Bài viết được biên tập từ sách X quang cắt lớp điện toán: chẩn đoán phân biệt (Differential Diagnosis in Computed Tomography), dịch bởi BS Phí Ích Nghị.
Từ viết tắt: XQCLĐT = X quang cắt lớp điện toán (Cắt lớp vi tính, CT); CHT = Cộng hưởng từ (MRI); DNT = Dịch não tủy
CHẨN ĐOÁN PHÂN BIỆT TRÊN CẮT LỚP VI TÍNH
TỔN THƯƠNG TRÊN LỀU
Đại cương
Tổn thương u trong não được xếp thành u trong nhu mô và u ngoài nhu mô tức phát sinh từ màng não hoặc từ mô khác bên ngoài nhu mô não. Do đó, u trong nhu mô không bám vào màng cứng hoặc xương, thường không gây ra những biến đổi khu trú trên xương mà làm di lệch vỏ não ra phía trước màng cứng và xương, xóa mờ các bể và được tưới bởi các động mạch thuộc màng nuôi. Ngược lại, u ngoài nhu mô thường tiếp cận với màng cứng hoặc xương, đi kèm những biến đổi xương, đẩy vỏ não xa xương và làm nở rộng các bể dưới nhện. Chúng được nuôi bởi các động mạch màng cứng.
U não chiếm 9% trong tổng số các tân sinh nguyên phát; trong nhóm nhi (dưới 15 tuổi) chiếm 15%. Bảng 1.3 liệt kê các u não thường gặp nhất không theo tuổi và bảng 1.4 là các u não thường gặp nhất trong nhóm bệnh nhi.


Bảng 1.6-9 là chẩn đoán phân biệt những tổn thương não giống u xếp theo vị trí giải phẫu. Ngoài vị trí và tuổi bệnh nhân, mật độ của u trước khi tiêm chất cản quang cũng là yếu tố trợ giúp. Tuy nhiên, một khi nghi ngờ u não, không thể thiếu hình ảnh XQCLĐT sau tiêm. Thông thường, chất cản quang làm tăng quang các mạch máu, màng cứng và phần tuyến của tuyến yên. Một khi hàng rào máu-não bị thương tổn, hiện tượng bắt chất cản quang sẽ xảy ra ở mô xung quanh. Điều này không chỉ xảy ra đối với u não mà cả ở một số giai đoạn nào đó của các tổn thương khu trú như nhồi máu não hoặc ổ thoái hóa myelin hoạt tính.


Tổn thương trên lều
1. Tân sinh
1.1. U tế bào hình sao (Hình 1.29-31)
Dấu hiệu XQCLĐT:
– U tế bào sao độ thấp. Thường là một khối mật độ thấp, giới hạn rõ, bắt nhẹ hoặc không bắt chất cản quang, phù. Một số đóng vôi.
– Thể u hình sao người trẻ. Khối u giới hạn rõ, quanh não thất ba hoặc bốn (giao thị, hạ đồi, thùy nhộng tiểu não). Thường có nang và chứa một nốt dính thành bắt chất cản quang. Thành nang có thể không bắt chất cản quang.
– U hình sao tự ghép. Mật độ không đồng nhất, giới hạn không rõ, hiệu ứng choán chỗ rõ hơn và bắt chất cản quang.
Chú giải:
– Trong số các u tế bào hình sao, 25-30% tương đối lành tính, thường xảy ra trong độ tuổi 20-40, ở chất trắng.
– Thể ở người trẻ thường đi kèm với bệnh u xơ thần kinh.
– Hiếm gặp ở hai bán cầu đại não, xảy ra thường hơn ở thùy thái dương

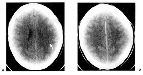
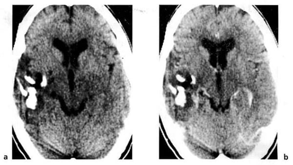
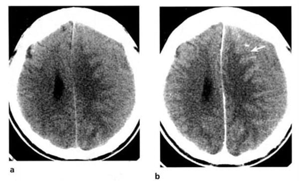
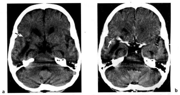
Hình 1.29. U tế bào hình sao độ 2. Ở vùng đỉnh thái dương sau bên trái (mũi tên). Bệnh nhân nam 40 tuổi. Trước tiêm, mật độ hai bên hơi bất xứng, mơ hồ (a). Sau tiêm, không thấy bắt chất cản quang (b). XQCLĐT thường âm tính. U hiện rõ trên CHT.

Hình 1.30. U hình sao thể người trẻ. Bệnh nhân nữ 30 tuổi. Một cấu trúc bành trướng dạng nang nằm ở thuỳ trán bên trái (a). Không tìm thấy nốt thành bắt chất cản quang (b).

Hình 1.31. U hình sao độ 3. Tổn thương thùy trán mật độ thấp, không bắt chất cản quang, không có hiệu ứng choán chỗ, có vẻ giống như hình ảnh nhồi máu.
1.2. U nguyên bào đệm đa dạng (Hình 1.32)
Dấu hiệu XQCLĐT:
– U ở chất trắng trên lều, với đặc trưng là hoại tử, xuất huyết, phù nguồn gốc mạch máu, hiệu ứng choán chỗ, không đồng nhất, bắt chất cản quang đáng kể.
Chú giải:
– 50% các u hình sao; xảy ra trong khoảng tuổi 50 – 70.
– Có khuynh hướng ác tính ở người già
– Các tế bào u lan rộng ra ngoài vùng bắt chất cản quang

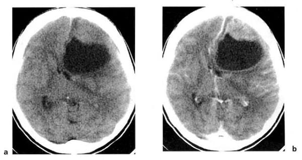
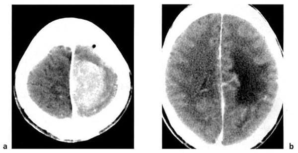
Hình 1.32. U nguyên bào đệm đa dạng. Hình ảnh trước tiêm (a) là tổn thương mật độ thấp ở hai bên đường giữa. Ở thùy trán bên trái còn có một tổn thương mật độ cao (xuất huyết). Sau tiêm (b), bắt chất cản quang mạnh, dạng viền.
1.3. U tế bào ít nhánh (Hình 1.33)
Dấu hiệu XQCLĐT:
– U điển hình có mật độ thấp, bắt chất cản quang nhẹ nếu có.
– Rất thường ở thuỳ trán, thường đóng vôi một phần
Chú giải:
– Chiếm 5% các u não nguyên phát.
– Xuất độ đỉnh: 35 – 40 tuổi, 85% ở trên lều
– Khoảng 50% chứa các thành phần tế bào hình sao.

Hình 1.33. U tế bào ít nhánh. Khối u mật độ thấp ở thùy đỉnh với những vết đóng vôi thô (a) và bắt chất cản quang nhẹ (b).
1.4. U màng ống nội tủy
Dấu hiệu XQCLĐT:
– Ở trên lều, thường nằm quanh não thất hoặc trong nhu mô.
– Đóng vôi trong khoảng 50%
– Thường gặp nang, hiếm xuất huyết
– Có thể không phân biệt được với u hình sao
– Xảy ra ở mọi tuổi
Chú giải:
– Chiếm 5% u não; 50% u màng ống nội tủy xảy ra ở trẻ dưới 5 tuổi; 2/3 có vị trí dưới lều, từ sàn não thất bốn và lan về góc cầu tiểu não
– Tăng trưởng chậm và mô học đa dạng
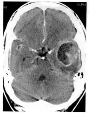
1.5. U màng não (Hình 1.34)
Dấu hiệu XQCLĐT:
– Tròn, giới hạn rõ, 75% có mật độ thấp, vị trí cận màng cứng
– 30-40% nằm cận đường dọc giữa hoặc ở phần lồi đại não, 15-20% ở cánh bướm.
– 90% bắt mạnh chất cản quang
– Đóng vôi trong 15-20%
Chú giải:
– Chiếm 15-20% u nội sọ; hiếm thấy ở trẻ em và thiếu niên, u màng não sinh ra từ tế bào lót màng nhện và dính vào màng cứng
– Dày xương là dấu hiệu đặc trưng bệnh lý
– Loại mô học thay đổi

Hình 1.34. U màng não. Khối u lớn, ở cận giữa, bên trái, bắt mạnh chất cản quang. U dính vào màng cứng (a) và phù nề bao quanh, thấy sâu trong chất trắng (b).
1.6. U hạch thần kinh, u hạch đệm, u tế bào hạch
Dấu hiệu XQCTĐT:
– Giới hạn rõ, mật độ hỗn hợp, ở thùy trán hoặc thái dương chẩm, hiệu ứng choán chỗ nhẹ.
– 50% dạng nang, 1/3 đóng vôi, bắt chất cản quang thay đổi
– Có thể bào mòn bản trong hộp sọ
Chú giải:
– Hiếm, 80% xảy ra dưới tuổi 30
– Cũng gặp trong não thất ba, bốn và tiểu não
1.7. U ngoại bì thần kinh nguyên phát
Dấu hiệu XQCTĐT:
– Nằm sâu trong chất trắng, giới hạn rõ, mật độ cao, bắt chất cản quang thay đổi.
– Dạng nang và vôi hóa trong 50%; xuất huyết trong 10%.
– Có thể nằm trong não thất
Chú giải:
– Chiếm dưới 50% các u trên lều, chủ yếu ở trẻ dưới 5 tuổi
– Độ ác tính cao
– Bệnh lý còn bàn cãi
1.8. U nguyên bào mạch
Dấu hiệu XQCTĐT:
– U đặc hoặc nang, bắt mạnh chất cản quang.
– Dường như luôn luôn tiếp xúc với màng não mềm ở một điểm nào đó.
– Hiếm khi vôi hóa.
Chú giải:
– Hiếm khi ở trên lều.
– Xảy ra ở người trẻ hoặc trung niên.
– Không thường xuyên, có thể đi kèm bệnh von-Hippel-Lindau
– Trên 90% xảy ra ở bán cầu tiểu não, hành tủy và tủy sống (chiếm 10% các u hố sau)
1.9. Lymphoma (Hình 1.35)
Dấu hiệu XQCTĐT:
– Khối u mật độ ngang hoặc cao, giới hạn không rõ, thường nằm sâu trong chất trắng hoặc ở thể trai.
– Hiếm khi đóng vôi
– Ở bệnh nhân AIDS, có thể hoại tử và giống như nhiễm trùng (như nhiễm Toxoplasma) với bắt chất cản quang dạng viền, 50% nhiều tổn thương
Chú giải:
– Trước kia hiếm, xuất độ tăng dần theo bệnh AIDS
– Xảy ra ở người bị suy giảm miễn nhiễm
– Lymphoma hệ thần kinh trung ương thuộc nhóm bệnh lymphoma không Hodgkin

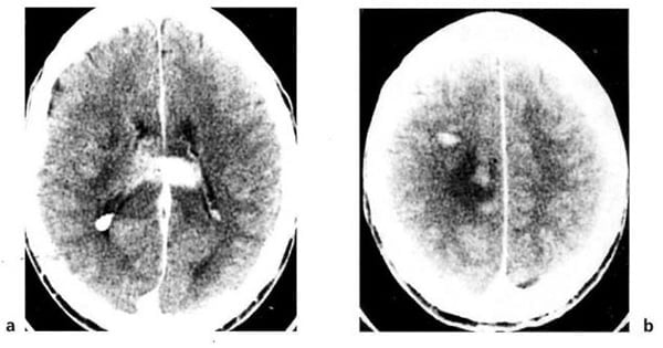
Hình 1.35. Lymphoma não. Khối bắt chất cản quang mạnh nằm trong vùng thể trai (a). Những tổn thương dạng đám, rải rác trong chất xám và chất trắng vùng vỏ (b).
1.10. U mô bào tế bào Langerhans
Dấu hiệu XQCTĐT:
– U mật độ ngang hoặc rất cao, rất thường ở vùng hạ đồi
– Bắt chất cản quang mạnh và đồng nhất
Chú giải:
– Trước kia gọi là u mô bào X
– Hiếm thấy ở nhu mô não
– Cũng có thể ảnh hưởng màng não mềm và thần kinh sọ
1.11. U quái
Dấu hiệu XQCTĐT:
– Khối u trên yên hoặc vùng tuyến tùng, không đồng nhất có thể chứa đóng vôi, mỡ hoặc dạng nang và các thành phần đặc; bắt chất cản quang không đáng kể.
Chú giải:
– Chủ yếu ở tuyến tùng
– Xuất độ thấp hơn u tế bào mầm tuyến tùng
– Xuất độ cao ở 10-20 tuổi
– Mô học thay đổi
1.12. U tế bào mầm (Hình 1.36)
Dấu hiệu XQCTĐT:
– U trên lều giới hạn, có thể ảnh hưởng cuống tuyến yên, hiếm khi nhân xám và đồi thị
– Mật độ cao +/- đóng vôi trong 80%
– Bắt mạnh chất cản quang
Chú giải:
– Tuyến tùng là nơi thường gặp nhất (chiếm trên 50% các u của tuyến tùng); vị trí khác coi như “lạc chỗ”.
– Mô học tựa như u tinh của tinh hoàn.
– Trội hẳn ở nam giới 10:1.

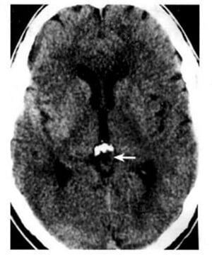
Hình 1.36. U tế bào mầm của tuyến tùng. Khối u bắt chất cản quang (mũi tên ngắn) nằm ở phía sau đóng vôi tuyến tùng bình thường (mũi tên dài).
1.13. Nang tuyến tùng (Hình 1.37)
Dấu hiệu XQCTĐT:
– Tổn thương nhỏ dạng nang không bắt chất cản quang
Chú giải:
– Tương đối thường gặp, nhưng không luôn luôn nhận ra được trên XQCLĐT

Hình 1.37. Nang tuyến tùng. Một tổn thương nhỏ dạng nang nằm phía sau đóng vôi tuyến tùng.
1.14. Di căn (Hình 1.38)
Dấu hiệu XQCTĐT:
– Thường có mật độ thấp và bắt chất cản quang
– Di căn hoại tử có thành dầy và phù nguồn gốc mạch máu bao quanh
Chú giải:
– Di căn từ lymphoma, ung thư tế bào nhau, u hắc tố và sarcoma xương thường có mật độ cao

Hình 1.38. Di căn từ ung thư phổi. U mật độ thấp, gần như đồng nhất ở thùy chẩm bên trái, trước tiêm (a). Bắt chất cản quang dạng vành (b) cho thấy hoại tử trung tâm và phù nề xung quanh.
1.15. U mỡ
Dấu hiệu XQCTĐT:
– Trên đường giữa, thường ở liên bán cầu, với mật độ của mỡ
– Không bắt chất cản quang, có thể có vôi hóa dạng cong
Chú giải:
– U mỡ của thể trai thường đi kèm với vô sinh bán phần hoặc toàn phần của thể trai
1.16. U sọ hầu (Hình 1.39 và 1.28)
Dấu hiệu XQCTĐT:
– U nhiều thùy nằm ở tại hố yên hoặc trên yên, bắt chất cản quang thay đổi
– Chứa nang và đóng vôi trong 90%
Chú giải:
– Xem Bảng 1.9

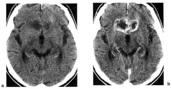
Hình 1.39. U sọ hầu. Khối u lớn nhiều thùy chứa nang và đóng vôi
2. Các loại khác
2.1. Hoại tử do tia xạ
Dấu hiệu XQCTĐT:
– Khối ật độ thấp khu trú, nằm sâu gần vùng u được xạ trị
– Có thể bắt chất cản quang dạng vành không đều
Chú giải:
– Phát triển khoảng 9-24 tháng sau xạ trị. Có thể không phân biệt được với u tái phát hoặc sót lại
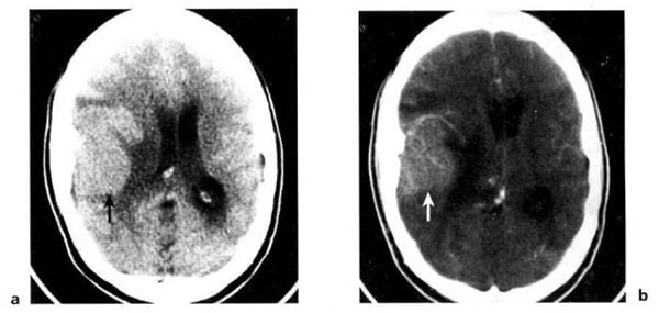
2.2. Nhồi máu não (Hình 1.40, 1.41)
Dấu hiệu XQCTĐT:
– Từ 12 đến 48 giờ: vùng mật độ thấp mơ hồ, giới hạn không rõ, hiệu ứng choán chỗ nhẹ (xóa rãnh vỏ, di lệch não thất nếu nhồi máu rộng). Không bắt chất cản quang thường xuyên. Xuất huyết xảy ra trong 5-10% với mật độ cao tự nhiên.
– Từ 48 đến 96 giờ: khối choán chỗ tăng dần. Vùng khu trú hình tam giác hoặc hình V, mật độ thấp, ảnh hưởng vỏ não và chất trắng dưới vỏ cho đến bề mặt não thất.
– Từ 4 đến 7 ngày: xuất hiện bắt chất cản quang dạng hồi não và có thể tồn tại trong 8 tuần. Nhồi máu mật độ thấp, phù bao quanh có mật độ thấp hơn.
– Từ 2 đến 8 tuần: hiệu ứng choán chỗ giảm dần, có thể còn bắt chất cản quang.
– Nhồi máu cũ: vùng mật độ thấp, giới hạn rõ, giãn nở não thất và rãnh vỏ lân cận. Hiếm đóng vôi.
Chú giải:
– Nhồi máu sớm có thể có mật độ ngang và không phát hiện được cần thực hiện nga XQCLĐT có tiêm.
– Chất cản quang có thể độc hại trong trường hợp đột quỵ cấp.
– Thỉnh thoảng có thể thấy cục nghẽn mạch xơ vữa mật đọ cao trong lòng động mạch (dấu động mạch não giữa có mật độ cao).
– Hình thể của vùng nhồi máu tương ứng với vùng chi phối của một động mạch đặc hiệu nào đó và cho hình thái bắt chất cản quang ngoại vi đặc trưng.
– Các triệu chứng thường khởi phát đột ngột, khác với u tế bào đệm.
– Đa số các trường hợp phát hiện được trên lâm sàng là do nghẽn mạch và xảy ra ở động mạch não giữa.
– Đột quỵ do huyết khối thường nhỏ và chừa vỏ não.
– Nhồi máu sau chấn thương do chèn ép mạch máu thường thứ phát sau hiệu ứng choán chỗ và thường xảy ra hơn cả ở vùng chi phối của động mạch não sau.

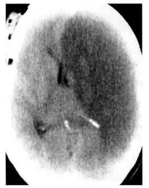
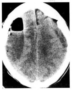
Hình 1.40. Nhồi máu não. Dưới 24 giờ, ảnh hưởng toàn bộ vùng chi phối của động mạch cảnh trong bên trái. Tổn thương mật độ thấp, giới hạn không rõ đẩy lệch não thất bên.

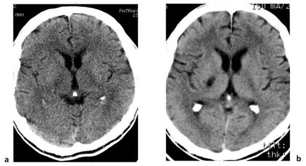
Hình 1.41. Nhồi máu não ở tay sau của bao trong bên phải. Vài giờ sau khi xuất hiện triệu chứng của đột quỵ. XQCLĐT (a) âm tính. Sáu ngày sau (b), tổn thương mật độ thấp hiện rõ. Do kích thước nhỏ, hiệu ứng choán chỗ không đáng kể.
2.3. Áp xe não mủ (Hình 1.42 và 1.18, 1.19)
Dấu hiệu XQCLĐT:
– Diễn tiến từ giai đoạn viêm não sớm và trễ với bắt chất cản quang khu trú.
– Vùng mật độ thấp trung tâm biểu thị mủ hoặc mô hoại tử.
– Viền bắt chất cản quang biểu thị vỏ xơ
– Vành ngoại vi mật độ thấp trong chất trắng biểu thị phù hoạt động
Chú giải:
– Bệnh cảnh lâm sàng sốt, tăng bạch cầu, nhiễm trùng ngoài sọ hoặc phẫu thuật trước đó.
– Bắt chất cản quang dạng viền của u tế bào đệm thường không đều về độ dày nhưng nhiều khi cũng khó phân biệt áp xe với u tế bào đệm ác tính.

Hình 1.42. Áp xe não mủ. Khối tụ mủ và mô hoại tử có mật độ thấp ở trung tâm không bắt chất cản quang, có vỏ xơ bao bọc bắt chất cản quang. Phù thể tích nhỏ.
2.4. Nang sán
Dấu hiệu XQCLĐT:
– Tròn, giới hạn rõ, mật độ thấp, thành đều
Chú giải:
– Hiếm
– Trong nhu mô não, nang có khuynh hướng lớn, nhiều, thành mỏng
– Không phù hoạt động và không bắt chất cản quang
2.5. Viêm não (Hình 1.18)
Dấu hiệu XQCLĐT:
– Vùng phù nề mật độ thấp, không đều, giới hạn không rõ, trong chất trắng hoặc nhân xám trung ương, tựa như khối u làm xóa rãnh vỏ hoặc não thất
– Không có vỏ bắt chất cản quang
Chú giải:
– Thường do nhiễm trùng vi trùng hoặc nấm
– Có thể tiến đến thành hình áp xe sau 10-14 ngày

Hình 1.18. Áp xe não trong giai đoạn viêm não sớm. Khối đồng nhất ở thùy thái dương bên phải (a, mũi tên) với bắt chất cản quang trung bình (b) và phù nề mật độ thấp bao quanh.
2.6. Xuất huyết trong não (Hình 1.43, 1.44)
Dấu hiệu XQCLĐT:
– Cấp tính: tổn thương giới hạn rõ, mật độ cao đồng nhất, hình tròn hoặc bầu dục, hiệu ứng choán chỗ trung bình
– Hồi phục (sau 3-6 tuần): vùng mật độ thấp bên trong một viền mỏng tăng quang. Có thể giống u tân sinh
Chú giải:
– Nguyên nhân gồm chấn thương đầu, phẫu thuật, cao huyết áp, vỡ dị dạng mạch máu hoặc vỡ phình mạch.
– Xuất huyết cấp có thể có mật độ ngang nhất là ở người đang điều trị kháng đông hoặc thiếu máu nặng.

Hình 1.43. Khối máu tụ tươi trong não ở một trẻ nhỏ. Máu có mật độ cao trong bán cầu não bên phải, phù mật độ thấp bao quanh. Tụ dịch mãn dưới màng cứng hai bên. Đây là một trường hợp trẻ bị bạc đãi.

Hình 1.44. Khối máu tụ trong não. Lớn, 10 ngày tuổi. Trước tiêm (a), khối tụ mật độ cao, phù bao quanh nhưng xuất huyết không cho giới hạn rõ như một khối tụ máu tươi. Sau tiêm (b), bắt chất cản quang dạng viền.
2.7. Máu tụ ngoài màng cứng (Hình 1.45)
Dấu hiệu XQCLĐT:
– Khối ngoài nhu mô, hình thấu kính hai mặt lồi, mật độ cao làm di lệch mặt tiếp xúc lân cận giữa chất xám và chất trắng.
– Thường ở vùng thái dương-đỉnh, ít khi ở vùng trán hoặc chẩm
Chú giải:
– Do chấn thương làm rách động mạch màng não hoặc (chủ yếu ở trẻ em) đứt các xoang màng cứng và tĩnh mạch.
– Tìm tổn thương đối chiếu do sóng dội, tụt não dưới liềm, dấu tăng áp nội sọ.

Hình 1.45. Máu tụ ngoài màng cứng. Khối tụ hình thấu kính hai mặt lồi ở vùng thái dương có mật độ cao tự nhiên, đẩy nhu mô não và xóa mờ não thất bên bên phải.
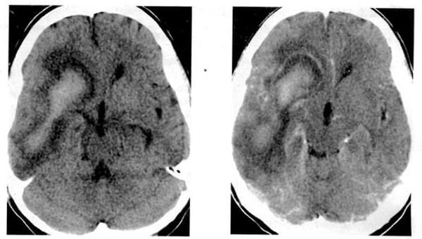
2.8. Máu tụ dưới màng cứng (Hình 1.43, 1.46-48)
Dấu hiệu XQCLĐT:
– Cấp. Khối tụ ngoài nhu mô, mật độ cao, hình liềm. Điển hình ở vùng trán-đỉnh, có thể lan vào khe liên bán cầu và dọc theo liềm đại não. Máu tụ dưới màng cứng nhỏ vùng dưới thái dương, dưới trán, lều, thấy rõ hơn trên lát cắt đứng ngang.
– Bán cấp (từ vài ngày đến 3 tuần). Mật độ ngang, làm di lệch mặt tiếp giáp chất xám-chất trắng. Sau tiêm, thấy các tĩnh mạch vỏ di lệch vào trong. Màng bên dưới có thể tăng quang.
– Mãn (trên 3 tuần). Khối tụ hình liềm, giới hạn rõ, mật độ thấp, tiếp giáp bản trong hộp sọ. Bắt chất cản quang viền mỏng.
Chú giải:
– Thường đi kèm tổn thương não bên dưới (dập, máu tụ cục bộ).
– Ở trẻ em, thường hai bên. Máu tụ dưới màng cứng liên bán cầu ở trẻ em và không có chỗ nào khác, phải nghi ngờ chấn thương không do tai nạn.
– Khi hiện diện cân xứng cả hai bên, đôi khi khó phát hiện nếu có mật độ ngang với vỏ não bên dưới. Tiêm chất cản quang để tìm những dấu hiệu gián tiếp.
– Xuất huyết tái phát trong khối tụ mãn dưới màng cứng có sẵn làm cho mật độ trở nên không đồng nhất.
– Chất cản quang có thể thấm vào khối tụ và cho hình ảnh mức dịch-dịch.

Hình 1.46. Khối máu tụ dưới màng cứng hỗn hợp cấp và mãn trong khối tụ bên trái. Mật độ cao trong khối lớn mật độ thấp tương ứng máu tươi bên trong một khối tụ máu mật độ thấp mãn tính.

Hình 1.47. Khối máu tụ bán cấp dưới màng cứng có mật độ ngang. Trước tiêm, chỉ thấy hiệu ứng choán chỗ và xóa mất não thất bên bên trái (a). Sau tiêm (b), các tĩnh mạch bề mặt hiện lên (mũi tên) cho thấy rõ hơn ranh giới của khối tụ máu.

Hình 1.48. Máu tụ mãn dưới màng cứng. Khối tụ hình liềm, mật độ thấp (mũi tên) với bắt chất cản quang theo viền.
2.9. Phình mạch động mạch (Hình 1.49, 1.50)
Dấu hiệu XQCLĐT:
– Tổn thương có mật độ thấp nhỏ ở trung tâm và nhanh chóng tăng quang.
– Thường hiện diện huyết khối, tăng quang kém
– Thường đi kèm máu tụ dưới màng nhện và trong não
Chú giải:
– Đa số phình mạch xảy ra ở vùng cận yên (xem Bảng 1.9).
– Ít gặp đóng vôi ở những phình mạch đơn giản, trong khi dị dạng mạch máu và u mạch hang đóng vôi thường hơn.

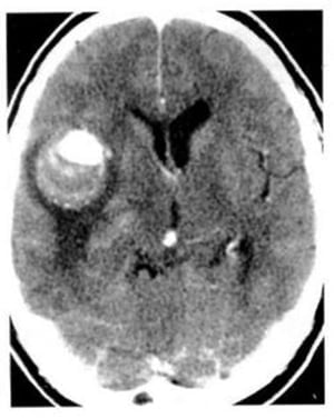
Hình 1.49. Phình mạch khổng lồ trong thùy thái dương bên phải, phù bao quanh. Vùng mật độ cao tương ứng lòng mạch chứa chất cản quang, phần còn lại là huyết khối.

Hình 1.50. Phình mạch của động mạch não giữa, với máu tụ cũ nội sọ sau 4 tháng. Cùng bệnh nhân trong Hình 1.44. Trước tiêm (a), phình mạch có dạng mật độ cao nhỏ, máu tụ mãn tính mật độ thấp bao quanh (mũi tên). Sau tiêm (b), cho thấy phình mạch với huyết khối bán phần rõ hơn (mũi tên).
2.10. Dị dạng động tĩnh mạch (Hình 1.51)
Dấu hiệu XQCLĐT:
– Tổn thương không đều, tăng quang nhanh với các cấu trúc mạch máu ngoằn ngoèo.
– Thường có đóng vôi
Chú giải:
– Những tổn thương dạng nang hoặc đóng vôi biểu thị xuất huyết trước đó

Hình 1.51. Dị dạng mạch máu trong thùy thái dương bên trái. Những mạch máu giãn nở ngoằn ngoèo bắt chất cản quang nhanh và mạnh.
2.11. Tụ mủ dưới màng cứng (Hình 1.52)
Dấu hiệu XQCLĐT:
– Khối tụ mật độ thấp hình liềm hoặc thấu kính tiếp giáp với bản trong.
– Vùng bắt chất cản quang hẹp ngăn cách khối tụ với bề mặt của não.
– Có thể xảy ra ở khe liên bán cầu.
– Bắt chất cản quang dạng hồi não chứng tỏ nhồi máu hoặc viêm.
Chú giải:
– Diễn tiến tụ mủ dưới màng cứng thường từ xoang trán và xoang sàng
– Có thể là biến chứng của viêm xương chũm, nhiễm trùng tai giữa, viêm màng não mủ, vết thương xuyên thấu, biến chứng sau mở hộp sọ hoặc viêm xương tủy.
– Đôi khi, trên XQCLĐT khó phân biệt giữa tụ mủ dưới màng cứng với máu tụ bán cấp hoặc mãn

Hình 1.52. Tụ mủ dưới màng cứng. Một khối tụ mật độ thấp có hình thấu kính kèm mực khí-dịch hậu phẫu. Tụ dịch nhỏ dưới màng cứng ở cả mé trái.
2.12. Áp xe ngoài màng cứng (Hình 1.53)
Dấu hiệu XQCLĐT:
– Khối mật độ thấp giới hạn không rõ nằm giữa bản trong và màng cứng
– Có thể kèm hủy xương hoặc có dấu hiệu viêm xoang hoặc viêm xương chủm.
– Bắt chất cản quang ở màng cứng dày giữa khối máu tụ và não
– Rất thường gặp ở vùng xoang trán
Chú giải:
– Hiếm
– Thường thứ phát sau viêm xương tủy hộp sọ phát sinh từ nhiễm trùng tai hoặc xoang mặt, nhiễm trùng khu trú ở ngoài màng cứng và trong bản trong hộp sọ.
– Khó phát hiện tổn thương ở đáy sọ trên lát cắt ngang của XQCLĐT.

Hình 1.53. Áp xe ngoài màng cứng thứ phát sau viêm xoang. Khối tụ mật độ thấp có hình thấu kính (a, mũi tên) và bắt chất cản quang màng cứng dày cùng phù nề xung quanh (b).
2.13. Bệnh xơ cứng não củ
Dấu hiệu XQCLĐT:
– Tổn thương đa ổ mật độ thấp với giới hạn rõ nằm quanh nhĩ của não thất bên.
– Đối với những tổn thương tiến triển nhanh, có thể thấy hiệu ứng choán chỗ nhẹ và bắt chất cản quang
Chú giải:
– Có thể gặp tổn thương đơn độc và lớn.
– Tựa như u não.
>> Xem tiếp:
– Chẩn đoán phân biệt trên cắt lớp vi tính – Tổn thương hố sau (dưới lều)
– Chẩn đoán phân biệt trên cắt lớp vi tính – Tổn thương ở góc cầu tiểu não
– Chẩn đoán phân biệt trên cắt lớp vi tính – Tổn thương ở hố yên và cận yên
Bài viết được biên tập từ sách X quang cắt lớp điện toán: chẩn đoán phân biệt (Differential Diagnosis in Computed Tomography), dịch bởi BS Phí Ích Nghị.
Chi tiết sách dịch song ngữ xem tại đây.
Trang web đang upload liên tục các video bài giảng và tài liệu chẩn đoán hình ảnh. Để nhận được thông báo về các bài viết mới nhất, vui lòng đăng ký tại Form nhận bản tin và theo dõi tại kênh Youtube


