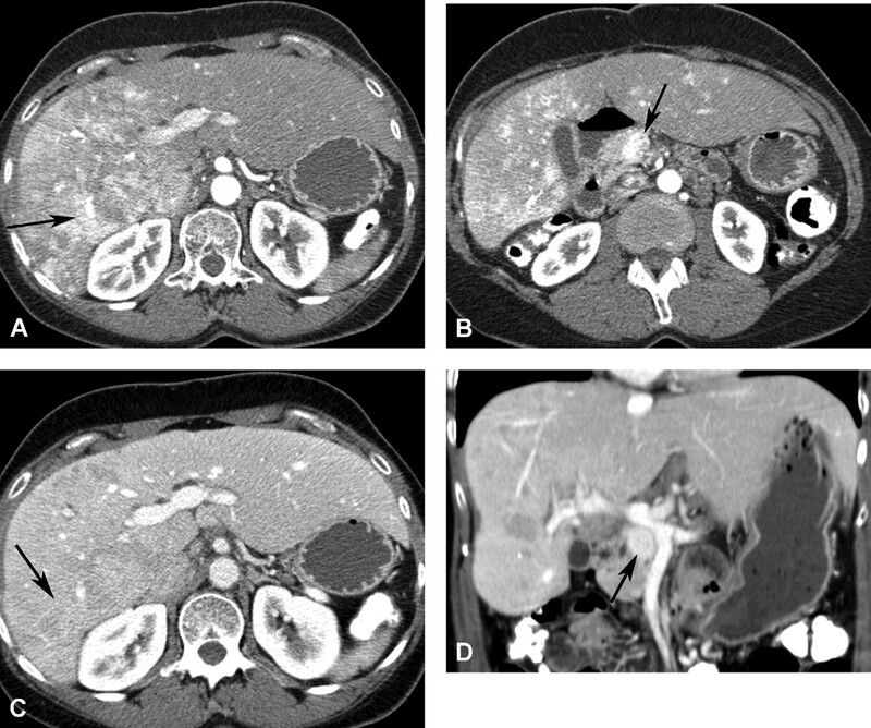
Hình 10. Bệnh nhân nam 62 tuổi xơ gan và carcinoma tế bào gan thâm nhiễm lan tỏa. CT không cản quang (A) thấy bờ ngoài gan dạng nốt kèm khối giảm đậm độ (mũi tên) ở thùy gan phải. CT thì độn g mạch (B) thấy khối bắt quang không đồng nhất (mũi tên). Huyết khối do u bắt quang không đồng nhất (mũi tên ở C) làm phình lớn tĩnh mạch cửa và lan đến chỗ hợp lưu tĩnh mạch mạc treo tràng trên (mũi tên ở D). U đồng đậm độ (mũi tên) với gan do thải thuốc ở thì tĩnh mạch cửa (E).

Hình 11. Bệnh nhân nam 62 tuổi xơ gan và carcinoma tế bào gan thâm nhiễm lan tỏa (cùng bệnh nhân ở hình 10). Khối giảm tín hiệu (mũi tên) trên hình T1W 3D GRE (A) và tăng tín hiệu (mũi tên) trên hình T2W SSFSE (B). Khối bắt thuốc không đồng nhất (mũi tên) ở thì động mạch với bờ lan tỏa (C). Huyết khối do u bắt thuốc không đồng nhất (D, mũi tê n) phình lớn tĩnh mạch cửa và lan vào hợp lưu tĩnh mạch mạc treo tràng trên (E, m ũi tên). Thì muộn (F) thấy u thải thuốc kèm bắt thuốc vách bên trong (mũi tên) và giả bao.
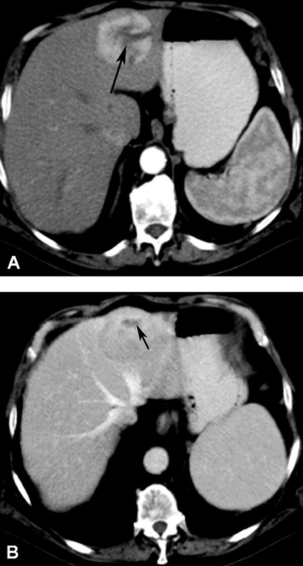
Carcinoma tế bào sợi lá (FLC)
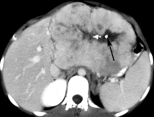
FLC khác với các dạng HCC khác. Nói chung, FLC là một khối gan đơn độc, không có vỏ bao kèm sẹo xơ trung tâm ở gan bình thường của người trẻ (Hình 12). Không giống như FNH, sẹo trung tâm của FLC có đóng vôi từ 35 đến 50% trường hợp (Hình 13). Siêu âm là một khối lớn, giàu echo, đồng nhất. CT và MRI tiêm thuốc cho thấy bắt thuốc thì động mạch với thải thuốc ở thì tĩnh mạch. Sẹo trung tâm thường giảm tín hiệu trên T2W do mô xơ với nghèo mạch máu và bắt thuốc ở thì muộn. Điều này giúp phân biệt FLC với FNH. Sẹo trung tâm của FNH tăng tín hiệu trên T2W. Sự hiện diện của đóng vôi và hình ảnh giảm tín hiệu của sẹo trung tâm giúp phân biệt FLC với FNH.

Hình 12. Bệnh nhân nam 38 tuổi carcinoma tế bào sợi lá. CT thì động mạch (A) thấy bắt quang u với sẹo trung tâm (mũi tên). U đồng tín hiệu với gan kèm sẹo giảm đậm độ (mũi tên) ở thì tĩnh cửa (B).

Hình 13. Bệnh nhân nam 22 tuổi carcinoma tế bào sợi lá. CT thì tĩnh mạch cửa thấy khối đồng đậm độ kèm sẹo trung tâm giảm đậm độ chứa đốm đóng vôi (mũi tên).
Di căn giàu mạch máu
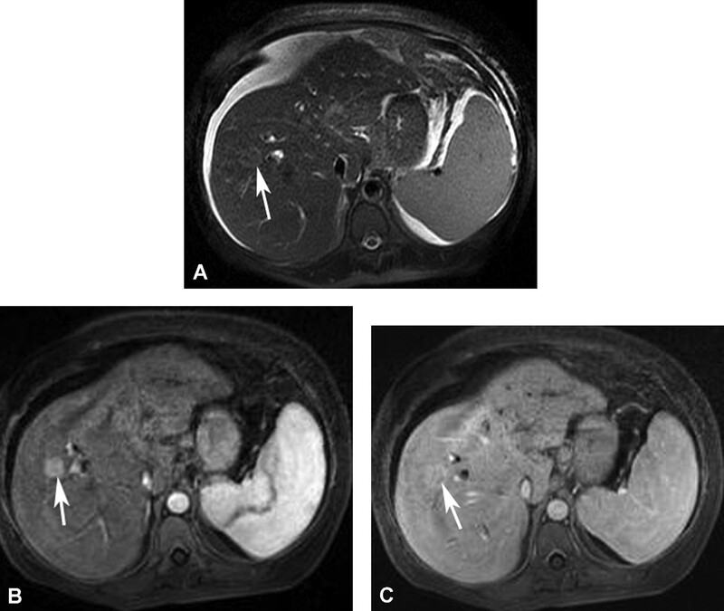
Di căn đến gan từ các u nguyên phát như u tế bào tiểu đảo/thần kinh nội tiết, carcinoid, carcinoma tế bào thận, melanoma và carcinoma tuyến giáp thuộc về nhóm di căn gan giàu mạch máu. Trên siêu âm di căn là các tổn thương giảm âm. Vùng trung tâm hoại tử có thể giảm âm hoặc echo trống. Hầu hết di căn giảm đậm độ trên CT không cản quang. Di căn của u thần kinh-nội tiết có thể tăng đậm độ trên CT không cản quang. Hầu hết các di căn giàu mạch máu bắt quang sớm mô u sống ở thì động mạch và giảm đậm độ với nhu mô gan ở thì tĩnh mạch cửa (Hình 14-18). T2W có tín hiệu thay đổi, thường tăng tín hiệu trung bình và giảm tín hiệu trên T1W, Melanoma là một ngoại lệ, ở đó tích tụ melanin, có tính chất rút ngắn thời gian T1, có thể dẫn đến tín hiệu cao trên T1W (Hình 19). Bắt Gd đặc trưng cho thấy tổn thương rõ rệt nhất ở thì động mạch với viền bắt thuốc ngoại vi điển hình (Hình 20C).

Hình 14. Nam 48 tuổi carcinoid di căn ở gan. Hình T1W GRE thì động mạch (A) thấy khối bắt thuốc mạnh (mũi tên), đồng tín hiệu ở thì tĩnh mạch cửa (B) và tạo ra viền ắt thuốc mỏng ở ngoại vi (B, mũi tên).

Hình 15. Nam 62 tuổi, carcinoma tế bào thận di căn. Thì động mạch CT (A) thấy khối gan bắt quang mạnh (mũi tên). Khối lớn bắt thuốc không đồng nhất ở cực trên thận trái (mũi tên ở B).

Hình 16. Nam 44 tuổi u tế bào tiểu đảo di căn gan đa ổ. CT thì động mạch (A) thấy các ổ di căn bắt quang không đồng nhất (mũi tên). U tế bào tiểu đảo (mũi tên ở B) ở đầu tụy bắt quang mạnh ở thì động mạch. Thì tĩnh mạch cửa (C) các tổn thương di căn thải thuốc (mũi tên). U tế bào tiểu đảo còn tăng đậm độ (mũi tên ở D) trong thì tĩnh mạch cửa.

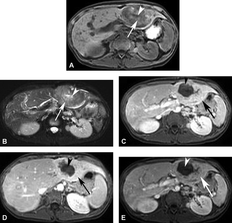
Hình 17. U tế bào tiểu đảo di căn gan. Nhiều ổ di căn ấyở gan là các ổ giảm tín hiệu trên T1W (A) và tăng tín hiệu trên T2W (B). Ghi nhận khối lớn nhất cấp máu quá mức và gây hoại tử trung tâm có tín hiệu thấp trên T1W (A, mũi tên) và tín hiệu cao trên T2W (B, mũi tên). Tất cả các tổn thương bắt thuốc viền ngoại vi mạnh ở thì động mạch (C, tổn thương lớn nhất được đánh mũi tên), thải thuốc nhanh ở thì tĩnh mạch cửa (D, tổn thương lớn nhất được đánh mũi tên). Vùng trung tâm trong tổn thương lớn nhất (mũi tên ở E) nghèo mạch máu và không bắt thuốc ở thì động mạch, nhưng thường có thể tụ tập thuốc tương phản ở thì mô kẽ trễ.

Hình 18. Carcinoma vú di căn gan giàu mạch máu. Tổn thương tăng tín hiệu trên T2W SSFSE (A, mũi tên), bắt thuốc mạn h ở thì động mạch (B, mũi tên) và đồng tín hiệu ở thì tĩnh mạch cửa (C), phát sinh viền bắt thuốc ngoại vi mỏng (C, mũi tên).

Hình 19. Di căn melanoma nhiều ổ ở gan. Hình T1W 3D GRE (A) và T2W SSFSE (B) thấy vùng tăng tín hiệu không đồng nhất (mũi tên) do melanin. Có bắt thuốc mạnh (mũi tên) ở thì động mạch (C), với thải thuốc ít (mũi tên) ở thì tĩnh mạch cửa (D) và thì muộn (E). Vùng trung tâm của di căn không bắt thuốc do hoại tử (đầu mũi tên).

Hình 20. Di căn melanoma ở gan. Tổn thương giảm tín hiệu trên T1W 3D GRE (A, mũi tên) và tăng tín hiệu trên T2W SSFSE (B, mũi tên). Tổn thương cho thấy bắt thuốc một vùng rộng ngoại vi tổn thương (mũi tên) ở thì động mạch (C) và bắt thuốc trung tâm ở thì tĩnh mạch ( D, mũi tên) tạo ra hình ảnh bia bắn. Tổn thương đồng tín hiệu dần ở thì muộn (E, mũi tên).
Các tổn thương giàu mạch máu hiếm gặp
U nội mô mạch máu trẻ em (infantile hemangioendothelioma) gặp ở trẻ nhỏ (1-6 tháng). U máu trẻ nhỏ là một khối lớn có các vùng hoại tử, đóng vôi và xuất huyết. Bắt quang không đồng nhất phía ngoại vi ở thì động mạch, sau đó lấp đầy hoàn oàn ở thì cửa và thải thuốc chậm. Dạng bắt thuốc tương tự thấy trên MRI sau tiêm thuốc tương phản từ. Angiosarcoma gan là khối giảm đậm độ lớn có múi kèm các vùng xuất huyết, hoại ử và toái hóa nang do u phát triển nhanh tỉ lệ nghịch với sự cấp máu. Bắt quang ngoại vi không đồng nhất ở thì động mạch, sau đó lấp đầy không hoàn toàn ở thì tĩnh mạch cửa.
Sự di trú mảnh lách vào trong gan (intrahepatic splenosis) là một tổn thương hiếm gặp biểu hiện là khối trong gan giàu mạch máu ở bệnh nhân sau phẫu thuật cắt lách. Nói chung, nó là tổn thương khu trú một hoặc nhiều ổ, giới hạn rõ, bắt quang mạnh và đồng nhất ở thì động mạch trên CT hoặc MRI, thải thuốc ở thì tĩnh mạch cửa (Hình 21). Các tổn thương đồng tín hiệu với gan trên T1W và tăng tín hiệu so với gan trên T2W. Sự di trú mảnh lách vào trong gan có thể cho thấy ngấm technetium sulfur colloid trên chụp xạ hình nhấp nháy hoặc ngấm SPIO trên MRI.

Hình 21. Nam 28 tuổi có di trú mảnh lá ch vào trong gan sau khi cắt lách. CT không cản quang (A) thấy các khối từ đồng đến giảm đậm độ (mũi tên) ở gan. Các khối bắt thuốc (mũi tên) ở thì động mạch (B) và thải thuốc (mũi tên) ở thì tĩnh mạch cửa (C). Dạng bắt quang tương tự như lách. Sinh thiết là mô lách.
Bệnh lý ứ máu gan (peliosis hepatis) là một rối loạn mạch máu trong gan do các khoang lấp đầy máu trong nhu mô. Các vùng tổn thương trong gan giảm đậm độ, không có hiệu ứng choán chỗ và cho thấy bắt quang thì động mạch sớm không đồng nhất kèm đọng thuốc cản quang lâu. Tổn thương tăng tín hiệu trên tất cả các chuỗi xung MRI.
Bất thường giống tổn thương gan giàu mạch máu
Dẫn lưu tĩnh mạch vị phải lạc chỗ xảy ra dọc theo bờ sau hạ phân thùy IV của gan gặp ở 6-14% bệnh nhân. Ở các bệnh nhân này, có thể có một vùng khu trú bắt quang thì động mạch ở phân thùy IV, có thể giống với tổn thương gan giàu mạch máu. Rối loạn tăng tín hiệu thoáng qua là rối loạn tưới máu ngoại vi gặp trong xơ gan do lỗ shunt động tĩnh mạch trong gan, dẫn đến bắt quang ngoại vi không đều ở thì động mạch.
Kết luận
Tóm lại, các tổn thương gan giàu mạch máu gồm một nhóm các u lành và ác tính và các bệnh lý gan giống u. MRI ngày càng trở thành một phương thức tạo ảnh lựa chọn để phát hiện và xác định đặc điểm các tổn thương gan. Chủ yếu là nhận diện các dạng bắt thuốc để xác định đặc điểm các tổn thương gan giàu mạch máu. Chụp thì động mạch đúng là quan trọng để tránh cạm bẫy hình ảnh trong việc phát hiện các tổn thương gan giàu mạch máu kết hợp với hình ảnh thì muộn giúp cải thiện độ đặc hiệu và xác định đặc điểm. Trong một số tình huống lâm sàng, có thề khó phân biệt tổn thương gan giàu mạch máu lành tính với ác tính.
Tải bản gốc
- Bản gốc PDF: Hypervascular Hepatic Focal Lesions: Spectrum of Imaging Features → Tải PDF
- Tác giả: Saravanan Namasivayam, Khalil Salman, Pardeep K. Mittal, Diego Martin, William C. Small
- Nguồn: Curr Probl Diagn Radiol. 2007 May-Jun;36(3):107-23. DOI:10.1067/j.cpradiol.2006.12.004
Trang web đang upload liên tục các video bài giảng và tài liệu chẩn đoán hình ảnh. Để nhận thông báo về các bài viết mới nhất, vui lòng đăng ký Nhận bài viết mới và theo dõi Kênh Youtube


