Bài viết được biên tập từ sách X quang cắt lớp điện toán: chẩn đoán phân biệt (Differential Diagnosis in Computed Tomography), dịch bởi BS Phí Ích Nghị.
Từ viết tắt: XQCLĐT = X quang cắt lớp điện toán (Cắt lớp vi tính, CT); CHT = Cộng hưởng từ (MRI); DNT = Dịch não tủy
CHẨN ĐOÁN PHÂN BIỆT TRÊN CẮT LỚP VI TÍNH
TỔN THƯƠNG HỐ SAU (DƯỚI LỀU)
Đại cương
Ngay khi sử dụng XQCLĐT-phân giải cao, và lát cắt mỏng đối với hố sau, việc chẩn đoán hình ảnh các u dưới lều vẫn là một thách thức. Không thể tránh hoàn toàn các ảnh giả Hounsfield đối với hình ảnh thuộc hố sau. Vì thế, CHT có lợi điểm vượt trội trong việc phân tích các thương tổn của hố sau.
Dường như u hố sau thường xảy ra ở trẻ em và thiếu niên hơn ở người lớn. Theo thứ tự xuất độ, những u hố sau gặp ở người lớn là u bao Schwann thần kinh thính giác, u màng não và di căn. Ở trẻ em, u tế bào đệm chiếm ưu thế, rồi đến u nguyên bào tủy, và u màng ống nội tủy. U cuống não điển hình là u tế bào đệm, đặc biệt ở trẻ em. U bán cầu tiểu não thường là di căn đối với người lớn và là u tế bào hình sao đối với trẻ em. Bảng 1.7 bàn về u hố sau.


Tổn thương hố sau (dưới lều)
1. Tân sinh
1.1. U tế bào đệm của cuống não
Dấu hiệu XQCLĐT:
– Trên đường giữa, mật độ ngang, thấp hoặc hỗn hợp, bắt chất cản quang một phần trong 50%, 20% có nang.
– Thường bọc quanh thân nền (45%).
Chú giải:
– Ở trẻ em, 25% u tế bào đệm xảy ra ở cuống não; ở người lớn, chỉ 2.5%.
– Xuất huyết, không bắt chất cản quang và biến đổi từ không bắt chất cản quang sang bắt chất cản quang có khuynh hướng chỉ điểm cho tính chất xâm lấn của u.
1.2. U tế bào hình sao ở tiểu não (Hình 1.54-57)
Dấu hiệu XQCLĐT:
– Trong bán cầu tiểu não hoặc cầu não.
– Khoảng 50% có dạng nang, còn lại 50% đặc và đặc biệt có mật độ thấp. Chất dịch trong u dạng nang có mật độ cao hơn DNT nhưng kém hơn u đặc. 10 – 20% có đóng vôi. Thành phần đặc bắt cản quang rõ.
– U thùy nhộng hoặc não thất 4 thường gây não úng thủy tắc nghẽn.
Chú giải:
– Là tân sinh hố sau thường gặp ở trẻ em.
– Độ 1 lành tính thường nằm gần não thất 4, có dự hậu khả quan nếu có thể lấy bỏ toàn bộ. Dĩ nhiên nếu lấy không hoàn toàn sẽ tái phát.

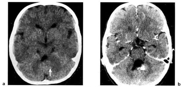
Hình 1.54. U tế bào hình sao (độ 1) ở tiểu não của một trẻ 5 tuổi. Trước tiêm (a), u có mật độ thấp và hiện lên như dạng nang hoàn toàn. Sau tiêm (b), phần đặc bắt chất cản quang.

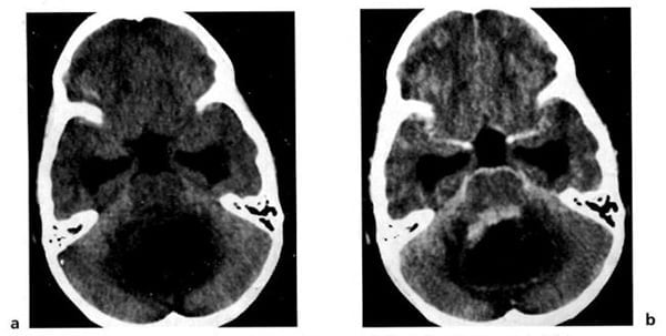
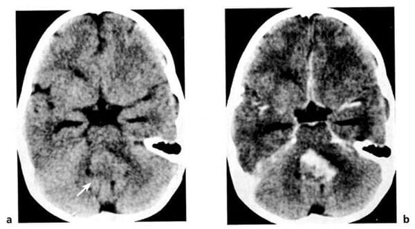
Hình 1.55. U tế bào hình sao (độ 2) ở một trẻ 2 tuổi. Trước tiêm (a), u có mật độ thấp đặc trưng (mũi tên). Thành phần đặc bắt rõ chất cản quang (b). Não úng thủy do tắc nghẽn.

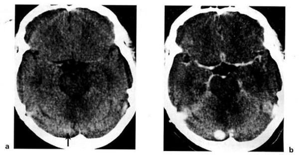
Hình 1.56. U tế bào hình sao độ cao. Trẻ 5 tuổi. Trước tiêm (a), cho thấy u có đóng vôi. U bắt mạnh chất cản quang (b).

Hình 1.57. U tế bào sao ở tiểu não. Bệnh nhân người lớn, u dạng nang trong vùng não thất 4, không bắt chất cản quang.
1.3. U nguyên bào tủy (Hình 1.58)
Dấu hiệu XQCLĐT:
– Điển hình ở thùy nhộng tiểu não, thường có mật độ hơi cao hơn nhu mô tiểu não bình thường. Bắt chất cản quang rõ trừ khi hoại tử.
– Não úng thủy do tắc nghẽn não thất 4.
– Di căn theo khoảng dưới nhện.
Chú giải:
– U hố sau thường gặp ở trẻ em. U ngoại bì thần kinh nguyên phát sinh ra từ chất mầm của trần não thất 4. 50% xảy ra trước 10 tuổi.
– Saccom tiểu não là một u đặc nhiều thùy, lớn được xem là u nguyên bào tủy ngoại vi.

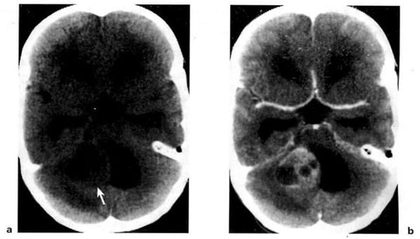
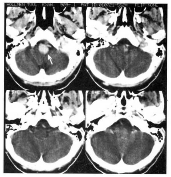
Hình 1.58. U nguyên bào tủy của thùy nhộng tiểu não ở trẻ 2 tuổi. Cắt lớp cách sau 10 tháng. Trước tiêm (a), dấu hiệu mơ hồ (mũi tên). Sau tiêm (b), một phần u bắt chất cản quang mạnh.
1.4. U màng ống nội tủy (Hình 1.59)
Dấu hiệu XQCLĐT:
– Khối u không đồng nhất trong não thất 4; 50% chứa những đám calci. Bắt chất cản quang đồng nhất hoặc không.
– Thường gặp não úng thủy.
Chú giải:
– Rất thường trước 10 tuổi. Có khuynh hướng xuất huyết.
– U dưới màng ống nội tủy là một biến thể xảy ra ở người già hơn. Chúng chứa tế bào màng ống nội tủy và tế bào đệm.

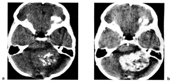
Hình 1.59. U màng ống nội tủy. Trước tiêm (a), không đồng nhất nằm ở vùng não thất 4 (mũi tên). Sau tiêm (b), bắt chất cản quang mạnh và không đồng nhất.
1.5. U nhú và ung thư đám rối mạch mạc
Dấu hiệu XQCLĐT:
– Khối u trong não thất 4 có mật độ hơi cao, có thể vôi hóa. Bắt chất cản quang đồng nhất.
– Thường kèm não úng thủy.
– Ung thư hiếm, ở trẻ em, nhưng rất xâm lấn, thường hoại tử và có thể xâm lấn đại não.
Chú giải:
– Thường xảy ra ở não thất bên hơn là ở não thất 4.
– U nhú lành tính về mô học. Ung thư hiếm, dự hậu xấu.
1.6. U nguyên bào mạch (Hình 1.60)
Dấu hiệu XQCTĐT:
– Hoặc đặc (40%) hoặc dạng nang (60%) với một hoặc nhiều nốt thành.
– Trên 90% khu trú ở bán cầu tiểu não, ở hành tủy và tủy sống ít gặp hơn.
– Gần như luôn luôn tiếp xúc với màng não mềm ở một điểm nào đó.
– Thành phần đặc bắt mạnh chất cản quang. Hiếm đóng vôi
Chú giải:
– Chiếm 8 – 12% các u hố sau.
– Tuổi thường gặp là 20 – 40 tuổi. Hiếm thấy ở trẻ em, nhưng nếu gặp thường có khả năng là bệnh von Hippel-Lindau. Ở những bệnh nhân này. đầu tuổi 20 là u mạch võng mạc, đầu tuổi 30 là u nguyên bào mạch và đầu tuổi 40 là ung thư thận.

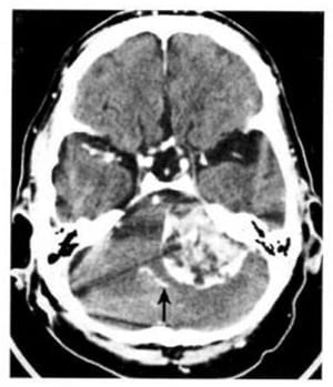
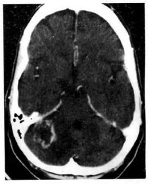
Hình 1.60. U nguyên bào mạch. Bệnh nhân nam 33 tuổi có hội chứng von Hippel-Lindau. Trước tiêm (a), tổn thương có mật độ hơi cao ở bán cầu tiểu não bên phải (mũi tên). Nốt u bắt mạnh chất cản quang (b).
1.7. U thần kinh (u bao Schwann) (Hình 1.61, 1.62)
Dấu hiệu XQCTĐT:
– Rất thường xảy ra ở thần kinh thính giác và khu trú ở góc cầu tiểu não.
– Trừ khi hoại tử, nó thường có mật độ ngang và bắt chất cản quang rõ.
Chú giải:
– Trong bệnh u xơ thần kinh loại 2, hai u bao Schwann có thể nối tiếp nhau sau nhiều năm hoặc có thể xảy ra đồng thời.

Hình 1.61. U bao Schwann thần kinh thính giác. Một u lớn, bắt chất cản quang không đồng nhất, hoại tử một phần, nằm ở góc cầu tiểu não và chèn ép não thất 4 (mũi tên).

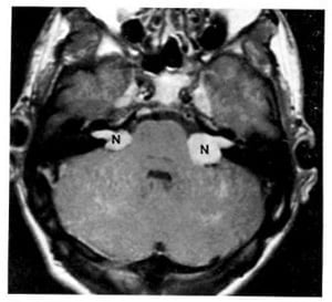
Hình 1.62. U thần kinh thính giác hai bên bắt mạnh chất cản quang ở một bệnh nhân có bệnh u xơ thần kinh loại 2.
1.8. U màng não (Hình 1.63)
Dấu hiệu XQCTĐT:
– Mật độ cao (75%) hoặc mật độ ngang (25%) trên lát cắt trước tiêm.
– Bám màng cứng rộng
– 15 – 20% có đóng vôi. Dày xương lân cận và phù nhu mô não bên dưới.
– Bắt mạnh chất cản quang.
Chú giải:
– 5 – 10% xảy ra ở hố sau. Hoặc ở góc cầu tiểu não hoặc ở phần nền xương chẩm hoặc ở lỗ chẩm.

Hình 1.63. U màng não ở lỗ chẩm. U bắt mạnh chất cản quang nằm gần cuống não ngang với lỗ chẩm.
1.9. U dạng biểu bì (Hình 1.64)
Dấu hiệu XQCTĐT:
– Mật độ thấp (0 – 10 HU), tròn, thường nằm ở góc cầu tiểu não, không bắt chất cản quang.
– Không có phù xung quanh.
Chú giải:
– U nội sọ bẩm sinh thường gặp nhất.
– Thường không cso não úng thủy.

Hình 1.64. U dạng biểu bì. Khối u mật độ thấp không bắt chất cản quang, nằm gần não thất 4.
1.10. U dạng bì
Dấu hiệu XQCTĐT:
– Thuộc đường giữa, mật độ thấp (HU âm), thành dày, không đồng nhất do hiện diện mỡ.
– Không phù và không bắt chất cản quang.
Chú giải:
– U hiếm với những thành phần như da.
– Thường thấy ở hố sau hoặc đáy sọ.
– Thường không có não úng thủy.
1.11. U quái
Dấu hiệu XQCTĐT:
– Khối u rõ rệt với thành phần mỡ, mô không mỡ, đóng vôi.
– Không phù, không bắt chất cản quang.
Chú giải:
– Hiếm.
– Dù là u lớn, vẫn thường không có não úng thủy.
1.12. U mỡ (Hình 1.65)
Dấu hiệu XQCTĐT:
– Tổn thương mật độ mỡ, không bắt chất cản quang, nằm ở góc cầu tiểu não hoặc tiểu não.
– Đóng vôi viền hoặc lốm đốm trung tâm và tăng quang.
– Không phù.
Chú giải:
– Hiếm. Thường không có não úng thủy do tắc nghẽn.

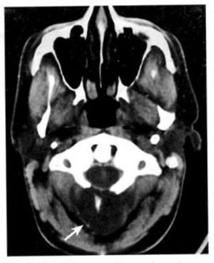
Hình 1.65. U mỡ. Khối u mật độ mỡ, không bắt chất cản quang, lồi vào trong lỗ chẩm từ phía sau (mũi tên). Nó chứa một đốm vôi trung tâm.
1.13. Di căn (Hình 1.66)
Dấu hiệu XQCTĐT:
– Hình thái thay đổi, gồm: nốt bắt chất cản quang mạnh với phù bao quanh; khối u lớn không đồng nhất, bắt yếu chất cản quang; hoặc u bắt chất cản quang dạng viền kèm hoại tử trung tâm.
Chú giải:
– Ở người già, là u tiểu não thường gặp nhất.

Hình 1.66. Di căn từ ung thư tế bào đáy đến bán cầu tiểu não bên phải. U bị hoại tử và bắt chất cản quang dạng viền.
1.14. Lymphoma (Hình 1.67)
Dấu hiệu XQCTĐT:
– Khối u đặc, giới hạn không rõ, mật độ cao, bắt chất cản quang, thường nằm gần não thất 4 hoặc bề mặt tiểu não.
– Phù quanh u ít hoặc không có.
Chú giải:
– Gặp ở người bị suy giảm miễn nhiễm.
– Có thể nhiều ổ và không tôn trọng ranh giới giải phẫu.

Hình 1.67. Lymphoma di căn mật độ cao trong bán cầu tiểu não bên trái. Lắt cắt không tiêm.
2. Khác
2.1. Nhồi máu
Dấu hiệu XQCTĐT:
– Tổn thương mật độ thấp, xuất hiện sau đột quỵ 12 – 24 giờ.
– Nhồi máu bán cấp có thể bắt chất cản quang và giống như u tân sinh.
– Về bệnh sử tự nhiên của nhồi máu, xem Bảng 1.6.
Chú giải:
– Do ảnh giả, ít dùng XQCLVT để tìm nhồi máu tiểu não và cuống não.
– Thường gặp nhất là nhồi máu thuộc vùng chi phối của động mạch tiểu não sau dưới, ảnh hưởng bán cầu tiểu não và cuống não.
2.2. Xuất huyết (Hình 1.68)
Dấu hiệu XQCTĐT:
– Tổn thương mật độ cao gây chèn ép hoặc tắc nghẽn não thất 4 dẫn tới não úng thủy.
Chú giải:
– Xuất huyết vào trong bể có thể xuất hiện như những lớp mật độ cao nằm kế cận lều tiểu não hoặc các bể.

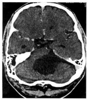
Hình 1.68. Xuất huyết trong não thất. Não thất 4 chứa máu, giãn nở và có mật độ cao (mũi tên). Các sừng thái dương giãn nở chứng tỏ có tắc nghẽn.
2.3. Dị dạng động tĩnh mạch
Dấu hiệu XQCLĐT:
– Những cấu trúc bắt chất cản quang nhanh, mạnh, ngoằn ngoèo, mức độ hiệu ứng choán chỗ thay đổi, khó phân biệt trên lát cắt trước tiêm.
Chú giải:
– Tổn thương dạng nang hoặc đóng vôi chứng tỏ xuất huyết trước đó.
2.4. Áp xe
– Xem bảng 1.6
2.5. Bệnh xơ cứng rải rác
Dấu hiệu XQCLĐT:
– Mảng lớn ở tiểu não hoặc cuống não có thể xuất hiện bành trướng, bắt chất cản quang, giống như một u tân sinh.
2.6. Tăng sinh tế bào đệm (Hình 1.69)
Dấu hiệu XQCLĐT:
– Một tổn thương duy nhất hoặc nhiều tổn thương mật độ thấp, không bắt chất cản quang nằm trong bán cầu tiểu não.
Chú giải:
– Có thể xảy ra như là một trong số nhiều dấu hiệu của bệnh u xơ thần kinh loại 1.

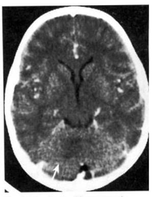
Hình 1.69. Bệnh u xơ thần kinh loại 1. Trẻ 12 tuổi. Tổn thương mật độ thấp, không bắt chất cản quang, nằm trong bán cầu tiểu não bên phải (mũi tên). Nó được xem như tình trạng tăng sinh tế bào đệm kết hợp với bệnh u xơ thần kinh.
>> Xem thêm:
– Chẩn đoán phân biệt trên cắt lớp vi tính – Tổn thương trên lều
– Chẩn đoán phân biệt trên cắt lớp vi tính – Tổn thương ở góc cầu tiểu não
– Chẩn đoán phân biệt trên cắt lớp vi tính – Tổn thương ở hố yên và cận yên
Bài viết được biên tập từ sách X quang cắt lớp điện toán: chẩn đoán phân biệt (Differential Diagnosis in Computed Tomography), dịch bởi BS Phí Ích Nghị.
Chi tiết sách dịch song ngữ xem tại đây.
Trang web đang upload liên tục các video bài giảng và tài liệu chẩn đoán hình ảnh. Để nhận được thông báo về các bài viết mới nhất, vui lòng đăng ký tại Form nhận bản tin và theo dõi tại kênh Youtube


