Bản gốc
– Tiêu đề: Mimics of Brain Tumor on Neuroimaging
– Tác giả: Kouichirou Okamoto, Tetsuya Furusawa, Kazuhiro Ishikawa, Ferdous A Quadery, Keisuke Sasai, and Susumu Tokiguchi
– Nguồn: Radiation Medicine: Vol. 22 No. 2, 63–76 p.p., 2004
Bản dịch
– Tiêu đề: Các tổn thương giả u não do bệnh lý mạch máu
– Người dịch: ThS.BS. Lê Anh Tuấn – BV Bạch Mai (bsxqtuan.wordpress.com)
Bài viết trong series DẤU HIỆU CHẨN ĐOÁN HÌNH ẢNH trình bày các dấu hiệu hình ảnh gợi ý hoặc đặc hiệu trên XQ, CT, MRI, Siêu âm.
Giới thiệu
U não thường được xét đến trong chẩn đoán các tổn thương não trên CT và/hoặc MRI. Các khối u não thường biểu hiện các tỷ trọng bất thường trên CT hoặc cường độ tín hiệu bị thay đổi trên MRI, hiệu ứng khối, và đôi khi ngấm thuốc tương phản sau tiêm tĩnh mạch. Tuy nhiên, các tổn thương có các đặc điểm đó không phải luôn luôn là các khối u não. Các bệnh mạch máu não, các quá trình hủy myelin, các bệnh viêm và nhiễm khuẩn, và các bệnh lẻ tẻ khác có thể có dấu hiệu hình ảnh tương tự. Chẩn đoán mô học là cốt yếu đối với u não bởi vì chiến lược điều trị phụ thuộc loại mô bệnh học và bậc của khối u. Một thủ thuật xâm lấn, như phẫu thuật hoặc sinh thiết được yêu cầu lấy mô tổn thương để xác định mô học chẩn đoán u, trong khi các bệnh khác thường được chẩn đoán dựa vào các đặc điểm lâm sàng và chẩn đoán hình ảnh. Do đó sự phân biệt giữa các khối u não và các bệnh khác giả u não là then chốt trong chẩn đoán hình ảnh thần kinh. Trong bài này chúng tôi xin giới thiệu giả u não do bệnh lý mạch máu não, loại bệnh lý phổ biến nhất của não và cũng hay gây giả u não nhất.
Giả u não do các bệnh mạch máu não
Các tổn thương giả u não hay gặp nhất là các bệnh mạch máu não. Nhồi máu/ đột quỵ thiếu máu cục bộ đặc trưng bởi sự khởi phát đột ngột của các triệu chứng thần kinh, và được chẩn đoán dễ dàng bằng các dấu hiệu hình ảnh đặc trưng của tổn thương phù hợp với sự phân bố mạch máu và/hoặc bằng chụp cộng hưởng từ khuếch tán (diffusion-weighted imaging). Tuy nhiên, một diễn biến lâm sàng không điển hình, như là đột quỵ tiến triển dần dần có thể xảy ra [1], và sự xấu đi từ từ của các triệu chứng thần kinh thường gợi ý một chẩn đoán u não. Hiểu biết về phân bố cấp máu động mạch chính là kiến thức cần thiết để chẩn đoán các bệnh mạch máu não [2,3].
“Lacunar” (ổ khuyết nhỏ) là thuật ngữ được dùng phổ biến như một phân loại lâm sàng đối với các tổn thương nhỏ liên quan đến các động mạch xiên, nhỏ, sâu. Các động mạch này cấp máu cho chất trắng và chất xám sâu của các bán cầu đại não và cuống não. Do các động mạch này có nối bàng hệ nghèo nàn, tắc động mạch do huyết khối hoặc cục nghẽn dẫn tới nhồi nhồi máu trong sự phân bố giới hạn của một trong các mạch máu này. Hình ảnh (CT, MRI) của não cho thấy một tổn thương nhỏ (đường kính lớn nhất < 15mm) ở một vị trí tương ứng gây triệu chứng thần kinh. Tuy nhiên, các tổn thương lớn, đôi khi được gọi là các “ổ khuyết khổng lồ”-“giant lacune”, liên quan đến sự phân bố của nhiều động mạch xiên và có thể phối hợp với bệnh của các mạch máu nội sọ lớn hơn [4,5]. Số lượng của các động mạch xiên này rất biến đổi, và ở nhiều bệnh nhân thì chúng xuất phát từ các thân chung [6,7]. Động mạch quặt ngược Heubner (RAH) là một nhánh có ảnh hưởng lớn của động mạch vân trong (MSA: medial striate artery), thường xuất phát từ động mạch não trước (ACA) ở mức động mạch thông trước (chỗ nối A1-A2) và chạy về phía trước phần nằm ngang (A1) của ACA. Các nhánh của động mạch Heubner cấp máu cho phần trước của nhân đuôi, phần ba trước của nhân vỏ sẫm (putamen, thường gọi là nhân bèo), cánh tay trước của bao trong, đỉnh của đoạn ngoài cầu nhạt (golbus pallidum), và phần trước của vùng dưới đồi (hypothalamus). Động mạch quặt ngược Heubner có thể thấy dưới dạng một động mạch đơn lẻ ở 28% các bán cầu đại não [6]. Nếu động mạch quặt ngược Heubner (RAH) hoặc thân chung các động mạch xiên của động mạch não giữa bị tắc do bệnh xơ vữa động mạch hoặc cục nghẽn, một ổ nhồi máu khổng lồ có thể phát triển theo sự phân bố của động mạch vân trong hoặc động mạch vân ngoài [7].
Đột quỵ thiếu máu cục bộ cấp có thể biểu hiện là một tổn thương não có giới hạn không rõ ràng, gây hiệu ứng khối, nhu mô tổn thương ngấm thuốc tương phản hoặc không [8]. Các dấu hiệu hình ảnh này tương tự với dấu hiệu của u thần kinh đệm (glioma). Trong các tình huống này, chụp cộng hưởng từ khuếch tán (diffusion-weighted imaging) có thể khá hữu ích, cho dù không nhất thiết để kết luận. Nếu không có cộng hưởng từ khuếch tán, việc phân biệt giữa đột quỵ thiếu máu cục bộ cấp và u não là khó ở các bệnh nhân không có tiền sử lâm sàng rõ ràng (Hình 1a và 1b). Theo dõi bằng hình ảnh trong một thời gian ngắn là cần thiết để chẩn đoán nhồi máu não trong các trường hợp này (Hình 1c và 1d) [8].

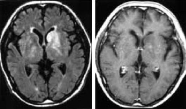
Hình 1 a/b. Glioma? Bệnh nhân nam 65 tuổi biểu hiện rối loạn dáng đi từ từ. (Chẩn đoán cuối cùng: nhồi máu não theo sự phân bố của động mạch vân trong).
a và b: MRI lúc nhập viện
a: một vùng tăng cường độ ở đầu nhân đuôi trái kéo dài tới phần trước của nhân vỏ sẫm trái trên ảnh FLAIR (TR/TI/TE 9000/2350/ 119) với một hiệu ứng khối ép sừng trán trái não thất bên. Vùng cường độ cao này phù hợp với sự phân bố của động mạch vân trong.
b: ảnh spin-echo (SE) T1-W (TR/TE 600/50) sau tiêm thuốc đối quang từ thấy tổn thương không ngấm thuốc. MR angiography (MRA)(không trình bày) bộc lộ tắc đoạn gần động mạch quặt ngược Heubner trái.

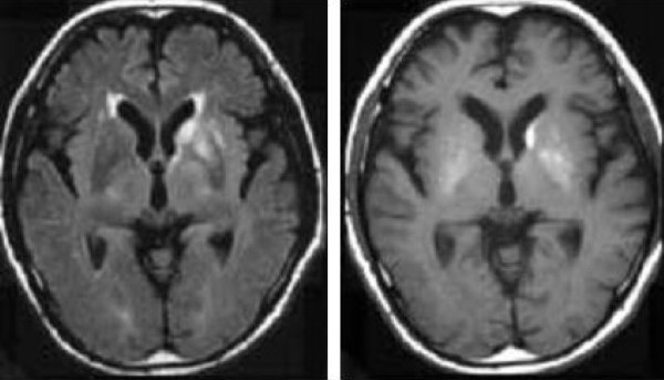
Hình 1 c/d: Chụp MRI 6 tuần sau
c: ảnh FLAIR (9000/2350/119) cho thấy sự co lại của vùng tăng cường độ ở phần trước của nhân nền trái. Sự chèn ép sừng trán trái đã biến mất.
d: ảnh SE T1-W (600/15) cho thấy tăng cường độ ở đầu nhân đuôi trái biểu hiện chảy máu.
Nhồi máu bán cấp thường ngấm thuốc tương phản [9-12]. Trong giai đoạn này, cộng hưởng từ khuếch tán có thể không đủ khả năng để phát hiện nhồi máu, bởi vì sự bình thường hóa giả của hệ số khuếch tán biểu kiến (apparent diffusion coefficient) có thể che giấu hình ảnh nhồi máu [8,9]. Mức độ ngấm thuốc tương phản ít trong giai đoạn này của nhồi máu có thể gây khó khăn [9,12]. Một nốt ngấm thuốc kích thước nhỏ ở vỏ não hoặc ở vùng dưới vỏ có thể xuất hiện và giả di căn não (Hình 2 và 3) [9]. Chứng loạn nhịp tim (arrhythmias), là nguồn gốc chủ yếu của cục nghẽn mạch não, các nhồi máu não giai đoạn sớm, và bệnh tim thiếu máu cục bộ thường được phát hiện ở các bệnh nhân này. Nhồi máu bán cấp ngấm thuốc không đều có thể giả một glioma bậc cao (Hình 4 và 5), nhưng sự khu trú ở vùng phân bố của động mạch xiên hoặc tình trạng ngấm thuốc của các nếp cuộn não hoặc ít hay không có hiệu ứng khối là tính chất của nhồi máu bán cấp [12].

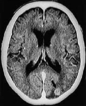
Hình 2. Khối u di căn? Bệnh nhân nữ 79 tuổi có cơn đau thắt ngực và nhịp nhanh nhĩ bộc phát (paroxysmal atria tachycardia) đã có tiền sử 3 tuần đau âm ỉ vùng chẩm. Phim CT: Một nốt ngấm thuốc ở vùng dưới vỏ chẩm trái (mũi tên) với vùng bao quanh tỷ trọng thấp. Tổn thương này biến mất trong lần chụp CT kiểm tra lại sau 1 tháng, và teo não đã xuất hiện ở vùng này (không trình bày). (Chẩn đoán cuối cùng: một nhồi máu nhỏ ở vỏ giai đoạn bán cấp trong vùng phân bố của động mạch não sau trái).

Hình 3 a/b. U di căn nhỏ xuất hiện đột ngột? Bệnh nhân nam 58 tuổi xuất hiện đột ngột liệt nhẹ nửa người phải và thất ngôn trong khi đang uống rượu. (Chẩn đoán cuối cùng: một ổ nhồi máu nhỏ thêm vào ở giai đoạn bán cấp)
a -c : MRI lúc nhập viện
a: Nhồi máu não cấp được biểu thị dưới dạng một vùng tăng cường độ ở vùng thái dương đỉnh trên ảnh fast SE T2-W (2500/90)(*).
b: ảnh SE T1-W (600/15) sau tiêm thuốc đối quang từ cho thấy một vùng cường độ tín hiệu thấp không ngấm thuốc với mạch máu nổi rõ ở rãnh não (mũi tên).

Hình 3 c/d.
c: một nốt nhỏ ngấm thuốc (mũi tên) ở vỏ não đỉnh phải trên ảnh SE T1-W (600/15) sau tiêm thuốc.
d: ảnh SE T1-W (600/15) tiêm thuốc đối quang sau 3 tháng. Tổn thương nhỏ ngấm thuốc ở vùng vỏ đỉnh phải đã biến mất.

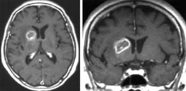
Hình 4 a/b. Glioblastoma? Bệnh nhân nữ 75 tuổi bị rung nhĩ được nhập viện, không có triệu chứng thần kinh. (Chẩn đoán cuối cùng: nhồi máu giai đoạn bán cấp ở vùng phân bố động mạch vân ngoài phải). Các ảnh SE T1-W (460/12) cắt ngang (a) và đứng ngang (b) cho thấy tổn thương ngấm thuốc hình vòng không đều ở phần trước nhân nền phải.
a: Tổn thương liên quan đến cả cánh tay trước của bao trong phải.
b: Tổn thương ngấm thuốc được vạch rõ theo sự phân bố của động mạch vân ngoài trên ảnh cắt đứng ngang. Không điều trị, tổn thương co nhỏ tự phát sau vài tuần (không trình bày hình ảnh theo dõi).

Hình 5. U thần kinh đệm bậc cao (high-grade glioma) hay u lympho bào ác tính (malignant lymphoma)? Bệnh nhân nam 66 tuổi được nhập viện vì một cơn co giật. (Chẩn đoán cuối cùng: nhồi máu vỏ não bán cấp theo sự phân bố của động mạch não giữa). Ảnh T1W (400/15) sau tiêm thuốc đối quang từ cho thấy một tổn thương ngấm thuốc ở thùy trán trái. Ngấm thuốc có các đường cong dọc theo vỏ và màng não gần kề. Giảm cường độ quanh ổ thấy rõ, nhưng hiệu ứng khối ít, không biến dạng não thất bên bên trái. Chụp MRI lặp lại một tuần sau cho thấy tăng cường độ trên ảnh T1-W, tương ứng với biến đổi chảy máu trong nhồi máu bán cấp. Giảm cường độ quanh ổ đã giảm đi.
Nhồi máu tĩnh mạch não (CVI, cerebral venous infarction) là một dạng ít xảy ra của bệnh mạch máu não do huyết khối (xoang) tĩnh mạch. Các nguyên nhân có thể khó biết, và nhiều nguyên nhân là tự phát, mặc dù các yếu tố dẫn tới huyết khối tĩnh mạch não gồm các bệnh máu, bệnh ác tính, nhiễm khuẩn, nhiễm độc, các bệnh tạo keo mạch máu, mất nước, thai nghén, sử dụng thuốc tránh thai đường uống, chấn thương sọ não [13]. Chẩn đoán nhồi máu tĩnh mạch khó bởi vì tỷ lệ mắc thấp, các dấu hiệu lâm sàng không đặc hiệu, hay thay đổi, và khó xác định các nguy cơ có trước [13]. Không nhận ra nhồi máu tĩnh mạch có thể dẫn tới làm thêm các thủ thuật chẩn đoán xâm lấn hoặc đắt đỏ, và nhận ra một CVI từ sớm là then chốt bởi vì cân tiếp tục điều trị cấp chống đông và tiêu huyết khối. Sự phân bố của tổn thương loại này rất biến đổi, nhưng nó không xảy ra theo vùng phân bố động mạch mà chúng ta đã biết. Các tổn thương chất trắng rộng lớn hơn các tổn thương chất xám, và giống phù quanh u (Hình 6). Chảy máu và ngấm thuốc đối quang không đều, hoặc cả hai, có thể thấy trong nhồi máu tĩnh mach, dẫn tới nghi ngờ cao về khối u não. Bất cứ người trưởng thành trẻ có một khối máu tụ trong não, đặc biệt ở thùy thái dương, hoặc có nhiều vùng tăng cường độ trên các ảnh T2-W không theo sự phân bố động mạch nên được nghi ngờ một nhồi máu tĩnh mạch ẩn náu bên dưới. Chẩn đoán nhồi máu tĩnh mạch được củng cố mạnh nếu huyết khối tĩnh mạch phối hợp được phát hiện trong hình ảnh chẩn đoán thần kinh [13]. Do đó, đánh giá cẩn thận các tĩnh mạch vỏ não và tĩnh mạch sâu và/hoặc các xoang tĩnh mạch là cần thiết đối với các khảo sát trước và sau khi tiêm thuốc đối quang. Chụp cộng hưởng từ mạch não có tiêm thuốc đối quang (postcontrast MR angiography, MRA) có giá trị trong chẩn đoán ở các bệnh nhân có huyết khối tĩnh mạch não sâu [14].

Hình 6 a/b. U lympho bào ác tính hay u di căn? Bệnh nhân nữ 39 tuổi mang thai có biểu hiện ban đầu bằng cơn xoắn vặn. (Chẩn đoán cuối cùng: huyết khối xoang ngang và xoang sigma phải kèm sung huyết não).
a: ảnh FSE T2-W (3600/110) cho thấy một tổn thương giống khối, đồng cường độ tín hiệu (đầu mũi tên) ở vùng thái dương sau phải, phù não bao quanh rõ.
b: Chụp CT tiêm thuốc cản quang cho thấy một khuyết toàn bộ ở xoang ngang và xoang sigma phải (mũi tên).
U mạch hang (cavernous angioma, CA) là một dị dạng mạch não. U mạch hang là một tổn thương giống khối choán chỗ với hiệu ứng khối rất ít hoặc không có, và đôi khi chảy máu trong u. U mạch hang xuất hiện là tổn thương tăng tỷ trọng, ranh giới không rõ, ngấm thuốc yếu trên CT. U thần kinh đệm có vôi hoá (calcified glioma) là một cân nhắc trong chẩn đoán phân biệt với u mạch hang, chụp MRI hữu ích cho mục đích phân biệt này (Hình 7). Mặc dù diễn biến lâm sàng và hình thái MRI của u mạch hang có thể giả u chảy máu [15], hình thái MRI điển hình của u mạch hang có tính chất đặc trưng, biểu hiện một lõi trung tâm hình mắt lưới, cường độ tăng hỗn hợp, được bao quanh bởi một vòng cường độ thấp biểu thị của lắng đọng hemosiderin.

Hình 7 a/b/c. Calcified glioma hay u chảu máu? Bệnh nhân nữ 20 tuổi biểu hiện liệt mặt phải đột ngột. (Chẩn đoán mô bệnh học: cavernous angioma có chảy máu trong u).
a: chụp CT cho thấy một tổn thương tỷ trọng cao không đồng nhất với vùng giảm tỷ trọng bao quanh ở vùng dưới vỏ trung tâm bán cầu trái.
b và c: MRI. Cả hai ảnh SE T1-W (500/15) và FSE T2-W (3600/110) cho thấy sự trộn lẫn của nhiều nốt nhỏ cường độ cao và cường độ thấp trong tổn thương, đặc trưng của cavernous angioma. Phù bao quanh biểu hiện dưới dạng một vùng cường độ cao thay vì một viền cường độ thấp đặc trưng do chảy máu trong u (c).
Một phình mạch khổng lồ (giant aneurysm có đường kính lớn nhất > 2,5cm) có thể giống một khối, đôi khi nó có phù bao quanh và việc phân biệt với u não là cần thiết. Ngấm thuốc cản quang hình vòng của bờ ngoài túi phình mạch hoặc vôi hoá đường cong ngắt quãng được thấy ở các phình mạch khổng lồ bị huyết khối toàn toàn hoặc bán phần; ngấm thuốc đồng nhất ở ngoại vi hoặc trung tâm của lòng túi phình mạch (target sign) là tính chất đặc trưng của phình mạch khổng lồ huyết khối bán phần; và phình mạch khổng lồ không có huyết khối thường xuất hiện dưới dạng tổn thương ngấm thuốc tương phản một cách đồng nhất. Các phình mạch khổng lồ bị huyết khối bán phần có 3 điểm đặc trưng trên MRI: (a) khuyết tín hiệu ở lòng túi còn thông ; (b) cục huyết khối được sắp thành từng lớp với các lớp xen kẽ của hemosiderin và methemoglobin lúc đầu khu trú ở trung tâm hơn là ngoại vi ; và (c) trống tín hiệu ở mạch máu mang túi phình [16]. Chụp cộng hưởng từ mạch máu (MRA) rất hữu ích trong việc phát hiện phần còn thông trong lòng cúi phình mạch.
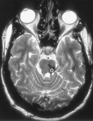
Thoái hoá phì đại nhân trám (hypertrophic olivary degeneration, HOD) được xem là sự thoái hóa xuyên khớp thần kinh (transsynapse) xảy ra sau tổn thương ở tam giác Guillain và Molaret (Hình 8), như là chảy máu trần cầu não (tegmentum pontis) hoặc chảy máu nhân răng. Thoái hoá phì đại nhân trám được thấy ở phía cùng bên với chảy máu trần cầu não và ở bên đối diện với chảy máu nhân răng. Các vùng cường độ tín hiệu cao trên ảnh T2-W xuất hiện sau cơn đột quỵ 3 tuần, và tồn tại dài đến 8 năm sau. Phì đại của các nhân trám dưới nhìn thấy 5-15 tháng sau cơn đột quỵ. Các bất thường nhân trám hai bên có thể thấy khi chảy máu trần cầu não liên quan đến cuống tiểu não trên (Hình 9). Các thay đổi bệnh lý chính của HOD bao gồm thoái hóa hốc của các neuron to lên, phì đại các tế bào hình sao, và tăng sinh tế bào thần kinh đệm (gliosis). Các vùng cường độ tín hiệu cao ở các nhân trám dưới là do thành phần nước tăng lên và tăng sinh các tế bào thần kinh đệm [17].

Hình 8. Hình minh hoạ tam giác Guillain và Molaret. ION = Inferior olivary nucleus (nhân trám dưới). Red nucleus = nhân đỏ. Dentate nucleus = nhân răng. (AJNR 2000 21: 1073-1077 )

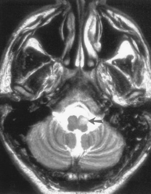
Hình 9. Chụp MRI 29 tháng sau xuất huyết cầu não. Ảnh T2W fast spin-echo (TR/TE = 6000/92), echo train length = 12) ở mức nhân trám dưới cho thấy phì đại và tăng tín hiệu ở cả hai nhân trám. (AJNR 2000 21: 1073-1077)
Kết luận
Xác định u não bằng mô bệnh học là cân thiết bởi vì các phương pháp điều trị thích hợp được lựa chọn dựa trên loại mô học và bậc của khối u. Mặt khác, các bệnh không phải u, đặc biệt là do nguyên nhân mạch máu, nên được chẩn đoán bằng các phương không xâm lấn hoặc ít xâm lấn. Tuy nhiên nhiều bệnh không phải u não lại có các dấu hiệu hình ảnh tương tự các khối u. Vì vậy nên kết hợp các dấu hiệu lâm sàng, xét nghiệm, các dấu hiệu hình ảnh và theo dõi để tránh can thiệp chẩn đoán bằng các phương pháp xâm lấn đối với các tổn thương não do bệnh lý mạch máu trong trường hợp không điển hình.
——————————-
Ghi chú thêm về phì đại thoái hoá nhân trám

Sơ đồ của đường đi của nhân trám-dải nhân răng, hay tam giác Guillain và Mollaret. Các mũi tên chỉ đường đi của tam giác này, khi có tổn thương cắt đứt mối liên hệ này sẽ gây thoái hoá phì đại nhân trám. 1, Đồi thị; 2, Nhân đỏ; 3, cuống tiểu não trên; 4, Dải trung tâm trần cầu não (central tegmental tract); 5, Nhân răng; 6, Nhân trám; 7, tiểu não (December 1999 Radiology, 213, 814-817)
Mối liên hệ cụ thể giữa tổn thương nguyên phát (chủ nếu là nhồi máu, xuất huyết, hoặc thoái hoá) và sự tiến triển thoái hoá nhân trám theo một trong ba dạng mô tả dưới đây và dễ hiểu hơn nhờ sơ đồ minh hoạ trên. Khi tổn thương nguyên phát khu trú ở dải trung tâm trần cầu não thì phì đại nhân trám cùng bên (Hình 10), bởi vì chỉ có các sợi cùng bên bị tác động. Khi tổn thương nguyên phát ở nhân răng hoặc ở cuống tiểu não trên thì thoái hoá nhân trám đối bên. Khi tổn thương liên quan đến cả hai dải trung tâm trần cầu não và cuống tiểu não trên thì thoái hoá nhân trám cả hai bên.

Hình10a. Bệnh nhân 36 tuổi có tiền sử tăng huyết áp và đột quỵ trước đây, vào viện vì xuất hiện rung giật theo nhịp chi trên bên phải. Ảnh T2W fast spin-echo (TR = 6500; TE = 119; number of signals = 2) não trong giai đoạn có triệu chứng ở vùng nối cầu não và trung não. Có dải giảm tín hiệu rõ bên trong vùng teo khu trú phần sau trần cầu não bên trái (mũi tên), đây là khe phủ hemosiderin và ferritin sau chảy máu cũ. Vị trí nàu bao gồm dải trung tâm trần cầu não (vòng tròn rắng) bên trái. (December 1999 Radiology, 213, 814-817)

Hình 10b. Ảnh T2W ở phần tuỷ thấp hơn cho thấy cường độ tín hiệu cao và to không cân xứng phần trước tủ bên trái tương ứng với vùng thoái hoá phì đại nhân trám dưới bên trái (mũi tên). (December 1999 Radiology, 213, 814-817)
Tham khảo
- Ay H, Uluc K, Arsava EM, Saatci I, Saribas O. Unusually prolonged progressing stroke: an expanding anterior cerebral artery infarction. Cerebrovasc Dis, 13: 64–66, 2002.
- Okamoto K. Vascular anatomy and cerebrovascular diseases. Jpn J Diag Imag, 22: 1201–1210, 2002. (in Jpse.)
- van der Zwan A, Hillen B, Tulleken CAF, Dujovny M, Dragovic L. Variability of the territories of the major cerebral arteries. J Neurosurg, 77: 927–940, 1992.
- Whisnant JP, Basford JR, Bernstein EF, et al. Special report from the National Institute of Neurological Disorders and Stroke. Classification of cerebrovascular diseases III. Stroke, 21: 637–676, 1990.
- Takahashi S, Goto K, Fukasawa H, Kawata Y, Uemura K, Suzuki K. Computed tomography of cerebral infarction along the distribution of the basal perforating arteries. Part I: Striate arterial group. Radiology, 155: 107–118, 1985.
- Gorczyca W, Mohr G. Microvascular anatomy of Heubner’s recurrent artery. Neurol Res, 9: 259–264, 1987.
- Marinkovic S, Gibo H, Milisavljevic M, Cetkovic M. Anatomic and clinical correlations of the lenticulostriatearteries. Clin Anat, 14: 190–195, 2001.
- Karonen JO, Partanen PL, Vanninen RL, Vainio PA, Aronen HJ. Evolution of MR contrast enhancement patterns during the first week after acute ischemic stroke. AJNR Am J Neuroradiol, 22: 103–111, 2001.
- Okamoto K, Ito J, Furusawa T, Sakai K, Watanabe M, Tokiguchi S. Small cortical infarcts mimicking metastatic tumors. Clin Imaging, 22: 333–338, 1998.
- Yamada N, Imakita S, Sakuma T. Value of diffusion-weighted imaging and apparent diffusion coefficient in recent cerebral infarctions: a correlative study with contrast-enhanced T1-weighted imaging. AJNR Am J Neuroradiol, 20: 193–198, 1999.
- Cordes M, Henkes H, Roll D, et al. Subacute and chronic cerebral infarctions: SPECT and gadolinium-DTPA enhanced MR imaging. J Comput Assist Tomogr, 13: 567–571, 1989.
- Wisberg LA. Computerized tomographic enhancement patterns in cerebral infarction. Arch Neurol, 37: 21–24,1980.
- Bakshi R, Lindsay BD, Bates VE, Kinkel PR, Mechtler LL, Kinkel WR. Cerebral venous infarctions presenting as enhancing space-occupying lesions: MRI findings. J Neuroimaging, 8: 210–215, 1998.
- Okamoto K, Ito J, Furusawa T, et al. Quiz case of the month: cerebral deep vein thrombosis. Eur Radiol, 8: 319–320, 1998.
- Preul MC, Villemure JG, Leblanc R, del Carpio-O’Donovan R. MRI diagnosis of brainstem cavernous angiomas presenting as tumours. Can J Neurol Sci, 19: 376–382, 1992.
- Atlas SW, Grossman RI, Goldberg HI, Hackney DB, Bilaniuk LT, Zimmerman RA. Partially thrombosed giant intracranial aneurysms: correlation of MR and pathologic findings. Radiology, 162: 111–114, 1987.
- Kitajima M, Korogi Y, Shimomura O, et al. Hypertrophic olivary degeneration: MR imaging and pathologic findings. Radiology, 192: 539–543, 1994.
Trang web đang upload liên tục các video bài giảng và tài liệu chẩn đoán hình ảnh. Để nhận thông báo về các bài viết mới nhất, vui lòng đăng ký Nhận bài viết mới và theo dõi Kênh Youtube


