Bài viết được biên tập từ sách X quang cắt lớp điện toán: chẩn đoán phân biệt (Differential Diagnosis in Computed Tomography), dịch bởi BS Phí Ích Nghị.
Từ viết tắt: XQCLĐT = X quang cắt lớp điện toán (Cắt lớp vi tính, CT); CHT = Cộng hưởng từ (MRI); DNT = Dịch não tủy
CHẨN ĐOÁN PHÂN BIỆT TRÊN CẮT LỚP VI TÍNH
TỔN THƯƠNG Ở GÓC CẦU TIỂU NÃO
Đại cương
Góc cầu tiểu não là một vùng của bể đáy sọ ngang nơi nối cầu não, tủy sống và tiểu não. Nhiều cấu trúc bình thường vượt ngang qua góc cầu tiểu não bao gồm thần kinh sọ V, VII và VIII, động mạch tiểu não trước dưới, đám rối mạch máu nhô qua ngách bên của não thất bốn (lỗ Luschka), thùy nhung tiểu não và củ cảnh nếu lồi.
Trong khi CHT dường như là phương pháp hình ảnh tốt nhất để khảo sát các thành phần của thần kinh thính giác sau ốc tai (thần kinh), XQCLĐT được chuộng trong đánh giá thành phần ốc tai (cảm giác). Bảng 1.8 bàn về các tổn thương ở góc cầu tiểu não theo xuất độ ước chừng.

Tổn thương ở góc cầu tiểu não
1. Biến thể bình thường, giả u
Chú giải:
– Thùy nhung tiểu não, đám rối mạch mạc lồi qua lỗi Luschka vào bể góc cầu tiểu não, các củ cảnh, bầu cảnh và động mạch sống trước dưới phình lớn có thể giống như một u góc cầu tiểu não.
2. Sắp xếp theo thứ tự về xuất độ
2.1. U bao Schwann thần kinh thính giác (Hình 1.60, 1.70)
Dấu hiệu XQCTĐT:
– Khối mật độ ngang, bắt ngang trên ống tai trong tạo nên một góc nhọn với xương thái dương (như một cây kem nón).
– Bắt chất cản quang đồng nhất. Có thể có hoại tử, hiếm khi vôi hóa.
– Nếu nhỏ (5 – 15mm), nó có thể nằm trọn trong ống tai và chỉ thấy được sau khi tiêm chất cản quang.
Chú giải:
– Là khối u thường gặp nhất ở góc cầu tiểu não (60 – 75%), điển hình ở bệnh nhân từ 20 – 50 tuổi.
– Phát sinh từ mặt tiếp giáp giữa tế bào Schwann-đệm của thần kinh tiền đình. Nếu xảy ra cả hai bên, phải nghĩ tới bệnh u xơ thần kinh loại 2.

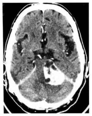
Hình 1.70. U bao Schwann thần kinh thính giác nằm ở góc cầu tiểu não trái và bắt mạnh chất cản quang.
2.2. U màng não (Hình 1.71)
Dấu hiệu XQCTĐT:
– Khối u có mật độ ngang hoặc cao, bắt chất cản quang đồng nhất.
– Đáy bám màng cứng rộng, tạo góc tù với xương thái dương. Ngay cả nếu kế cận lỗ ống tai trong, nó cũng không nằm cân xứng và ống tai trong không bị nở rộng.
– Có thể thấy dầy xương thái dương lân cận hoặc vôi hóa.
Chú giải:
– Chiếm 10% và là u thường gặp thứ hai ở góc cầu tiểu não.
– Tuổi điển hình: 30 – 60 tuổi.

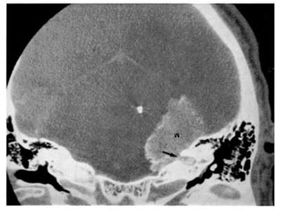
Hình 1.71. U màng não vôi hóa. Lát cắt mỏng ngang qua khối u nằm ở góc cầu tiểu não bên phải.
2.3. U dạng biểu bì (cholesteatoma bẩm sinh)
Dấu hiệu XQCLĐT:
– Mật độ thấp đồng nhất, không đều hoặc nhiều thùy, không bắt chất cản quang.
Chú giải:
– Chiếm 4 – 5% các u ở góc cầu tiểu não. Tuổi điển hình: 20 – 50.
– Sinh ra từ các chất biểu bì ẩn trong xương hoặc nội sọ. Còn gặp ở trong xương đá thái dương.
– Chứa cholesterol và các mảnh keratin.
2.4. U bào Schwann không thuộc thần kinh thính giác
Dấu hiệu XQCLĐT:
– Mật độ ngang, bắt chất cản quang đồng nhất, thường kèm theo dây VII hoặc bất cứ thần kinh sọ não đi qua góc cầu tiểu não.
Chú giải:
– Chiếm 5%. Gặp chủ yếu ở dây V và dây VII.
2.5. U cận hạch (cuộn cảnh)
Dấu hiệu XQCLĐT:
– Mật độ ngang, bắt chất cản quang và bào mòn làm nở rộng rỗ chẩm.
Chú giải:
– 2 – 10% các u ở góc cầu tiểu não. Tuổi điển hình: 40 – 60.
2.6. Động mạch sống thân nền giãn nở và dài
Dấu hiệu XQCLĐT:
– Dạng ống, mật độ cao, bắt chất cản quang mạnh, thường đóng vôi.
Chú giải:
– Chiếm 3 – 5%. Tổn thương xơ vữa hoặc thoái hóa.
– Thấy chủ yếu ở bệnh nhân trên 50 tuổi.
2.7. Phình mạch
Dấu hiệu XQCLĐT:
– Phình mạch có đường kính 3 – 5mm hoặc lớn hơn có thể thấy được trên XQCLĐT dưới dạng bầu dục hoặc tròn, bắt chất cản quang.
– Huyết khối bán phần hoặc toàn phần, đóng vôi viền và có mật độ cao một phần trước khi tiêm. Sau tiêm, thấy được lòng còn lại hoặc bắt chất cản quang theo viền.
Chú giải:
– 1 – 2%. Tuổi: 20 – 50.
– Phình mạch tròn phát sinh từ động mạch thân sống, động mạch tiểu não trên, động mạch tiểu não sau dưới. Các quai mạch máu không phải là phình mạch từ động mạch tiểu não trước dưới, sau dưới và trên có thể ảnh hưởng thần kinh sọ VII và gây ra co cứng nửa mặt.
2.8. Dị dạng động tĩnh mạch
Dấu hiệu XQCLĐT:
– Những ổ mật độ ngang hoặc cao ngoằn ngoèo, bắt chất cản quang mạnh sau tiêm.
– Có thể có đóng vôi.
Chú giải:
– 1% các khối ở góc cầu tiểu não.
– Tuổi: 20 – 40
2.9. U tế bào đệm ở cuống não hoặc tiểu não
Dấu hiệu XQCLĐT:
– Nếu đặc, có mật độ hơi thấp, 50% là dạng nang. Phần đặc bắt chất cản quang. Đóng vôi trong 20%.
Chú giải:
– Thường gặp ở tiểu não hơn ở cuống não.
– Thường gặp ở trẻ em hơn ở người lớn.
– Đa số độ thấp. Có thể kèm não úng thủy quan trọng trước khi có triệu chứng.
2.10. Di căn
Dấu hiệu XQCLĐT:
– Ngoài nhu mô: u hủy xương, không có tính chất rõ rệt trừ khi nhiều.
– Trong nhu mô: u bắt chất cản quang nằm trong cuống não và có một thành phần đi vào trong góc cầu tiểu não.
Chú giải:
– Phát sinh từ xương thái dương hoặc phần nền xương chẩm kế cận góc cầu tiểu não.
– Khi di căn nằm trong thùy nhung tiểu não, nó xuất hiện như ngoài nhu mô.
2.11. U mạch
Dấu hiệu XQCLĐT:
– Mật độ cao, tròn, giới hạn rõ, bắt chất cản quang mạnh và đồng nhất. Có thể có đóng vôi.
Chú giải:
– Hiếm, dưới 1%.
– Không giống u mạch hang có thể nghĩ tới khi nằm trong nhu mô tiểu não, có thể khó phân biệt u mạch gần màng não với u màng não.
2.12. U mỡ
Dấu hiệu XQCLĐT:
– Mật độ thấp, không bắt chất cản quang.
Chú giải:
– Hiếm, dưới 1%.
2.13. U nguyên sống
Dấu hiệu XQCLĐT:
– Khối u ở đáy sọ hoặc ở phần nền xương chẩm, chủ yếu thuộc đường giữa, lớn, mật độ ngang hoặc cao, gây hủy xương.
– Có thể có đóng vôi. Bắt chất cản quang không đáng kể.
Chú giải:
– Chiếm 1%, gặp ở người già.
– Phát sinh từ các di tích nguyên sống ở phần nền xương chẩm.
2.14. Nang màng nhện
Dấu hiệu XQCLĐT:
– Khối u có mật độ ngang với DNT, giới hạn rõ, bờ đều. Có thể bào mòn xương lân cận.
Chú giải:
– Hiếm. Làm tách đôi màng nhện chứa DNT bên trong.
– Nang Dandy-Walker (nở rộng dạng nang của não thất bốn) có thể ảnh hưởng góc cầu tiểu não.
2.15. Tổn thương viêm
Dấu hiệu XQCLĐT:
– Màng não bắt chất cản quang lan tỏa, kể cả các bể góc cầu tiểu não.
– Hiếm, một tổn thương góc cầu tiểu não giống như u. Những biến đổi tương tự có thể gặp nơi khác.
– Hiện diện não úng thủy thông thương nếu bể đáy sọ bị nghẽn do viêm gây xơ hóa.
Chú giải:
– Viêm màng não vi trùng, lao, giang mai và nhiễm trùng khác có thể khiến màng não bắt chất cản quang.
– U khu trú hiếm nhưng có thể gặp bệnh saccoit, bệnh gạo, nhiễm mô bào. Trong bệnh saccoit, giao thị, tuyến yên và cuống tuyến yên cũng có thể bị ảnh hưởng.
>> Xem thêm:
– Chẩn đoán phân biệt trên cắt lớp vi tính – Tổn thương trên lều
– Chẩn đoán phân biệt trên cắt lớp vi tính – Tổn thương hố sau (dưới lều)
– Chẩn đoán phân biệt trên cắt lớp vi tính – Tổn thương ở hố yên và cận yên
Bài viết được biên tập từ sách X quang cắt lớp điện toán: chẩn đoán phân biệt (Differential Diagnosis in Computed Tomography), dịch bởi BS Phí Ích Nghị.
Chi tiết sách dịch song ngữ xem tại đây.
Trang web đang upload liên tục các video bài giảng và tài liệu chẩn đoán hình ảnh. Để nhận được thông báo về các bài viết mới nhất, vui lòng đăng ký tại Form nhận bản tin và theo dõi tại kênh Youtube


