– Tác giả: ThS.BS. Lê Anh Tuấn – BV Bạch Mai
– Nguồn: bsxqtuan.wordpress.com
Siêu âm Doppler màu và siêu âm Doppler xung hệ mạch gan cung cấp rất nhiều thông tin chức năng và cấu trúc có giá trị trong chẩn đoán nhiều bệnh lý ở gan. Siêu âm Doppler cũng được sử dụng thường quy để kiểm soát sau điều trị bệnh lý gan, gồm cả ghép gan và nối tắt cửa-chủ trong gan qua đường tĩnh mạch cảnh (TIPS).
Bài này đề cập đến hệ mạch gan bình thường, tiếp theo là các thay đổi bệnh học gặp trong xơ gan và tăng áp lực tĩnh mạch cửa, huyết khối tĩnh mạch cửa, các bất thường tĩnh mạch cửa và huyết khối tĩnh mạch gan, hội chứng Budd-Chiari.
Bài viết trong series DẤU HIỆU CHẨN ĐOÁN HÌNH ẢNH trình bày các dấu hiệu hình ảnh gợi ý hoặc đặc hiệu trên XQ, CT, MRI, Siêu âm.
1. Giải phẫu mạch máu gan
Hệ mạch gan bình thường
Gan có nguồn cấp máu kép từ tĩnh mạch cửa và động mạch gan. Tĩnh mạch cửa cung cấp 70% tới 80% lượng máu đã oxy hóa một phần từ lách và ruột tới gan, trong khi động mạch gan cung cấp 20% tới 30% lượng máu còn lại [1,2]. Về kỹ thuật siêu âm Doppler, nên dùng đầu dò cong 3,5 MHz đa tần số, thường dùng mặt cắt siêu âm theo đường liên sườn phải để đánh giá tĩnh mạch cửa, động mạch gan chung trong cửa gan, và nhánh gan phải. Nhánh trái tĩnh mạch cửa và các tĩnh mạch gan giữa, tĩnh mạch gan trái thường được ghi ảnh theo mặt cắt ngang ở mũi ức [1].
Tĩnh mạch cửa
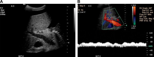
Tĩnh mạch cửa được tạo thành do hợp nhất tĩnh mạch lách với tĩnh mạch mạc treo tràng trên và mang máu từ ruột, tụy, lách tới gan (Hình 1). Các ngành phải và trái của nó tách ra ở cửa gan, sát với động mạch gan và ống gan chung. Tĩnh mạch cửa và các nhánh trong gan có thành mỏng, hơi tăng âm, và dòng chảy trong hệ thống tĩnh mạch cửa luôn hướng vào gan. Với các mặt cắt liên sườn hoặc dưới sườn, dòng máu trong tĩnh mạch cửa và ngành trái hướng tới đầu dò, và dòng chảy ở ngành phải đi xa đầu dò.
Phổ Doppler biểu hiện sóng một pha hầu như không biến đổi theo hô hấp (Hình 2). Tốc độ trung bình trong tĩnh mạch cửa từ 13 tới 23 cm/s khi nhịn đói [2].

Hình 1. Sơ đồ tĩnh mạch gan và tĩnh mạch cửa với các nhánh hạ phân thùy được đánh số (nhìn từ mặt dưới lên).

Hình 2. Tĩnh mạch cửa bình thường ở bệnh nhân nam 48 tuổi có tiền sử HIV và xuất huyết tiêu hóa thấp. (Hình A) Ảnh thang xám cho thấy tĩnh mạch cửa bình thường chia thành ngành phải và trái đi vào gan, tĩnh mạch có thành tăng âm và trong lòng mạch có các chấm đậm âm nhỏ. (Hình B) Ảnh siêu âm duplex Doppler và màu cho thấy dòng chảy tĩnh mạch cửa về gan với sóng tĩnh mạch dạng một thì (pha) thay đổi rất ít theo hô hấp. Dòng máu trong tĩnh mạch cửa và ngành trái hướng tới đầu dò (màu đỏ). Ở ngành phải tĩnh mạch cửa, dòng máu chảy xa đầu dò (màu xanh). Tốc độ trung bình 35 cm/s. Lưu ý bệnh nhân có nhiều dịch ổ bụng.
Động mạch gan
Phần ngoài gan, động mạch gan riêng đi trước tĩnh mạch cửa ở cửa gan, rồi phân các nhánh trong gan theo các tĩnh mạch cửa. Mặc dù chỉ cung cấp 20% đến 30% lưu lượng máu đến nhu mô gan, động mạch gan là nguồn cung cấp máu chủ yếu tới đường mật. Động mạch gan bình thường có sóng động mạch sức cản thấp với dòng chảy tâm trương liên tục (Hình 3). Trong tình trạng nhịn ăn, các số đo tốc độ tâm thu bình thường khoảng 30 tới 40 cm/s, tốc độ tâm trương 10 tới 15 cm/s [2]. Số đo Doppler của chỉ số kháng (RI) trong động mạch gan ở người bình thường nhịn ăn thay đổi từ 0,55 tới 0,81 (trung bình 0,62-0,74) [2].

Hình 3. Động mạch gan bình thường ở bệnh nhân nam 48 tuổi mắc viêm gan C. Ảnh siêu âm duplex Doppler và màu ở cửa gan cho thấy phổ sức kháng thấp của động mạch gan.
Các tĩnh mạch gan
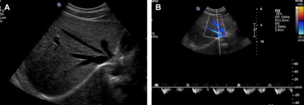
Các tĩnh mạch gan phải, tĩnh mạch gan giữa và tĩnh mạch gan trái và hợp lưu của chúng có thể nhìn thấy rõ bằng siêu âm dưới dạng các cấu trúc ống không có thành và dòng chảy đi xa đầu dò, rồi đổ về tĩnh mạch chủ dưới [1]. Tĩnh mạch gan giữa ngăn cách các thùy gan phải và thùy gan trái, chạy giữa phân thùy trước của thùy gan phải và phân thùy giữa của thùy gan trái. Tĩnh mạch gan phải nằm giữa phân thùy trước và phân thùy sau của thùy gan phải, và tĩnh mạch gan trái chạy giữa phân thùy giữa và phân thùy bên của thùy gan trái. Nhịp đập từ tim phải phản hồi đến sóng của các tĩnh mạch gan, với dạng sóng ba pha bao gồm hai thì dòng chảy xuôi tương ứng với thì tâm trương nhĩ và thì tâm thu thất [2]. Giai đoạn đảo ngược dòng chảy tạm thời tương ứng với co tim phải trong thì tâm thu nhĩ (Hình 4) [1].

Hình 4. Các tĩnh mạch gan bình thường. (A) Ảnh siêu âm thang xám cho thấy hợp lưu của cả ba tĩnh mạch gan đổ vào tĩnh mạch chủ dưới. (B) Ảnh Triplex Doppler cho thấy dòng chảy ba pha ở tĩnh mạch gan giữa.
2. Các dấu hiệu siêu âm màu và Doppler mạch máu gan
Giải thích các kiểu dòng chảy bất thường của tĩnh mạch cửa
Một số bệnh hệ thống hoặc của gan có thể làm thay đổi phổ Doppler bình thường của tĩnh mạch cửa.
Tăng Chu chuyển vòng (Increased phasicity)
Sóng Doppler bình thường của tĩnh mạch cửa không đập theo nhịp tim; sóng có dạng phổ đập mạnh hay có hai vòng trong mỗi chu chuyển chênh nhau rõ ở dòng chảy tĩnh mạch cửa là một dấu hiệu thường gặp trong suy tim phải (Hình 5) [11,12]. Siêu âm gan thường được chỉ định ở các bệnh nhân suy tim phải bởi vì các chỉ số xét nghiệm chức năng gan tăng do sung huyết gan thụ động. Tĩnh mạch chủ dưới và các tĩnh mạch gan bị giãn là một dấu hiệu quan trọng để chẩn đoán suy tim phải ứ máu ở gan. Sóng phổ đập mạnh của tĩnh mạch cửa có liên quan với áp lực nhĩ phải tăng, đặc biệt trong các trường hợp hở van ba lá, tăng áp lực động mạch phổi nặng, tràn dịch màng ngoài tim nhiều, khối u nhĩ phải, và viêm ngoại tâm mạc co thắt [13].
Tăng nhẹ chu chuyển vòng còn được quan sát thấy ở các trường hợp rò giữa tĩnh mạch cửa và tĩnh mạch gan, và các nối tắt cửa-chủ [13].

Hình 5. Dòng chảy hai chu chuyển vòng ở tĩnh mạch cửa bệnh nhân nữ 59 tuổi có tiền sử suy tim phải và viêm gan C. (Hình A) Ảnh siêu âm Doppler màu chứng minh dòng chảy hai chu chuyển vòng trong tĩnh mạch cửa, sóng kéo dài ở trên và dưới đường cơ bản. (Hình B) Ảnh siêu âm thang xám phát hiện các tĩnh mạch gan giãn to đổ về tĩnh mạch chủ dưới cũng bị giãn (các mũi tên) do suy tim phải và tăng thể tích tuần hoàn. (Hình C) Sóng mạch đập mạnh ở bên trong tĩnh mạch gan giữa.
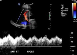
Sóng mạch đập nhẹ ở tĩnh mạch có thể gặp trong các trường hợp biến đổi bình thường, đặc biệt ở những người trẻ tuổi và gầy (Hình 6).

Hình 6. Dòng chảy bình thường, đập nhẹ ở tĩnh mạch cửa bệnh nhân nữ 35 tuổi đau sườn phải.
Đảo ngược dòng chảy trong tĩnh mạch cửa và các nhánh của nó
Đảo ngược dòng chảy ở thân chính tĩnh mạch cửa thường quan sát thấy ở các bệnh nhân xơ gan tiến triển nặng và tăng áp lực tĩnh mạch cửa. Tuy nhiên, đảo ngược dòng chảy ở ngành phải hoặc trái là mong đợi trong trường hợp nối tắt cửa-chủ trong gan theo đường tĩnh mạch cảnh (TIPS) hoạt động bình thường.
Nguyên nhân hiếm gặp của đảo ngược dòng chảy trong hệ tĩnh mạch cửa là rò động-tĩnh mạch [14]. Các dị dạng động-tĩnh mạch bẩm sinh rất hiếm và phần lớn các rò động tĩnh mạch là do can thiệp (tai biến của sinh thiết gan) hoặc chấn thương. Đôi khi rò kết hợp với tổn thương khu trú [14]. Trên siêu âm, nhánh tĩnh mạch cửa có dòng đảo chiều, trong khi đó động mạch gan có dòng chảy rối với tốc độ tâm trương tăng và RI thấp (Hình 7) [15]. Thông thường, RI của động mạch bị rò thường giảm 30% đến 40% so với động mạch ở các thùy bình thường [15].
Rò tĩnh mạch cửa vào tĩnh mạch gan còn hiếm xảy ra hơn và thường do thủ thuật hoặc kết hợp với xơ gan.

Hình 7. Rò động-tĩnh mạch ở bệnh nhân nam 26 tuổi bị viêm gan C, trước khi siêu âm vài tháng đã sinh thiết. (Hình A) Ảnh siêu âm màu và duplex Doppler phát hiện ngành trái tĩnh mạch cửa có dòng chảy đảo chiều. Lưu ý có chảy rối và có khảm màu khu trú (mũi tên). (Hình B) Động mạch gan trái có dòng chảy rối, tốc độ tâm trương tăng so với động mạch gan chính. Cũng lưu ý ổ khảm màu. (Hình C) Ảnh duplex Doppler và màu của thân tĩnh mạch cửa và động mạch gan cho thấy dòng chảy đẩo chiều ở tĩnh mạch và dòng chảy bình thường ở động mạch.
Khí trong tĩnh mạch cửa
Trước đây, xuất hiện khí trong hệ tĩnh mạch cửa được xem là một dấu hiệu cảnh báo của tình trạng đe dọa tính mạng, như thiếu máu mạc treo ở người già và viêm ruột hoại tử ở trẻ em. Ngày nay, người ta nhận thấy rằng khí trong tĩnh mạch cửa có thể là dấu hiệu tình cờ ở bệnh nhân không có triệu chứng, đặc biệt ở các trường hợp chấn thương bụng kín, ghép gan, hoặc liệt ruột sau mổ [16-19].
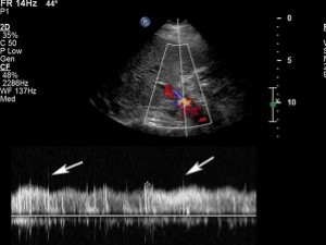
Siêu âm là phương tiện chẩn đoán hình ảnh nhậy để phát hiện khí trong tĩnh mạch cửa. Trên siêu âm thang xám, khí trong tĩnh mạch cửa biểu hiện là các chấm âm sáng, nhỏ chuyển động nhanh trong các nhánh tĩnh mạch (Hình 8). Trên siêu âm Doppler, các nhiễu ảnh tần số cao, giống như gai chồng vào sóng tĩnh mạch cửa là dấu hệu đặc trưng của khí trong tĩnh mạch (Hình 9) [16].

Hình 8. Khí trong tĩnh mạch cửa phát hiện tình cờ ở một phụ nữ 49 tuổi có tiền sử suy thận và HIV. Ảnh siêu âm thang xám cho thấy nhiều chấm tăng âm trong thân tĩnh mạch cửa (mũi tên) và các nhánh tĩnh mạch cửa. Các chấm tăng âm di động trong tĩnh mạch cửa có thể quan sát được bằng siêu âm thời gian thực. Khí trong tĩnh mạch cửa đã được xác định bằng CT (không trình bày).

Hình 9. Khí trong tĩnh mạch cửa ở bệnh nhân nữ 53 tuổi sau ghép gan. Ảnh siêu âm Doppler màu gan ghép cho thấy các nhiễu ảnh tần số cao, giống như gai (mũi tên) chồng lên sóng tĩnh mạch cửa.
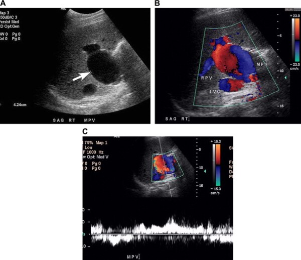
Dấu hiệu “âm – dương” của phình tĩnh mạch cửa
Phình tĩnh mạch cửa là một bất thường hiếm gặp, biểu hiện phình hình thoi hoặc hình túi với đường kính trên 2 cm, thường ở đoạn ngoài gan [20,21]. Phình tĩnh mạch cửa thường được phát hiện tình cờ. Vị trí thường xảy ra nhất là hội lưu tĩnh mạch cửa-tĩnh mạch mạc treo tràng trên và thân tĩnh mạch cửa trong rốn gan, phình ở chỗ chia ngành phải và trái ít xảy ra hơn [22]. Phình có thể là bẩm sinh, mắc phải trong tăng áp lực tĩnh mạch cửa, chấn thương, hoặc ghép gan.
Biểu hiện siêu âm của phình tĩnh mạch cửa bao gồm giãn tĩnh mạch khu trú hoặc khối dạng nang liên quan với tĩnh mạch. Trên siêu âm Doppler màu, phình tĩnh mạch biểu hiện dòng chảy rối hoặc hai chiều (Hình 10) [21].

Hình 10. Phình tĩnh mạch cửa ở bệnh nhân nam 22 tuổi đã được ghép gan 11 năm trước đây. (Hình A) Ảnh siêu âm thang xám phát hiện giãn khu trú thân tĩnh mạch cửa, đường kính chỗ lớn nhất 4 cm. (Hình B) Ảnh siêu âm Doppler màu cho thấy dòng chảy hai chiều bên trong chỗ phình mạch. Lưu ý ngành phải tĩnh mạch cửa có dòng chảy vào gan. (Hình C) Phổ tĩnh mạch trong túi phình. Túi phình đã ổn định và bệnh nhân được điều trị bảo tồn.
3. Các bệnh lý liên quan đến mạch máu gan
Xơ gan và tăng áp lực tĩnh mạch cửa
Tăng áp lực tĩnh mạch cửa là tình trạng tăng áp lực tĩnh mạch lớn hơn 10 mm Hg [2,3]. Về mặt sinh lý bệnh, tăng áp lực tĩnh mạch cửa được chia thành dạng ngoài gan mà nguyên nhân phổ biến nhất là huyết khối tĩnh mạch, và dạng trong gan. Tăng áp lực tĩnh mạch cửa chủ yếu do xơ hóa các xoang gan, nguyên nhân thứ phát của xơ gan và viêm gan mạn tính do virút và rượu [2]. Huyết khối các tĩnh mạch gan hoặc suy tim phải cũng có thể gây xơ hóa trung tâm tiểu thùy và tăng áp lực tĩnh mạch cửa.
Bệnh nhân xơ gan thường trải qua nhiều đợt khám siêu âm để đánh giá các bất thường chức năng gan, đánh giá hệ mạch gan, phát hiện các dấu hiệu của tăng áp lực tĩnh mạch cửa, và sàng lọc ung thư biểu mô tế bào gan. Biểu hiện siêu âm của xơ gan tiến triển gồm có gan teo lại, bờ gan mấp mô dạng nốt, dòng chảy trong tĩnh mạch cửa chậm, và động mạch gan giãn hình xoắn ruột gà (Hình 11) [2].
Bàng hệ cửa-chủ
Biểu hiện siêu âm của tăng áp lực tĩnh mạch cửa gồm có lách to, đường kính tĩnh mạch cửa tăng, và nhìn thấy rõ các mạch máu bàng hệ cửa-chủ khi sức cản dòng máu trong hệ tĩnh mạch cửa vượt quá sức cản trong các tĩnh mạch nhỏ nối tuần hoàn cửa và chủ [1]. Các nối tắt cửa-chủ tự phát được báo cáo là phát hiện thấy ở khoảng 38% các bệnh nhân xơ gan [4]. Các tĩnh mạch giãn đó làm chệch hướng dòng máu từ gan chảy vào tuần hoàn hệ thống và gây các biến chứng lớn như xuất huyết dạ dày ruột và bệnh não do gan. Mặc dù các tĩnh mạch cửa-chủ giãn được chứng minh tốt bằng chụp cắt lớp vi tính và cộng hưởng từ tiêm thuốc đối quang, siêu âm cũng có thể xác định nhiều vị trí giãn tĩnh mạch cửa-chủ, gồm có chỗ nối thực quản-dạ dày, tĩnh mạch bàng hệ cạnh rốn, các nối tắt lách-thận và dạ dày-thận, các tĩnh mạch giãn quanh ống mật chủ và các tĩnh mạch túi mật giãn trong thành túi mật, các tĩnh mạch trực tràng [1].

Hình 11. Xơ gan có tràn dịch ổ bụng ở bệnh nhân nam 50 tuổi có tiền sử viêm gan C. (Hình A) Ảnh thang xám cho thấy gan teo, bề mặt có nhiều nốt và nhiều dịch bao quanh. (Hình B) Ảnh Doppler và màu tĩnh mạch cửa cho thấy tốc độ dòng chảy tối đa 10 cm/s. (Hình C) Động mạch gan giãn và hình xoắn ruột gà xảy ra khi dòng chảy tăng để bù cho tĩnh mạch cửa.
Giãn các tĩnh mạch dạ dày-thực quản
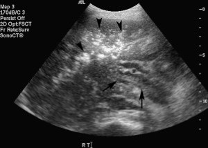
Các tĩnh mạch bàng hệ chỗ nối dạ dày-thực quản phát triển từ các nhánh nối giữa tĩnh mạch vành và tĩnh mạch vị ngắn dẫn lưu vào các tĩnh mạch cạnh thực quản và hệ thống của thực quản, rồi đến lượt các tĩnh mạch này dẫn lưu vào hệ tĩnh mạch đơn và bán đơn [1]. Xác định các tĩnh mạch bàng hệ dạ dày-thực quản là quan trọng, bởi vì chúng là nguồn xuất huyết tiềm tàng đe dọa tính mạng khi vỡ. Các tĩnh mạch đó bị giãn, ngoằn ngoèo được nhìn rõ ở vùng dưới niêm mạc đáy vị và chỗ nối dạ dày-thực quản trên các ảnh cắt đứng dọc qua thùy trái gan hoặc giữa bờ cong lớn dạ dày và lách (Hình 12) [2]. Siêu âm Doppler phổ và màu dòng chảy tĩnh mạch cửa bên trong các tĩnh mạch đó xác định chẩn đoán.

Hình 12. Giãn các tĩnh mạch gan-dạ dày ở bệnh nhân nữ 20 tuổi có tiền sử tăng áp lực tĩnh mạch cửa trong bệnh cảnh viêm đường mật xơ cứng kết hợp với viêm loét đại tràng. (Hình A) Ảnh siêu âm thang xám cho thấy các cấu trúc hình ống, trống âm ở phía sau thùy trái gan tại vị trí nối tĩnh mạch dạ dày – thực quản (mũi tên). (Hình B) Ảnh siêu âm màu cho thấy các cấu trúc đó là các tĩnh mạch giãn ngoằn ngoèo.
Tĩnh mạch cạnh rốn thông (Patent paraumbilical vein)
Tĩnh mạch cạnh rốn (tái thông) là một mạch máu bàng hệ cửa-chủ phổ biến, dễ phát hiện bằng siêu âm trong bệnh cảnh tăng áp lực tĩnh mạch cửa, đặc biệt trong các trường hợp xơ gan do rượu [5]. Tĩnh mạch này đi theo dây chằng tròn trong dây chằng liềm khi nó mang máu từ ngành trái tĩnh mạch cửa tới các tĩnh mạch thượng vị sâu và nông ở thành bụng [1]. Người ta cho rằng tĩnh mạch cạnh rốn thông có thể bảo vệ bệnh nhân khỏi xuất huyết nặng do giãn vỡ các tĩnh mạch thực quản.
Trên siêu âm, tĩnh mạch cạnh rốn có dạng cấu trúc hình ống, trống âm, đường kính ít nhất 3mm, chạy ra trước và xuống dưới từ ngành trái tĩnh mạch cửa hướng tới thành bụng trước. Siêu âm Doppler màu chứng minh phổ dòng chảy tĩnh mạch kiểu một pha [1]. Các tĩnh mạch thành bụng trước giãn ngoằn ngoèo, “hình đầu sứa”, cũng có thể nhìn thấy rõ ở mô dưới da vùng quanh rốn, nhất là khi dùng đầu dò thẳng (Hình 13).

Hình 13. Tĩnh mạch cạnh rốn thông ở bệnh nhân nữ 51 tuổi có tiền sử xơ gan do nghiện rượu. (Hình A) Ảnh siêu âm màu cắt đứng dọc qua thùy trái gan cho thấy một tĩnh mạch to, chạy từ ngành trái tĩnh mạch cửa (đầu mũi tên) đến thành bụng trước (mũi tên). (Hình B) Ảnh siêu âm Doppler màu cắt dọc tĩnh mạch ngoằn ngoèo ở thành bụng trước chạy tới rốn. (Hình C) Ảnh siêu âm Doppler trình bày sóng tĩnh mạch trong mạch máu thăm dò, khẳng định chẩn đoán tĩnh mạch cạnh rốn tái thông.
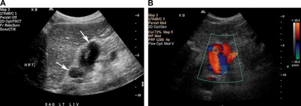
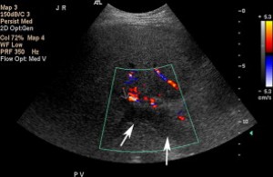
Giãn tĩnh mạch lách-thận
Các nối tắt tĩnh mạch lách-thận và dạ dày-thận có thể nhìn thấy bằng siêu âm dưới dạng các tĩnh mạch ngoằn ngoèo nằm bên trong rốn lách và hố thận, nhìn rõ qua mạn sườn trái dùng lách làm của sổ âm [2]. Các tĩnh mạch nối tắt từ dạ dày hoặc lách giãn to, đổ vào tĩnh mạch thận trái (Hình 14).

Hình 14. Giãn tĩnh mạch lách – thận ở sản phụ 23 tuổi có tiền sử u carcinoid ruột thừa. Bệnh nhân có tiền sử huyết khối tĩnh mạch cửa sau khi phát triển di căn gan. (Hình A) Ảnh thang xám cắt ngang vùng tuỵ phát hiện các mạch máu ngoằn ngoèo (các mũi tên) gần đuôi tuỵ (đầu mũi tên). (Hình B) Ảnh siêu âm màu vùng đuôi tụy cho thấy các tĩnh mạch giãn ngoằn ngoèo các (mũi tên). (Hình C) Nhiều mạch máu giãn ở vùng rốn lách (gọi là búi tĩnh mạch, varices). (Hình D) Tĩnh mạch nối tắt giữa lách (S) và thận trái (LK) có phổ tĩnh mạch cửa.
Các bàng hệ cửa-chủ khác
Các mạch máu cửa-chủ của ruột đổi hướng dòng máu từ các tĩnh mạch mạc treo tràng trên và tĩnh mạch mạc treo tràng dưới vào tĩnh mạhc chủ dưới, hiếm khi phát hiện được chúng bằng siêu âm do vị trí ở sau phúc mạc [1]. Các tĩnh mạch trực tràng và quanh trực tràng giãn, dẫn máu từ tĩnh mạch trĩ trên tới đám rối tĩnh mạch trĩ, đôi khi có thể thấy rõ khi siêu âm đường trực tràng.
Đảo chiều dòng chảy tĩnh mạch cửa
Đảo chiều dòng chảy trong tĩnh mạch cửa và các nhánh của nó, từ dòng chảy về gan sang dòng chảy ngược, là một dấu hiệu đặc trưng của tăng áp lực tĩnh mạch cửa và thường xuất hiện ở các bệnh nhân có bệnh gan tiến triển. Một manh mối để chẩn đoán đảo ngược dòng chảy này là dấu hiệu xác định ở rốn gan, động mạch gan và tĩnh mạch cửa có dòng chảy ngược chiều nhau (Hình 15) (xơ gan, Child-Pugh độ C) [4].

Hình 15. Đảo chiều dòng chảy trong tĩnh mạch cửa ở bệnh nhân nam 45 tuổi có tiền sử tăng áp lực tĩnh mạch cửa do xơ gan, nghiện rượu. (Hình A) Ảnh siêu âm màu chứng minh dòng chảy bên trong tĩnh mạch cửa chảy đi xa đầu dò (màu xanh)(mũi tên). Lưu ý dòng chảy hướng tới đầu dò ở động mạch gan (đầu mũi tên). (Hình B) Ảnh Doppler xác định đảo ngược dòng chảy khi thấy sóng nằm bên dưới đường cơ bản của thang Doppler.
Huyết khối tĩnh mạch cửa
Nguyên nhân huyết khối tĩnh mạch cửa
Có rất nhiều các bệnh lý lành tính, ác tính trong ổ bụng và cơ thể liên đới tới huyết khối tĩnh mạch cửa. Các nguyên nhân huyết khối đơn thuần bao gồm các tình trạng tăng đông (liên quan đến sử dụng thuốc tránh thai đường uống, thiếu hụt protein C, chứng tăng hồng cầu vô căn, hội chứng kháng phospholipid), dòng chảy chậm do xơ gan và tăng áp lực tĩnh mạch cửa, nhiễm khuẩn trong ổ bụng do viêm ruột thừa nặng, viêm túi thừa, viêm tụy, hoặc bệnh viêm ruột, cắt lách và chấn thương [1,6]. Mất nước, viêm rốn, và thông tĩnh mạch rốn là các yếu tố nguy cơ huyết khối tĩnh mạch cửa ở trẻ nhỏ. Ung thư biểu mô tế bào gan xâm lấn trực tiếp tĩnh mạch cửa là nguyên nhân huyết khối ác tính phổ biến nhất. Ung thư biểu mô đường mật vùng rốn gan (u Klatskin) thường bao bọc tĩnh mạch cửa, nhưng ít gây huyết khối ác tính.
Hình ảnh siêu âm
Hình ảnh siêu âm thang xám của huyết khối trong tĩnh mạch cửa là tổ chức sinh âm gây giãn lòng tĩnh mạch. Đôi khi cục máu có thể giảm âm hoặc trống âm và lòng mạch có khẩu kính bình thường, đặc biệt trong trường hợp huyết khối cấp tính, đơn thuần [6]. Do đó, siêu âm Doppler màu hoặc năng lượng có giá trị, bởi vì nó có thể chứng minh dòng chảy bao quanh cục máu, hoặc không có dòng chảy bên trong lòng mạch trong trường hợp tắc hoàn toàn [6]. Nên chỉnh tối ưu các thông số Doppler để phát hiện dòng chảy chậm (Hình 16).

Hình 16. Huyết khối tĩnh mạch cửa ở bệnh nhân nữ 59 tuổi, có tiền sử tăng hồng cầu vô căn, xuất hiện đau bụng và đau ngực. Ảnh siêu âm màu ở rốn gan phát hiện tổ chức giảm âm lấp đầy lòng tĩnh mạch cửa, không có dòng chảy trong lòng mạch (mũi tên) do huyết khối. Lưu ý rằng các thông số đã chỉnh tối ưu để ghi ảnh dòng chảy thấp: lọc thành (WF) thấp, ưu thế màu (color priority) ở mức 72%, thang màu 5,3 cm/s.
Đối với các bệnh nhân xơ gan hoặc nghi ngờ có u gan ác tính, việc phân biệt giữa huyết khối đơn thuần và huyết khối ác tính là bắt buộc. Chứng minh dòng chảy lìa gan có nhịp động mạch bên trong huyết khối của tĩnh mạch cửa có độ nhậy vừa phải (62%) nhưng độ đặc hiệu cao (95%) trong chẩn đoán huyết khối ác tính tĩnh mạch cửa (Hình 17) [7,8]. Phân biệt huyết khối lành tính với huyết khối ác tính là chủ chốt để tiên lượng bệnh và chọn bệnh nhân cho phẫu thuật. Nếu cần thiết, người ta có thể chọc hút kim nhỏ huyết khối tĩnh mạch cửa dưới hướng dẫn siêu âm để thiết lập chẩn đoán [9].

Hình 17. Huyết khối ác tính tĩnh mạch cửa ở bệnh nhân nam 72 tuổi có tiền sử ung thư biểu mô tế bào gan. Chọc hút kim nhỏ huyết khối tĩnh mạch cửa xác định huyết khối là ung thư biểu mô tế bào gan. (Hình A) Ảnh siêu âm thang xám ở rốn gan phát hiện tổ chức giảm âm lấp đầy và gây giãn lòng tĩnh mạch cửa và các nhánh của nó (các mũi tên). (Hình B) Ảnh siêu âm Doppler và màu chứng minh tình trạng có mạch máu bên trong huyết khối. Dạng sóng động mạch sức cản thấp gợi ý huyết khối ác tính do u. (Hình C) Ảnh cộng hưởng từ tiêm thuốc đối quang, thì động mạch cho thấy ngấm thuốc ngoằn ngoèo ở trong huyết khối tĩnh majhc (mũi tên), cho phép xác định huyết khối ác tính. Lưu ý động mạch gan (đầu mũi tên) ngấm thuốc mạnh, hiện rõ.
Các bẫy tiềm tàng
Nên tránh một vài bẫy tiềm tàng trong chẩn đoán huyết khối tĩnh mạch cửa. Một nguyên nhân quan trọng trong chẩn đoán dương tính giả thường xảy ra ở các bệnh nhân xơ gan là dòng chảy rất chậm trong tĩnh mạch cửa: tốc độ dòng chảy tĩnh mạch cửa có thể thấp hơn ngưỡng phát hiện đối với Doppler màu hoặc thậm chí Doppler năng lượng. Ở các bệnh nhân đó, cần thêm các phương pháp chẩn đoán hình ảnh tiêm thuốc đối quang như cắt lớp vi tính hoặc cộng hưởng từ để xác định hoặc loại trừ chẩn đoán huyết khối tĩnh mạch cửa (Hình 18).
Tiếp theo là hai bẫy diễn giải hay kỹ thuật nên tránh để không bỏ sót cục máu đông trong tĩnh mạch cửa. Nên ghi ảnh tĩnh mạch cửa bằng cả siêu âm thang xám và siêu âm màu để phát hiện các cục huyết khối nhỏ, bởi vì siêu âm Doppler màu có thể tràn màu qua và che khuất cục huyết khối (Hình 19). Một nguyên nhân khác gây chẩn đoán âm tính giả là nhầm tĩnh mạch bàng hệ ở rửa gan với tĩnh mạch cửa.

Hình 18. Chẩn đoán nhầm huyết khối tĩnh mạch cửa ở bệnh nhân nữ 55 tuổi có tiền sử xơ gan do xơ đường mật nguyên phát. Ảnh Doppler năng lượng cho thấy không có dòng chảy bên trong tĩnh mạch cửa (các mũi tên). Lưu ý dòng chảy trong động mạch gan (đầu mũi tên). Gan bị teo và có dịch ổ bụng. Chụp mạch máu bằng cộng hưởng từ thấy tĩnh mạch cửa thông. Không thấy dòng chảy tĩnh mạch của trên siêu âm có lẽ do dòng chảy rất chậm.

Hình 19. Huyết khối (bán phần) không gây tắc của tĩnh mạch cửa bị che khuất trên siêu âm màu ở bệnh nhân nữ 69 tuổi có tiền sử viêm đường mật sau đặt stent đường mật. (Hình A) Ảnh thang xám của tĩnh mạch cửa cho thấy huyết khối bán phần trong lòng mạch (mũi tên). (Hình B) Ảnh siêu âm màu cho thấy dòng chảy màu đầy lòng mạch và che cục huyết khối.
Xoang tĩnh mạch cửa (Cavernous transformation of the portal vein)
Sự hình thành xoang tĩnh mạch cửa do tắc tĩnh mạch cửa đã tồn tại từ lâu. Xoang tĩnh mạch cửa là một nguyên nhân quan trọng của tăng áp lực tĩnh mạch cửa ngoài gan ở trẻ em phát triển huyết khối tĩnh mạch cửa do nhiễm khuẩn dây rốn có mất nước và nhiễm trùng toàn thân
Trên siêu âm, nhiều kênh tĩnh mạch bàng hệ ngoằn ngoèo hoặc hình giun bên trong cửa gan, các mạch máu đó có phổ tĩnh mạch cửa (Hình 20). Dòng chảy bên trong các mạch máu đó hướng đến gan, tạo thành đường thay thế từ các tĩnh mạch tạng tới các tĩnh mạch cửa trong gan bao quanh tĩnh mạch cửa bị tắc [10].

Hình 20. Xoang tĩnh mạch cửa ở bệnh nhân nữ 56 tuổi có tiền sử lâu dài của viêm tụy mạn tính và tắc tiểu tràng nhiều đợt. (Hình A) Ảnh siêu âm thang xám phát hiện nhiều cấu trúc trống âm, hình ống, nhỏ tại vị trí tĩnh mạch cửa (các mũi tên). (Hình B) Ảnh siêu âm Doppler màu cho thấy các cấu trúc đó là các mạch máu nhỏ, có sóng tĩnh mạch cửa. (Hình C) Thăm dò Doppler cho thấy các mạch máu đó có sóng tĩnh mạch.
Huyết khối tĩnh mạch gan và hội chứng Budd-Chiari
Hội chứng Budd-Chiari
Hội chứng Budd-Chiari là một rối loạn hiếm thấy do tắc tĩnh mạch gan. Tam chứng lâm sàng cổ điển bao gồm tràn dịch ổ bụng, đau bụng, gan to. Hội chứng thường xảy ra ở phụ nữ trẻ, và sự xuất hiện có nhiều cách từ hội chứng cấp tính đột ngột vàng da và gan to tới các dạng bán cấp và mạn tính dần dần dẫn đến xơ gan [23].
Khoảng 75% các trương hợp Budd-Chiari ở Mỹ là do các tình trạng tăng đông máu, bao gồm chứng tăng hồng cầu vô căn hoặc các rối loạn tăng sinh tủy khác và hemoglobin niệu ban đêm. Các nguyên nhân khác bao gồm tình trạng hậu sản hoặc sử dụng thuốc tránh thai đường uống, viêm mạch máu, và bệnh ác tính. Hẹp và các màng ngăn ở tĩnh mạch chủ dưới chiếm khoảng 50% các trường hợp đối với các bệnh nhân Châu Á. Nguyên nhân không biết ở 1/3 các bệnh nhân [3,23].
Tắc tĩnh mạch hoặc tiểu tĩnh mạch trung tâm tiểu thùy, được phần lớn các chuyên gia coi là một thực thể riêng biệt. Bệnh biểu hiện là xơ hóa ngoài khoảng cửa gây tắc các tĩnh mạch trung tâm tiểu thùy và đầu tiên phát hiện ở những người bị tắc tĩnh mạch do alkaloid trong chè. Ngày nay, phần lớn nguyên nhân gây tắc tĩnh mạch trung tâm tiểu thùy được phát hiện là nhiễm độc hóa chất trị liệu và xạ trị để ghép tủy xương [3].
Hình ảnh siêu âm của hội chứng Budd-Chiari
Nên nghĩ tới hội chứng Budd-Chiari khi siêu âm thang xám không nhìn thấy các tĩnh mạch gan. Các dấu hiệu thêm vào gồm có thành tĩnh mạch gan dày, khẩu kính các tĩnh mạch không đều, và tĩnh mạch bàng hệ ngoằn ngoèo. Bệnh nhân hhường kèm theo gan to và tràn dịch ổ bụng. Phì đại chủ yếu ở thùy đuôi là đặc trưng và thường xảy ra do dẫn lưu tĩnh mạch của nó biệt lập đổ vào tĩnh mạch chủ dưới (bên dưới hội lưu tĩnh mạch gan).
Siêu âm Doppler phổ và màu chứng minh không có dòng chảy, dòng chảy giảm tốc độ, đảo ngược dòng chảy hoặc dòng chảy rối với tốc độ tăng cao trong các tĩnh mạch gan [23]. Khi có dòng chảy trong các tĩnh mạch gan và tĩnh chủ dưới, thì hình dạng sóng từ ba pha chuyển thành dạng phẳng giống như tĩnh mạch cửa –“tín hiệu Doppler giả tĩnh mạch cửa”, phản ánh bán tắc xuôi dòng [1,25]. Tuy nhiên kiểu sóng này không đặc hiệu, và có thể gặp trong các tình trạng bệnh lý gây tăng áp lực trong nhu gan, như thâm nhiễm mỡ, viêm gan cấp, và xơ gan [25].
Khoảng 50% các bệnh nhân Budd-Chiari phát hiện tĩnh mạch thùy đuôi to với đường kính trên 3 mm, và dấu hiệu này được coi là đặc trưng khi không có suy tim (Hình 21) [25]. Tĩnh mạch này giãn là do thùy đuôi là thùy duy nhất trong gan dẫn lưu trực tiếp vào tĩnh mạch chủ dưới, và nó còn làm cầu nối tắt nhận máu của các nhánh bàng hệ trong nhu mô gan còn lại nên dẫn tới phì đại thùy đuôi và tĩnh mạch thùy đuôi [25].

Hình 21. Hội chứng Budd-Chiari ở bệnh nhân nam 30 tuổi có tiền sử hemoglobin niệu kịch phát về đêm và xuất hiện sưng phồng ổ bụng. (Hình A) Siêu âm màu phát hiện hẹp tĩnh mạch gan giữa với aliasing mầu gân chỗ nối của nó với tĩnh mạch chủ dưới (mũi tên). (Hình B) Ảnh siêu âm màu và Doppler cho thấy tĩnh mạch gan giữa thông, nhưng tốc độ dòng chảy tăng cao. (Hình C) Ảnh siêu âm màu cho thấy tĩnh mạch thùy đuôi to (mũi tên) tĩnh mạch của nó dẫn lưu trực tiếp vào tĩnh mạch chủ dưới. Hình ảnh cộng hưởng từ và sinh thiết gan xác định hội chứng Budd-Chiari.
Chứng minh các nhánh bàng hệ tĩnh mạch-tĩnh mạch trong gan là dấu hiệu đặc trưng của hội chứng Budd-Chiari và có thể bao gồm các tĩnh mạch dưới bao gan, các mạch máu nối tắt giữa các tĩnh mạch gan, các nhánh bàng hệ tĩnh mạch-tĩnh mạch dẫn lưu trực tiếp vào tĩnh mạch chủ dưới, và các nhánh bàng hệ hình mạng nhện cổ điển (Hình 22) [23,25]. Sự phát triển của các nhánh bàng hệ cửa-chủ tự phát cũng có thể xảy ra và trong một số trường hợp có thể tránh phải làm thủ thuật nối tắt cửa-chủ trong gan theo đường tĩnh mạch cảnh (TIPS) [25].
Bên cạnh các thay đổi ở hệ thống tĩnh mạch gan và tĩnh mạch chủ dưới, tắc tính mạch gan kèm theo huyết khối do tình trang tăng đông máu hoặc dòng chảy lìa gan trong tĩnh mạch cửa (10% đến 20% các bệnh nhân) trong tăng áp lực tĩnh mạch cửa nặng [26].

Hình 22. Hội chứng Budd-Chiari ở bệnh nhân nữ 36 tuổi có tiền sử tăng hồng cầu vô căn và biểu hiện sưng, đau bụng. Trước đó bệnh nhân đã được đặt TIPS nhưng đã tắc. (Hình A) Ảnh thang xám cho thấy phì đại thùy đuôi (mũi tên) với nhiều cấu trúc ống, trống âm, ngoằn ngoèo trong gan. (Hình B) Nhiều cấu trúc ống trống âm trong gan. (Hình C) Ảnh Doppler màu xác định dòng chảy tĩnh mạch trong các tĩnh mạch bàng hệ đó.
4. Đánh giá shunt cửa-chủ trong gan sau đặt stent qua đường tĩnh mạch cảnh
TIPS (Transjugular Intrahepatic Portosystemic Shunts) được sử dụng chủ yếu trong quản lý tăng áp lực tĩnh mạch cửa nặng và các biến chứng của nó, đặc biệt là xuất huyết không kiểm soát được do giãn tĩnh mạch dạ dày-thực quản và cổ chướng khó chữa. Chỉ định đặt TIPS khác là hội chứng Budd-Chiari và tắc tĩnh mạch (tắc tiểu tĩnh mạch trung tâm tiểu thùy gan). Stent được đưa qua tĩnh mạch cảnh, tạo ra một đường nối giữa hệ cửa và hệ chủ, thường là giữa nhánh tĩnh mạch cửa phải và tĩnh mạch gan phải. Mục tiêu của đặt TIPS là làm giảm chênh áp lực của-chủ xuống dưới 12 mm Hg [62].
Tỷ lệ phát sinh rối loạn chức năng TIPS là cao, từ 23% đến 78% sau 1 năm. Siêu âm trong vòng 24 giờ sau đặt TIPS rất có ích để làm bằng chứng tình trạng thông giữa hệ cửa – chủ và ghi tốc độ dòng chảy cơ bản.
Kỹ thuật siêu âm
Siêu âm TIPS có thể gặp khó khăn do gan xơ thường teo nhỏ nên stent nằm sâu trong gan. Siêu âm bằng đầu dò tần số thấp, thường dùng đầu dò dẻ quạt 2,5MHz, qua ngả liên sườn phải là tốt nhất. Khi đo tốc độ dòng chảy trong TIPS chú ý điều chỉnh đúng góc Doppler. Tốc độ dòng chảy điển hình được đo ở thân tĩnh mạch cửa tại cửa gan, các tốc độ ở vị trí gần, giữa, và đầu xa (hoặc đoạn cuối tĩnh mạch gan) của TIPS.
Dấu hiệu siêu âm bình thường
Stent của TIPS xuất hiện trong siêu âm dưới dạng hai đường thẳng tăng âm song song có đường kính bên trong từ 8 đến 9mm. Dòng chảy bình thường có hướng từ tĩnh mạch cửa đến tĩnh mạch gan và dòng chảy phủ kín lòng stent. Đánh giá đầy đủ chức năng của TIPS gồm có các số đo tốc độ được chỉnh góc ở vị trí đầu gần, đoạn giữa và đầu xa của stent, tốc độ ở thân tĩnh mạch cửa, hướng dòng chảy của nhánh tría và nhánh phải tĩnh mạch cửa.
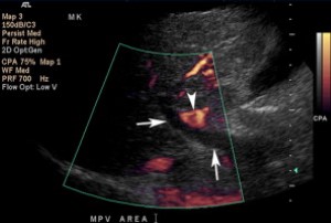
Tốc độ dòng chảy trong TIPS khi đo bằng Doppler phổ có thể biến đổi đáng kể với tốc độ trung bình trong các shunt thông là 95 cm/s ở đoạn cuối tĩnh mạch cửa và 120 cm/s ở đoạn giữa shunt [2]. Hướng dòng chảy trong thân tĩnh mạch cửa chảy về gan, tốc độ tĩnh mạch cửa tăng nhẹ trên 40 cm/s [2, 62]. Dòng chảy ở nhánh tĩnh mạch cửa phải và trái điển hình rời gan hướng tới TIPS, mặc dù việc này có thể biến đổi phụ thuộc vào mức độ xơ gan (Hình 23)[63].

Hình 23. TIPS thông bình thường ở bệnh nhân nam 42 tuổi có tiền sử xuất huyết dạ dày ruột vì giãn tĩnh mạch xơ gan do viêm gan C và nghiện rượu. (A) Ảnh thang xám cho thấy TIPS với 2 thành tăng âm của stent, không có dấu hiệu huyết khối trong lòng (mũi tên). (B) Ảnh siêu âm Doppler màu cho thấy dòng chảy có nhịp đập trong TIPS thông bình thường, tốc độ đỉnh 114 cm/s. Tốc độ này trong khoảng kỳ vọng bình thường 90 tới 120 cm/s. (C) Ảnh Doppler nhánh tĩnh mạch cửa trái cho thấy dòng chảy rời gan và hướng tới stent. Dấu hiệu này khẳng định TIPS có chức năng bình thường.
Rối loạn chức năng TIPS
Các biến chứng của TIPS gồm có huyết khối, hẹp lan tỏa do tăng sản giả nội mạc, và hẹp khu trú, thường ở đoạn cuối tĩnh mạch gan [2].
Huyết khối stent thường chẩn đoán dễ dàng nếu hoàn toàn không có dòng chảy bên trong TIPS trên siêu âm màu hoặc năng lượng và Doppler phổ (Hình 24). Một bẫy tiềm tàng cần biết là khi thang Doppler đặt rất thấp có thể dẫn tới chản đoán dương tính giả huyết khối [27].

Hình 24. Hẹp đầu xa của TIPS ở bệnh nhân nữ 56 tuổi. (A) Ảnh siêu âm màu và Doppler cho thấy tốc độ tăng cao rõ rệt 376 cm/s ở đầu xa của TIPS. (B) Ở phần tĩnh mạch cửa (đầu gần) của TIPS. Tốc độ chỉ có 49 cm/s; sự chênh lệch tốc độ này chỉ ra sự chênh áp lớn trong shunt. (C) Dòng chảy tronhf tĩnh mạch cửa trái màu đỏ, chảy về gan, và rời xa TIPS khẳng định rối loạn shunt.
Những tiêu chuẩn đã mô tả trong y văn về chẩn đoán hẹp TIPS không được chấp nhận như nhau. Các nhóm tác giả khác nhau sử dụng các ngưỡng khác nhau với tốc độ trong stent khi đánh giá rối loạn chức năng. Tốc độ trong stent của TIPS thấp hơn 50 cm/s (khoảng giới bình thường từ 50 tới 90 cm/s) đã được coi là hẹp có ý nghĩa [27,28]. Tốc độ dòng chảy nên được đo ở cuối thì thở ra, bởi vì một nghiên cứu gần đây đã cho thấy rằng tốc độ trong TIPS giảm đến mức xấp xỉ 22 cm/s trong khi hít vào sâu [28].
Nếu có hẹp khu trú, người ta có thể thấy một vùng tăng tốc có chảy rối khu trú tại vị trí hẹp (xem Hình 24). Giới hạn trên của khoảng bình thường là từ 185 đến 220 cm/s, Middleton và cộng sự đã gợi ý ngưỡng 190 cm/s là tốc độ đỉnh tối đối với song Doppler xung đã chỉ góc [27].
Rối loạn chức năng của TIPS cũng dẫn tới giảm tốc độ trong thân tĩnh mạch cửa, với Middleton và cộng sự [27] đặt 30 cm/s là ngưỡng thấp của giới hạn bình thường [27]. Dòng chảy về gan ở nhánh tĩnh mạch cửa phải hoặc trái, rời xa TIPS khẳng định chẩn đoán [27].
Kết luận
Siêu âm màu và siêu âm Doppler gan là phương phát đánh giá mạch máu không xâm lấn, không dùng thuốc nội mạch (chất tương phản). Siêu âm Doppler có thể phổ biến rộng nhưng kết quả phụ thuộc nhiều vào người làm. Phương pháp chẩn đoán hình ảnh này cung cấp thông tin giải phẫu và chức năng của hệ mạch gan bình thường và bệnh lý, tính chất u gan trong chẩn đoán, theo dõi và đánh giá điều trị.
Ghi chú:
– Trong thuật ngữ siêu âm Doppler gan, phasic có nghĩa cycle nên tạm dịch là vòng.
– pulsatility tạm dịch là sóng phổ đập
Dịch và tham khảo
- Killi RM. Doppler sonography of the native liver. Eur J Radiol 1999;32(1):21–35.
- Martinez-Noguera A, Montserrat E, Torrubia S, et al. Doppler in hepatic cirrhosis and chronic hepatitis. Semin Ultrasound CT MR 2002; 23(1):19–36.
- Okuda K. Non-cirrhotic portal hypertension versus idiopathic portal hypertension. J Gastroenterol Hepatol 2002;17:S204–13.
- Von Herbay A, Frieling T, Haussinger D. Color Doppler sonographic evaluation of spontaneous portosystemic shunts and inversion of portal venous flow in patients with cirrhosis. J Clin Ultrasound 2000;28(7):332–9.
- Chen C-H, Wang J-H, Lu S-N, et al. Comparison of prevalence for paraumbilical vein patency in patients with viral and alcoholic liver cirrhosis. Am J Gastroenterol 2002;97(9):2415–8.
- Tchelepi H, Ralls P, Radin R, et al. Sonography of diffuse liver disease. J Ultrasound Med 2002;21: 1023–32.
- Dodd GD, Memel DS, Baron RL, et al. Portal vein thrombosis in patients with cirrhosis: does sonographic detection of intrathrombus flow allow differentiation of benign and malignant thrombus? AJR Am J Roentgenol 1995;165: 573–7.
- Tanaka K, Numata K, Okazaki H, et al. Diagnosis of portal vein thrombosis in patients with hepatocellular carcinoma: efficacy of color Doppler sonography compared with angiography. AJR Am J Roentgenol 1993;160:1279–83.
- Vilana R, Bru C, Bruix J, et al. Fine-needle aspiration biopsy of portal vein thrombosis: value in detecting malignant thrombosis. AJR Am J Roentgenol 1993;160:1285–7.
- De Gaetano AM, Lafortune M, Patriquin H, et al. Cavernous transformation of the portal vein: patterns of intrahepatic and splanchnic collateral circulation detected with Doppler sonography. AJR Am J Roentgenol 1995;165:1151–5.
- Catalano D, Caruso G, DiFazzio S, et al. Portal vein pulsatility ratio and heart failure. J Clin Ultrasound 1998;26(1):27–31.
- Gallix BP, Taourel P, Dauzat M, et al. Flow pulsatility in the portal venous system: a study of Doppler sonography in healthy adults. AJR Am J Roentgenol 1997;169(1):141–4.
- Gorg C, Riera-Knorrenschild J, Dietrich J. Colour Doppler ultrasound flow patterns in the portal venous system. Br J Radiol 2002;75(899): 919–29.
- Wachsberg RH, Bahramipour P, Sofocleous CT, et al. Hepatofugal flow in the portal venous system: pathophysiology, imaging findings, and diagnostic pitfalls. Radiographics 2002;22:123–40.
- Bolognesi M, Sacerdoti D, Bombonato G, et al. Arterioportal fistulas in patients with liver cirrhosis: usefulness of color Doppler US for screening. Radiology 2000;216:738–43.
- Lafortune M, Trinh BC, Burns PN, et al. Air in the portal vein: sonographic and Doppler manifestations. Radiology 1991;180(3):667–70.
- Brown MA, Hauschildt JP, Casola G, et al. Intravascular gas as an incidental finding at US after blunt abdominal trauma. Radiology 1999; 210(2):405–8.
- Chezmar JL, Nelson RC, Bernardino ME. Portal venous gas after hepatic transplantation: sonographic detection and clinical significance. AJR Am J Roentgenol 1989;153(6):1203–5.
- Chevallier P, Peten E, Souci J, et al. Detection of portal venous gas on sonography, but not on CT. Eur Radiol 2002;12:1175–8.
- Lopez-Machado E, Mallorquin-Jimenez F, Medina-Benitez A, et al. Aneurysms of the portal venous system: ultrasonography and CT findings. Eur J Radiol 1998;26:210–4.
- Ascenti G, Zimbaro G, Mazziotti S, et al. Intrahepatic portal vein aneurysm: three-dimensional power Doppler demonstration in four cases. Abdom Imaging 2001;26:520–3.
- Ohnami Y, Ishida H, Konno K, et al. Portal vein aneurysm: report of six cases and review of the literature. Abdom Imaging 1997;22:281–6.
- Chaubal N, Dighe M, Hanchate V, et al. Sonography in Budd-Chiari syndrome. J Ultrasound Med 2006;25:373–9.
- Menon NKV, Shah V, Kamath P. The Budd-Chiari syndrome. N Engl J Med 2004;350:578–85.
- Bargallo X, Gilabert R, Nicolau C, et al. Sonography in Budd-Chiari syndrome. AJR Am J Roentgenol 2006;187:W33–42.
- Valla DC. The diagnosis and management of the Budd-Chiari syndrome: consensus and controversies. Hepatology 2003;38:793–803.
- Middleton WD, Teefey SA, Darcy MD. Doppler evaluation of transjugular intrahepatic portosystemic shunts. Ultrasound Q. 2003;19(2):56–70
- Feldstein VA, Patel MD, LaBerge JM. TIPS shunts: accuracy of Doppler US in determination of patency and detection of stenoses. Radiology. 1996;201:141–147
Trang web đang upload liên tục các video bài giảng và tài liệu chẩn đoán hình ảnh. Để nhận thông báo về các bài viết mới nhất, vui lòng đăng ký Nhận bài viết mới và theo dõi Kênh Youtube


