Bài viết trong series DẤU HIỆU CHẨN ĐOÁN HÌNH ẢNH trình bày các dấu hiệu hình ảnh gợi ý hoặc đặc hiệu trên XQ, CT, MRI, Siêu âm.
Bản gốc
– Tiêu đề: Mediastinal Lymph Node Map
– Tác giả: Robin Smithuis – Radiology department of the Alrijne Hospital in Leiderdorp, the Netherlands
– Nguồn: Radiology Assistant (https://radiologyassistant.nl/chest/mediastinum/mediastinum-lymph-node-map)
Bản dịch
– Tiêu đề: Bản đồ hạch trung thất
– Người dịch: BS. Trần Thị Thu, BS Lê Vũ Duy – Trung tâm Chẩn đoán hình ảnh, Bệnh viện 103
Bản đồ hạch bạch huyết của hiệp hội quốc tế nghiên cứu ung thư phổi – IASLC

Hạch thượng đòn (Supraclavicular nodes)
1. Hạch vùng cổ thấp, hố thượng đòn và hạch ở khuyết cảnh xương ức
Từ bờ dưới của sụn thanh quản đến xương đòn và bờ trên cán xương ức.
Đường giữa khí quản chia ra nhóm 1R và 1L.
Hạch trung thất trên: nhóm 2-4 (Superior Mediastinal Nodes 2-4)
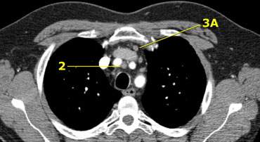
2R. Cạnh trên phải khí quản (Upper Paratracheal)
Hạch cạnh trên phải khí quản đi từ bờ trên cán ức đến vị trí giao nhau của tĩnh mạch vô danh trái với cạnh phải khí quản.
2L. Cạnh trên trái khí quản (Upper Paratracheal)
Đi từ bờ trên cán ức đến bờ trên quai động mạch chủ. Nhóm 2L nằm ở bên trái bờ trái khí quản.
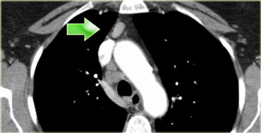
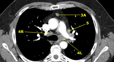
3A. Trước mạch máu (Pre-vascular)
Những hạch này nằm ở phía trước các mạch máu, không nằm cạnh khí quản như nhóm 2.
3P. Trước cột sống, sau thực quản (Pre-vertebral)
Những hạch này nằm ở phía trước cột sống, sau thực quản nhưng không cạnh khí quản như nhóm 2
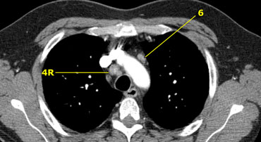
4R. Cạnh dưới phải khí quản (Lower Paratracheal)
Từ chỗ giao nhau của tĩnh mạch vô danh (tĩnh mạch cánh tay đầu trái) với khí quản đến bờ dưới của tĩnh mạch Azygos.
4L. Cạnh dưới trái khí quản (Lower Paratracheal)
Từ bờ trên quai động mạch chủ đến bờ trên động mạch phổi trái.

Hạch quanh động mạch chủ: nhóm 5-6 (Aortic Nodes 5-6)
5. Hạch ở dưới quai động mạch chủ (Subaortic)
Hạch từ dưới quai động mạch chủ đến nhánh đầu tiên của động mạch phổi trái.
6. Hạch ở cạnh động mạch chủ (Para-aortic)
Hạch ở trước và bên động mạch chủ lên và quai động mạch chủ
Nhóm hạch trung thất dưới: 7-9 (Inferior Mediastinal Nodes 7-9)
7. Hạch dưới carina (Subcarinal)
8. Hạch cạnh thực quản (Paraesophageal)
Hạch ở thấp hơn góc carina.
9. Hạch trong dây chằng phổi (Pulmonary Ligament)
Nodes lying within the pulmonary ligaments.
Nhóm hạch rốn phổi, thùy phổi, hạ phân thùy phổi: 10-14 (Hilar, Lobar and (sub)segmental Nodes 10-14)
Đây là tất cả các hạch N1
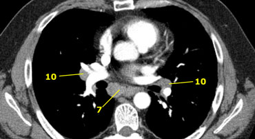
10. Hạch rốn phổi (Hilar nodes)
Bao gồm các hạch nằm cạnh phế quản gốc và các mạch máu rốn phổi).
Ở bên phải đi từ bờ dưới tĩnh mạch Azygos đến thùy trên phổi.
Ở bên trái đi từ bờ trên của động mạch phổi đến thùy trên phổi.
Axial CT anatomy
Images by Dr. Aurelia Fairise of the Institut de Cancérologie de Lorraine in Nancy.
1. Thượng đòn
2R. Cạnh trên phải khí quản
2L. Cạnh trên trái khí quản
3A. Trước mạch máu
3P. Sau khí quản
4R. Cạnh dưới phải khí quản
4L. Cạnh dưới trái khí quản
5. Dưới quai động mạch chủ
6. Cạnh động mạch chủ
7. Dưới carina
8. Cạnh thực quản
9. Trong dây chằng phổi
10. Rốn phổi
11. Gian thùy phổi
Các vùng hạch cụ thể

1. Hạch thượng đòn
Bao gồm hạch cổ thấp, hạch thượng đòn, hạch ở khuyết cảnh xương ức.
Bờ trên: bờ dưới sụn thanh quản.
Bờ dưới: xương đòn và bờ trên của cán ức.

2R. Cạnh trên phải khí quản
Kéo dài từ bờ trên trái của khí quản.
Bờ trên: bờ trên của cán ức.
Bờ dưới: chỗ giao nhau của tĩnh mạch vô danh với khí quản.
2L. Hạch cạnh trái khí quản
Bờ trên: bờ trên cán ức.
Bờ dưới: bờ trên quai động mạch chủ.

3. Hạch trước mạch máu và trước cột sống
3A: trước mạch máu hoặc
3B: sau thực quản.
Hạch nhóm 3 không tiếp cận được qua nội soi trung thất.
3P: có thể tiếp cận được qua siêu âm nội soi.

Hạch ở phía trước mạch máu – 3A (mũi tên)

4R. Hạch cạnh dưới phải khí quản.
Bờ trên: chỗ giao nhau của tĩnh mạch vô danh với khí quản.
Bờ dưới: bờ dưới của tĩnh mạch Azygos.

Hạch ở nhóm 4R, và cũng có hạch ở bên quai động mạch chủ (nhóm 6)

4L. Hạch cạnh dưới trái khí quản
Nằm ở bên trái của cạnh trái khí quản, giữa đường ngang được vẽ theo phương tiếp tuyến với bờ trên của cung động mạch chủ với một đường được vẽ theo phương tiếp tuyến với bờ trên của động mạch phổi trái.
Bao gồm các hạch nằm ở giữa dây chằng động mạch.
Hạch ở cửa sổ phế chủ nằm ở phía bên của dây chằng động mạch

Hình ảnh ở mức trên của thân động mạch phổi cho thấy hạch cạnh dưới khí quản bên phải và bên trái. Cũng có hạch nhóm 3 và nhóm 5.

Hình ảnh ở ngang mức thấp của khí quản, trên góc carina.
Hạch nhóm 4L, nằm giữa thân động mạch phổi và động mạch chủ nhưng không thuộc cửa sổ phế chủ do chúng nằm ở giữa của dây chằng động mạch.
Hạch ở phía bên của thân động mạch phổi thuộc nhóm 5.

5. Hạch dưới quai động mạch chủ
Hạch ở dưới quai động mạch chủ hay ở cửa sổ phế – chủ, nằm ở phía bên của dây chằng động mạch hay động mạch chủ hoặc động mạch phổi trái và gần với nhánh đầu tiên của động mạch phổi trái và nằm trong màng phổi trung thất.
6. Hạch cạnh động mạch chủ
Nằm ở phía trước và phía bên của động mạch chủ lên và quai động mạch chủ từ bờ trên đến bờ dưới của quai động mạch chủ.
- Lung-RADS v2022: Đánh giá phân loại và khuyến cáo quản lý
- Fleischner Society 2017: Hướng dẫn quản lý nốt phổi phát hiện tình cờ trên CT
- Tài liệu Hội nghị Chẩn đoán hình ảnh TP. Hồ Chí Minh mở rộng 2025

7. Hạch dưới carina
Nằm ở phía dưới góc carina của khí quản, nhưng không liên quan với thùy dưới hoặc thùy trên của phổi.
Ở bên phải chúng kéo dài đến bờ dưới của phế quản trung gian.
Ở bên trái chúng kéo dài đến bờ trên của phế quản thùy dưới.

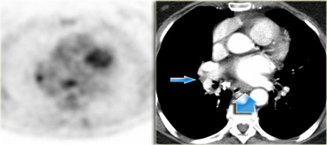
8. Hạch cạnh thực quản
Hạch ở dưới carina và kéo dài theo chiều dọc đến cơ hoành.
Hạch ở bên phải thực quản (nhóm 8).

Hình ảnh PET-CT cho thấy hấp thụ FDG ở hạch nhóm 8.
Trên hình ảnh CT cho thấy hạch không xâm lấn (mũi tên xanh).
Đây có thể là hạch di căn.

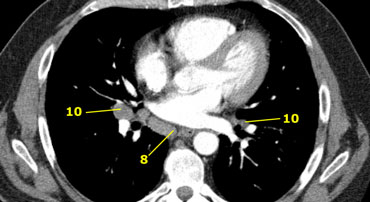
9. Hạch ở dây chằng phổi
Nằm ở dây chằng phổi, bao gồm thành sau và phần dưới của tĩnh mạch phổi dưới.

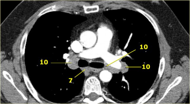
10. Hạch rốn phổi
Hạch gần thùy phổi, xa màng phổi trung thất và nằm gần phế quản trung gian bên phải.
Hạch 10-14 thuộc nhóm N1 vì không nằm trong trung thất.
Axial CT of Lymph Nodes
1. Sternal notch nodes are just seen at this level and above this level.
2. Upper Paratracheal: below clavicles and on the right above the intersection of caudal margin of innominate (left brachiocephalic) vein with the trachea and on the left above the aortic arch.
3. Pre-vascular and Retrotracheal : anterior to the vessels (3A) or prevertebral (3P).
4. Lower Paratracheal : below upper margin of aortic arch down to level of main bronchus.
5. Subaortic (A-P window): nodes lateral to ligamentum arteriosum or lateral to aorta or left pulmonary artery.
6. Para-aortic: nodes lying anterior and lateral to the ascending aorta and the aortic arch beneath the upper margin of the aortic arch.
7. Subcarinal
8. Paraesophageal (below carina).
9. Pulmonary Ligament: nodes lying within the pulmonary ligament.
10-14: nodes are all N1 nodes
Nội soi trung thất

Nội soi thường
Các hạch có thể sinh thiết qua nội soi trung thất: hạch nhóm 2L, 2R, 4R, 4L và nhóm 7.
Hạch nhóm 1 nằm ở khuyết cảnh xương ức không tiếp cận được qua nội soi.

Nội soi xâm lấn
Các khối u ở thùy trên bên trái có thể di căn đến nhóm 5 và nhóm 6.
Những hạch này không thể sinh thiết được qua nội soi thường.
Nội soi xâm lấn thường được dùng để thăm dò các hạch trung thất.

Nội soi siêu âm
Nội soi siêu âm với FNA được thực hiện với tất cả hạch trung thất và có thể đánh giá được thực quản.
Ở phía trên tuyến thượng thận và trên gan trái có thể quan sát thấy.
Tài liệu tham khảo
- Regional lymph node classification for lung cancer staging
by CF Mountain and CM Dresler
Chest, Vol 111, 1718-1723 - The IASLC Lung Cancer Staging Project: A Proposal for a New International Lymph Node Map in the Forthcoming Seventh Edition of the TNM Classification for Lung Cancer
by Valerie Rusch et al
Journal of Thoracic Oncology:
May 2009 – Volume 4 – Issue 5 – pp 568-577 - Conventional mediastinoscopy
by Paul De Leyn and Toni Lerut.
in the Multimedia Manual of Cardiothoracic Surgery - Mediastinal Staging of Non Small-Cell Lung Cancer
by Christian Lloyd, MD, and Gerard A.Silvestri, MD, FCCP Christian Lloyd, MD, and Gerard A.Silvestri, MD, FCCP
Cancer Control, July/August 2001,Vol.8, No.4 Cancer Control 311 - State of the art lecture: EUS and EBUS in pulmonary medicine
by J. T. Annema, and K. F. Rabe
Endoscopy 2006; 38: 118-122 - Imaging of the Patient with Non Small Cell Lung Cancer, What the Clinician Wants to Know
by Reginald F. Munden, MD, DMD, Stephen S. Swisher, MD, Craig W. Stevens, MD, PhD and David J. Stewart, MD
Radiology 2005; 237:803-818
Trang web đang upload liên tục các video bài giảng và tài liệu chẩn đoán hình ảnh. Để nhận thông báo về các bài viết mới nhất, vui lòng đăng ký Nhận bài viết mới và theo dõi Kênh Youtube


