CT CONTRAST INJECTION AND PROTOCOLS
Nguồn: CT contrast injection and protocols
Radiology Assistant. Publicationdate 2014-06-01
Tác giả: Robin Smithuis
Radiology department of the Rijnland Hospital in Leiderdorp, the Netherlands
Người dịch: BS Nguyễn Việt Quang, BS Trương Thị Anh Thư
Khoa CĐHA, BV Tim mạch An Giang
Biên tập song ngữ: Hình ảnh Y khoa
CHỤP CẮT LỚP VI TÍNH CÓ TIÊM THUỐC TƯƠNG PHẢN VÀ CÁC PROTOCOL
Introduction / Giới thiệu
Optimal contrast enhancement is important for a succesful diagnostic CT-scan.
In this article we will discuss:
– Basics of contrast enhancement
– Amount of contrast and injection rate
– Timing of CT-series
– Discuss a few protocols
Tối ưu hóa việc tiêm thuốc tương phản rất quan trọng trong chẩn đoán CT.
Trong bài bài viết này chúng tôi sẽ trình bày:
– Những vấn đề cơ bản trong tăng quang sau tiêm thuốc tương phản.
– Số lượng và tốc độ tiêm thuốc tương phản.
– Thời điểm chụp sau tiêm thuốc.
– Bàn luận một vài protocol
1 Basics of contrast-enhancement / Những vấn đề về thuốc tương phản-tăng quang
1.1 Phases of enhancement
The purpose of contrast-enhanced CT (CECT) is to find pathology by enhancing the contrast between a lesion and the normal surrounding structures.
Sometimes a lesion will be hypovascular compared to the normal tissue and in some cases a lesion will be hypervascular to the surrounding tissue in a certain phase of enhancement. So it is important to know in which phase a CT should be performed depending on the pathology that you are looking for.
- Non-enhanced CT (NECT)
Helpful in detecting calcifications, fat in tumors, fat-stranding as seen in inflammation like appendicitis, diverticulitis, omental infarction etc. - Early arterial phase – 15-20 sec p.i. or immediately after bolustracking.
This is the phase when the contrast is still in the arteries and has not enhanced the organs and other soft tissues. - Late arterial phase – 35-40 sec p.i. or 15-20 sec after bolustracking.
Sometimes also called “arterial phase” or “early venous portal phase, because some enhancement of the portal vein can be seen.
All structures that get their bloodsupply from the arteries will show optimal enhancement. - Hepatic or late portal phase – 70-80 sec p.i. or 50-60 sec after bolustracking.
Although hepatic phase is the most accurate term, most people use the term “late portal phase”.
In this phase the liver parenchyma enhances through bloodsupply by the portal vein and you should see already some enhancement of the hepatic veins. - Nephrogenic phase – 100 sec p.i. or 80 sec after bolustracking.
This is when all of the renal parenchyma including the medulla enhances.
Only in this phase you will be able to detect small renal cell carcinomas. - Delayed phase – 6-10 minutes p.i. or 6-10 minutes after bolustracking.
Sometimes called “wash out phase” or “equilibrium phase”.
There is wash out of contrast in all abdominal structures except for fibrotic tissue, because fibrotic tissue has a poor late wash out and will become relatively dense compared to normal tissue. This is comparable to late enhancement of infarcted scar tissue in cardiac MRI.
1.1 Các thì tăng quang
Mục đích của chụp CT có cản quang (CECT) là tìm sự khác biệt về tính tương phản giữa tổn thương và mô lành xung quanh.
Tổn thương nhiều mạch máu nuôi thường sẽ tăng quang hơn các mô xung quanh và ngược lại, tổn thương ít mạch máu nuôi sẽ tăng quang ít hơn mô xung quanh. Do đó điều quan trọng là phải biết các thì CT nên được thực hiện tùy thuộc vào bệnh lý đang tìm kiếm.
- CT không tiêm thuốc (NECT)
Chủ yếu tìm các tổn thương: vôi hóa, mỡ trong tổn thương (mỡ trong khối u), thâm nhiễm mỡ (mỡ viêm, fat stranding) trong bệnh cảnh viêm ruột thừa, viêm túi thừa, nhồi máu mạc nối… - Thì động mạch sớm – 15-20 giây sau khi tiêm cản quang hay ngay sau khi bolustracking (tiêm thuốc bằng máy và có theo dõi nồng độ thuốc).
Trong thì này thuốc cản quang vẫn còn trong mạch máu, chưa vào trong mô mềm của các tạng. - Thì động mạch muộn – 35-40 sec sau tiêm thuốc hay 15-20 sec sau bolustracking.
Đôi lúc được gọi là “thì động mạch muộn” hay “thì tĩnh mạch cửa sớm” vì có tăng quang chút ít trong các tĩnh mạch cửa.
Tất cả các cấu trúc mô mềm của các tạng tăng quang tối ưu trong thì này. - Thì gan hay thì tĩnh mạch cửa muộn – 70-80 sec sau tiêm thuốc hay 50-60 sec sau bolustracking.
Thì gan là tên gọi chính xác nhất, nhưng cũng có nhiều người gọi “thì tĩnh mạch cửa muộn”.
Trong thì này nhu mô gan tăng quang rõ nhất do gan nhận 2/3 lượng máu nuôi từ tĩnh mạch cửa (1/3 lượng máu nuôi từ động mạch gan). Trong thì này thấy có tăng quang chút ít ở các tĩnh mạch gan. - Thì thận – 100 sec sau tiêm thuốc hay 80 sec sau bolustracking.
Trong thì này toàn bộ nhu mô thận kể cả tủy thận tăng quang rõ.
Chỉ trong thì này mới có thể phát hiện được các ung thư tế bào thận nhỏ. - Thì muộn – 6-10 phút sau tiêm thuốc hay 6-10 phút sau bolustracking.
Còn gọi là thì thải sạch “wash out phase” hay thì cân bằng “equilibrium phase”.
Trong thì này các tạng ổ bụng thải sạch thuốc cản quang ngoại trừ các mô xơ, vì mô xơ thải thuốc chậm và sẽ trở nên tương đối tăng tỷ trọng so với mô bình thường. Có thể so sánh điều này với tăng cường muộn của mô sẹo nhồi máu trong MRI tim.

Non Enhanced CT
Detection of:
– Stones in kidney, ureter and sometimes in CBD
– Calcifications in liver, pancreas
– Fat in liver tumors
– Fat in adrenal adenoma or myelolipoma
CT không cản quang
Phát hiện:
– Sỏi thận, sỏi niệu quản, sỏi mật…
– Vôi hóa ở gan, tụy.
– Mỡ trong u gan, trong adenoma thượng thận, trong myelolipoma.

Early arterial phase
15-20 sec p.i. or immediately after bolustracking
Demarcation of vessels
Detection of:
– Dissection of aorta
– Arterial bleeding
Thì động mạch sớm
Chụp 15 – 20 giây sau tiêm thuốc hay ngay sau khi bolus tracking.
Phân định mạch máu.
Giúp phát hiện:
– Bóc tách động mạch chủ
– Chảy máu do tổn thương động mạch.

Late arterial phase
35-40 sec p.i. or 20 sec after bolustracking
Enhancement of:
– hypervascular lesions
– stomach
– bowel
– pancreas parenchyma
– spleen
– kidney outer cortex
Detection of:
– Liver: HCC – FNH – Adenoma
– Pancreas: adenocarcinoma – insulinoma
– Bowel ischemia
Thì động mạch muộn
35 – 40 giây sau tiêm thuốc hay 20 giây sau khi bolus tracking.
Tăng quang:
– các tổn thương giàu mạch máu,
– dạ dày,
– ruột,
– nhu mô tụy,
– lách,
– phần ngoài vỏ thận.
Giúp phát hiện:
– Gan: HCC; FNH; Adenoma
– Tụy: adenocarcinoma; insulinoma
– Thiếu máu ruột.

Hepatic phase
70-80 sec p.i. or 50-60 sec after bolustracking
Enhancement of:
– Hepatic parenchyma
Detection of:
– Hypovascular liver lesions: cysts, abscess, most metastases.
Thì gan
70-80 giây sau tiêm thuốc hay 50-60 giây sau bolus tracking
Tăng quang:
– Nhu mô gan
Giúp phát hiện:
– Các tổn thương gan ít mạch máu như nang, abscess, hầu hết các di căn.

Nefrogenic phase
100 sec p.i. or 80 sec after bolustracking
Enhancement of:
– All renal parenchyma including medulla
Detection of:
– Renal cell carcinoma (arrow)
Thì thận
100 giây sau tiêm thuốc hay 80 giây sau bolus tracking.
Tăng quang:
– Toàn bộ nhu mô thận, bao gồm cả tủy thận.
Giúp phát hiện:
– Ung thư tế bào thận (mũi tên)

Delayed phase
6 minutes p.i. or 6 minutes after bolustracking
Enhancement of:
– fibrotic lesions
– still enhancement of kidney and unirary collecting system
Detection of:
– Liver: Cholangiocarinoma (arrow); Fibrotic metastases, most commonly breastcancer
– Kidney: Transitional cell carcinoma (blue arrow)
Thì muộn
6 phút sau khi tiêm thuốc hay 6 phút sau bolus tracking.
Tăng quang:
– các tổn thương xơ hóa;
– thận và hệ thống tiết niệu vẫn còn tăng quang.
Giúp phát hiện:
– Gan: Ung thư đường mật (cholangiocarcinoma) (mũi tên đỏ); Di căn có xơ hóa, thường gặp nhất trong ung thư tuyến vú.
– Thận: Ung thư tế bào chuyển tiếp (mũi tên xanh).
1.2 Timing of CECT
Timing of CT-series is important in order to grab the right moment of maximal contrast differences between a lesion and the normal parenchyma.
The CT-images show an early arterial phase in comparison to a late arterial phase.
The CT-images are of a patient who underwent two phases of arterial imaging at 18 and 35 seconds. In the early arterial phase we nicely see the arteries, but we only see some irregular enhancement within the liver.
In the late arterial phase we can clearly identify multiple tumor masses.
1.2 Thời điểm chụp sau tiêm thuốc
Thời điểm chụp sau tiêm thuốc rất quan trọng để nắm bắt đúng giai đoạn có độ sai biệt tương phản lớn nhất giữa tổn thương và nhu mô bình thường.
Hình ảnh thì động mạch sớm lúc 18 giây, thì động mạch trễ lúc 35 giây.
Tại gan, ở thì động mạch sớm thấy rõ các nhánh động mạch gan, nhưng chỉ thấy tăng quang nhẹ không đều trong nhu mô gan.
Trong thì động mạch trễ chúng ta có thể thấy rõ nhiều khối choáng chỗ nếu có.

Hypervascular lesion is best seen in late arterial phase.
Tổn thương giàu mạch máu được thấy rõ trong thì động mạch muộn.

You have to adapt your protocol to the type of scanner, the speed of contrast injection and to the kind of patient that you are examining.
If you have a single slice scanner, it will take about 20 seconds to scan the liver. For late arterial phase imaging 35 sec is the optimal time, so you start at about 25 seconds and end at about 45 seconds.
However if you have a 64-slice scanner, you will be able to examine the whole liver in 4 seconds. So you start scanning at about 33 seconds, which is much later.
In aterial phase imaging the time window is narrow, since you have only limited time before the surrounding liver will start to enhance and obscure a hypervascular lesion.
For Late portal venous phase imaging it is different. Here you don’t want to be too early, because you want to load the liver with contrast and it takes time for contrast to get from the portal vein into the liver parenchyma. Besides you have more time, because the delayed or equilibrium phase starts at about 3-4 minutes.
So you start at 75 seconds with whatever scanner you have.
Các bạn nên điều chỉnh protocol chụp tùy theo: loại máy CT, tốc độ tiêm thuốc và tùy theo nhóm bệnh nhân.
Nếu bạn có máy CT 1 lát cắt (1 dãy đầu dò), bạn phải mất 20 giây để quét hết nhu mô gan. Thì động mạch muộn lý tưởng là giây thứ 35 sau tiêm thuốc, để chụp thì này bạn phải khởi phát chụp từ giây 25 và kết thúc ở giây 45.
Tuy nhiên nếu bạn có máy CT 64 lát cắt (64 dãy đầu dò), bạn có thể quét toạn bộ nhu mô gan trong 4 giây. Vì vậy ở thì động mạch trễ bạn nên bắt đầu chụp ở giây thứ 33.
Trong thì động mạch, cửa sổ thời gian là hẹp, vì bạn chỉ có thời gian hạn chế trước khi gan bắt đầu tăng quang và che khuất tổn thương giàu mạch.
Đối với thì tĩnh mạch cửa muộn, cho dù máy CT của bạn là loại nào, bạn nên bắt đầu chụp ở giây thứ 75. Thì này có chậm 1 chút thì thuốc từ tĩnh mạch cửa vào nhu mô gan càng nhiều, càng thấy rõ nhu mô gan hơn.
Thì muộn hay thì cân bằng (3 – 4) phút sau khi tiêm thuốc cản quang.
nguồn: hinhanhykhoa.com
1.3 Total amount of contrast
In many protocols a standard dose is given related to the weight of the patient:
– Weight < 75kg : 100cc
– Weight 75-90kg: 120cc
– Weight > 90kg : 150cc
In some protocols we always want to give the maximum dose of 150cc, like when you are looking for a pancreatic carcinoma or liver metastases.
1.3 Tổng liều thuốc tương phản
Trong nhiều protocol liều chuẩn được tính theo cân nặng của bệnh nhân:
– Cân nặng < 75kg : 100cc
– Cân nặng 75-90kg: 120cc
– Cân nặng > 90kg : 150cc
Trong vài protocol người ta luôn cho liều tối đa 150cc, như các trường hợp tìm ung thư tụy hay tìm di căn gan.
1.4 Injection rate
5cc/sec through a 18 gauge i.v. catheter
– For all indications, but especially for GI-bleeding, livertumor characterisation, pancreatic carcinoma, pulmonary emboli.
– Use for instance a green venflon. Test by fast injection of 10cc NaCl manually.
– Hold the arm stretched.
3-4cc/sec through a 20 gauge pink venflon
– If 5cc/sec is not possible or not needed because you are only interested in the late portal phase.
1.4. Tốc độ tiêm
5cc/giây qua kim 18 gauge đường tĩnh mạch
– Trong hầu hết các chỉ định, đặc biệt trong chảy máu dạ dày ruột, đặc điểm u gan, ung thư tụy, thuyên tắc phổi.
– Thường sử dụng kim luồn màu xanh lá. Thử bằng cách tiêm nhanh 10ml nước muối sinh lý bằng tay.
– Giữ cánh tay duỗi.
3-4cc/giây qua kim 20 gauge (màu hồng)
– Khi không thể tiêm nhanh 5cc/sec hay khi không cần (như trường hợp bạn chỉ muốn xem thì tĩnh mạch cửa muộn).

The upper images are of a patient with liver cirrhosis and multifocal hepatocellular carcinoma examined after contrast injection at 2.5ml/sec. Because of poor enhancement the examination was repeated at 5ml/sec. There is far better contrast enhancement and better tumor detection.
Hình trên bệnh nhân bị xơ gan và ung thư tế bào gan đa ổ được tiêm thuốc tốc độ 2.5ml/sec. Hình dưới được tiêm thuốc tốc độ 5ml/sec, hình ảnh tăng quang rõ hơn, phát hiện u tốt hơn.
1.5 Oral contrast
Some prefer to give positive oral contrast to mark the bowel.
This however has some disadvantages:
1. Usually only a portion of the bowel is filled with contrast.
2. More radiation is needed in areas of positive contrast to get the same quality of images.
3. Enhancement of the bowel wall is obscured.
We use fat containing milk as negative oral contrast or if the patient doesn’t drink milk we simply use water.
Polyethylene glycol (PEG) is also used, and Volumen®, which is a low density barium suspension.
PEG and Volumen® have the advantage that there is better bowel distension.
1.5 Chất tương phản đường uống
Một số tác giả thích dùng chất tương phản dương để làm rõ hình ảnh của ruột.
Tuy nhiên có vài bất lợi:
1. Chỉ một đoạn ruột được lấp đầy chất tương phản.
2. Cần số lượng tia xạ nhiều hơn để cho hình ảnh tốt tương đương với các cách thức dùng thuốc tương phản khác.
3. Tăng quang thành ruột không rõ.
Chúng ta có thể dùng loại sữa chứa mỡ như loại chất tương phản âm hay nếu bệnh nhân không uống được sữa có thể dùng nước đơn thuần.
Có thể dùng Polyethylene glycol (PEG) và Volumen®, là các loại huyền dịch (suspension) barium đậm độ thấp.
PEG và Volumen® có lợi điểm là làm căng dãn ruột tốt hơn.

The CT-image shows nice enhancement of the normal bowel wall (yellow arrows) and no enhancement of the infarcted bowel (red arrows).
This would not be visible if positive oral contrast was given.
Hình CT cho thấy hình ảnh tăng quang thành ruột bình thường (mũi tên vàng) và không tăng quang ở đoạn ruột bị nhồi máu (mũi tên đỏ).
Hình ảnh này có thể không thấy được nếu dùng chất tương phản dương đường uống.
1.6 Rectal contrast
Rectal contrast is given in cases of suspected bowel perforation or anastomosis leakage.
We use positive contrast: 750 cc water with 50 cc non-ionic water soluable contrast.
More information is given in the protocol anastomosis leakage.
1.6 Chất tương phản qua đường trực tràng
Dùng chất tương phản qua đường trực tràng được chỉ định trong những trường hợp nghi ngờ thủng ruột hay dò mối nối.
Cách dùng: 750 cc water + 50 cc non-ionic water soluable contrast.
Xem thêm thông tin trong protocol rò mối nối
2 Liver / Gan
2.1 Dual blood supply
The conspicuity of a liver lesion depends on the attenuation difference between the lesion and the normal liver.
On a non enhanced CT-scan (NECT) liver tumors are not visible, because the inherent contrast between tumor tissue and the surrounding liver parenchyma is too low.
When we give i.v. contrast, it is important to understand, that there is a dual blood supply to the liver. Normal parenchyma is supplied for 80% by the portal vein and only for 20% by the hepatic artery, so the normal parenchyma will enhance maximally in the hepatic phase at 70-80 sec p.i. and only a little bit in the late arterial phase at 35-40 sec p.i..
All liver tumors however get 100% of their blood supply from the hepatic artery. So a hypervascular tumor will be best seen in the late arterial phase.
A hypovascular liver tumor however will enhance poorly in the late arterial phase, because it is hypovascular and the surrounding liver does also enhance poorly in that phase. This tumor is best seen when the surrounding tissue enhances, i.e. in the late portal (or hepatic) phase at 75-80 sec p.i.
2.1 Hai hệ thống cung cấp máu
Phát hiện các tổn thương ở gan là dựa trên sự khác biệt đậm độ giữa mô tổn thương và mô bình thường.
Ở CT không tiêm thuốc, các khối u gan thường không thể nhìn thấy, bởi vì sự tương phản giữa khối u và nhu mô gan xung quanh rất thấp.
Khi chúng ta tiêm thuốc cản quang, điều rất quan trọng phải biết là có 2 hệ thống cung cấp máu cho gan. Nhu mô gan nhận 80% máu nuôi từ tĩnh mạch cửa và chỉ 20 % từ động mạch gan. Vì vậy nhu mô gan bình thường sẽ tăng quang mạnh nhất ở thì tĩnh mạch cửa 70-80 giây sau tiêm và chỉ tăng quang chút ít trong thì động mạch muộn 35-40 giây sau tiêm.
Đa số các khối u gan nhận 100% lượng máu nuôi từ động mạch gan. Vì vậy khối u có tăng sinh mạch máu sẽ nhìn rõ nhất ở thì động mạch muộn.
Khối u nghèo mạch máu thường tăng quang rất kém ở các thì và chỉ được nhìn thấy rõ nhất khi các mô xung quanh tăng quang ở thì tĩnh mạch cửa (thì gan) 75-80 giây sau tiêm.

Hypervascular tumor (left) enhances in late arterial phase. Hypovascular tumor (right) enhances poorly and is best seen in the hepatic phase.
Khối u có tăng sinh mạch máu (trái) tăng quang ở thì động mạch muộn. Khối u ít mạch máu nuôi (phải) tăng quang kém và chỉ được nhìn rõ nhất ở thì tĩnh mạch.

This figure is to summarize the enhancement patterns.
In the late arterial phase at 35 sec hypervascular lesions like HCC, FNH, adenoma and hemangioma wil enhance optimally, while the normal parenchyma shows only minimal enhancement.
Hypovascular lesions like metastases, cysts and abscesses will not enhance and are best seen in the hepatic phase at 70 sec p.i.
Fibrotic lesions like cholangiocarcinoma and fibrotic metastases hold the contrast much longer than normal parenchyma. They are best seen in the delayed phase at 600 sec p.i. This late enhancement is comparable to what is seen in cardiac infarcts in MRI of the heart.
Hình này tóm lược các dạng tăng quang.
Các tổn thương có nhiều mạch máu nuôi như HCC, FNH, ung thư biểu mô và u máu sẽ tăng quang rõ ở thì động mạch muộn lúc 35 giây, trong khi đó các nhu mô bình thường tăng quang ít nhất ở thì này.
Các tổn thương ít mạch máu nuôi như di căn, nang và abscess sẽ không tăng quang và được nhìn rõ nhất ở thì tĩnh mạch cửa (thì gan) lúc 70 giây sau tiêm.
Tổn thương xơ hóa như ung thư biểu mô đường mật và di căn xơ hóa giữ thuốc cản quang lâu hơn so với nhu mô bình thường, nên được nhìn thấy rõ nhất ở thì muộn 600 giây sau tiêm.

If you want to characterize a liver lesion, you need maximum contrast at a maximum flow rate, i.e. 150cc contrast at 5cc/sec. through a 18 gauge green venflon.
In most cases you also want to scan the whole abdomen. You can do this either at 35 sec or 70 sec p.i.
We do not routinely perform a NECT in order keep the radiation dose as low as possible.
When you know in advance, that you are dealing with hypovascular metastases, a hepathic phase at 70 sec p.i. is sufficient.
Nếu muốn mô tả tốt các đặc điểm của tổn thương ở gan, thì cần có sự tối ưu hóa về mặt tương phản (tốc độ tiêm thuốc và thời điểm tiêm thích hợp). Ví dụ: 150cc thuốc cản quang, tiêm 5cc/giây qua kim luồn 18G.
Trong hầu hết các trường hợp, bạn cũng muốn quét toàn bộ ổ bụng. Có thể thực hiện điều này 35 giây hoặc 70 giây.
Có thể không cần chụp phim không cản quang lúc đầu để hạn chế mức độ hấp thu tia xạ.
Khi nghĩ tổn thương di căn nghèo mạch máu, có thể chỉ cần chụp thì gan lúc 70 giây là đủ.
nguồn: hinhanhykhoa.com
3 Pancreas / Tụy
3.1 Pancreatic carcinoma
Pancreatic carcinoma is a hypovascular tumor and is best detected in the late arterial phase at 35-40 sec p.i. when the normal glandular tissue enhances optimally and the hypovascular tumor does not.
Metastases in the liver are best detected at 70-80 sec p.i., when the liver parenchyma enhances optimally.
In some cases it can be difficult to differentiate a pancreatic carcinoma from a focal chronic pancreatitis.
A NECT can be included in the protocol to detect calcifications in the pancreas, but we do not use that in our standard protocol.
Some radiologists use a longer delay for scanning of the pancreas at 50 sec p.i.
3.1 Ung thư tụy
Ung thư tụy là u nghèo mạch máu và sẽ được thấy rõ nhất ở thì động mạch muộn 35-40 giây sau tiêm. Khi mô tuyến bình thường tăng quang rõ ràng và u nghèo mạch máu nuôi thì không tăng quang.
Di căn gan được nhận thấy rõ nhất ở 70-80 giây sau tiêm, khi nhu mô gan tăng quang rõ.
Ở một số trường hợp thì rất khó để phân biệt ung thư tụy và viêm tụy mạn khu trú.
CT không cản quang có thể đưa vào protocol chụp, giúp thấyđược vôi hóa ở tuyến tụy.
Một số bác sĩ hình ảnh thích chụp thì 50 giây sau tiêm thuốc.

Pancreatic carcinoma is best imaged at 35 sec p.i. Liver metastases are best imaged at 70 sec p.i.
Ung thư tụy thấy rõ ở thì 35 giây sau tiêm thuốc. Di căn gan thấy rõ ở thì 70 giây sau tiêm thuốc.
3.2 Acute pancreatitis
Imaging in acute pancreatitis is best done after 72 hours of presentation. read more…
Ct performed in the first two days can underestimate the severity of the disease.
Necrosis can be best detected in the late arterial phase at 35 sec p.i.
3.2 Viêm tụy cấp
CT viêm tụy cấp nên chụp sau 72 giờ khởi phát triệu chứng.
CT viêm tụy cấp chụp trong 2 ngày đầu có thể đánh giá không hết (underestimate ) độ trầm trọng của bệnh.
Mô hoại tử được phát hiện rõ ở thì động mạch muộn 35 giây sau tiêm thuốc.

CT examination of the pancreas should always be done with maximum amount of contrast at a maximum flow rate, because both small pancreatic carcinomas aswell as pancreatic necrosis in pancreatitis are difficult to detect.
It is a matter of personal flavor to do the whole abdomen at 35 sec p.i. or at 70 sec p.i.
Some perform one single CT somewhere inbetween 35 and 70 sec, but that is not what we prefer.
CT tụy nên chọn liều thuốc tương phản tối đa, tiêm tốc độ nhanh, vì các tổn thương nhỏ của u và viêm thường khó phát hiện.
Chụp ở 2 thì 35 giây và 70 giây sau tiêm thuốc.
Một số nơi thực hiện CT một thì duy nhất giữa 35 và 70 giây, nhưng đó không phải là những gì chúng tôi thích.
4 Ileus / Tắc ruột
Especially in small bowel obstruction (SBO) you need to answer the most important question: is there strangulation?
To answer that question, you need a contrast enhanced CT for the following reasons:
1. A scan at 35 sec p.i. is ideal to show bowel wall enhancement and possible strangulation.
2. Sometimes ischemia can be detected by looking for differences in enhancement of the bowel wall. This is best done on coronal thick slabs.
3. If there is a closed loop obstruction, this will be more obvious on a CECT.
4. An obstructing tumor will be better seen.
Do not use positive oral contrast, because this will obscure bowel wall enhancement.
Đặc biệt trong trường hợp tắc ruột non, bạn cần phải trả lời câu hỏi quan trọng: có thắt nghẹt mạch máu không ?
Để trả lời câu hỏi này bạn cần phải chụp CT cản quang:
1. Chụp ở giây thứ 35 sau tiêm thuốc là lý tưởng để thấy tăng quang ở thành ruột và phát hiện thắt nghẹt mạch máu ruột.
2. Nghi ngờ có thiếu máu cục bộ khi có sự tăng quang khác nhau ở các đoạn của thành ruột. Nhìn rõ trên mặt cắt coronal.
3. Nếu có tắc ruột quai đóng (closed loop obstruction), khả năng có thắt nghẹt mạch máu cao hơn, phải xem trên phim có cản quang.
4. Có thể thấy khối u gây tắc nghẽn.
Không nên dùng thuốc cản quang đường uống, vì có thể che lấp dấu hiệu tăng quang thành ruột.

Tắc ruột
– Tiêm thuốc 5 cc / giây, kim 18 hay catheter.
– Không dùng thuốc cản quang đường uống.
– Bụng: chụp ở giây thứ 35 sau tiêm thuốc.
– Trường chụp: từ đỉnh vòm hoành đến dưới xương mu.
– Lý tưởng là chụp thêm 1 thì 70 giây sau tiêm.

The coronal reconstruction nicely shows bowel wall enhancement in a patient with ileus due to a small bowel obstruction.
Notice the cluster of thick walled loops with poor enhancement and edema of the mesentery (red circle).
This is a closed loop obstruction with strangulation. This patient needs immediate surgery.
If this patient would have been given positive oral contrast, you probably would not have notice the ischemic bowel.
Read more about closed loop obstruction.
Mặt cắt coronal tái tạo dễ đánh giá tăng quang thành ruột ở những bệnh nhân bị dãn các quai ruột do tắc ruột non.
Ghi nhận có nhiều quai ruột thành dày, thành tăng quang kém và phù nề mạc treo (vòng đỏ).
Đây là trương hợp tắc ruột có quai ruột đóng kèm thắt nghẹt mạch máu. Bệnh nhân này cần phẫu thuật cấp cứu.
Nếu bệnh nhân này được dùng thuốc tương phản dương đường uống, có thể bạn sẽ không nhận thấy thiếu máu cục bộ quai ruột.
5 Anastomosis leakage / Rò mối nối
Leakage after bowel surgery is a great clinical problem.
Patients, who are suspected of leakage, need the best CT-protocol they can get and you as a radiologist need the best images to convince the clinician. You do not want to tell the surgeon that there is probably leakage, but you are not sure.
A NECT without any oral or rectal contrast is needed to compare with the CECT with rectal contrast, because you don’t want to end up in a discussion whether some hyperdense stuff outside the bowel is leakage or some post-operative material, dense bowel content or contrast from an earlier examination.
Rò mối nối sau phẫu thuật ruột là một vấn đề lâm sàng quan trọng.
Bệnh nhân – người nghi ngờ bị rò – cần một protocol CT tốt nhất mà họ có thể nhận được và bạn là một bác sĩ chẩn đoán hình ảnh, bạn cần những hình ảnh tốt nhất để thuyết phục các bác sĩ lâm sàng. Không lẽ bạn muốn nói với bác sĩ phẫu thuật rằng có lẽ có sự rò rỉ nhưng lại không chắc chắn.
Chụp CT không có chất tương phản đường uống hoặc đường trực tràng là cần thiết để so sánh với CT có thuốc tương phản đường trực tràng, bởi vì bạn không thể biết một số chất cản quang hiện diện bên ngoài ruột là do bị rò hay một số chất sau phẫu thuật, chất trong ruột hoặc chất tương phản hiện diện là từ lần chụp trước đó.

Rò mối nối
Đặt canule bơm 800 ml chất cản quang qua trực tràng (50 cc thuốc + 750 cc nước).
1. Chụp bụng không thuốc liều thấp
2. Chụp bụng ở giây thứ 35 sau bơm thuốc.
Ngay sau khi bơm thuốc cản quang vào trực tràng, tiêm thuốc đường tĩnh mạch.
Nói bệnh nhân cố gắng giữ thuốc trong trực tràng (khoảng 2 phút).






Here a patient with an anastomosis in the lower abdomen after resection of a sigmoid carcinoma.
Compare the NECT without oral or rectal contrast on the left with the images on the right after rectal contrast.
There is no doubt, that contrast in the fluid collection in the right lower abdomen is the result of leakage from the bowel (arrow).
Bệnh nhân bị rò mối nối sau mổ ung thư đại tràng sigma.
Hình bên trái không bơm thuốc so sánh với hình bên phải có bơm thuốc đường trực tràng.
Không còn nghi ngờ gì nữa, có thuốc cản quang trong vùng tụ dịch ở vùng bụng dưới bên phải là kết quả của sự rò từ ruột (mũi tên).
6 Pulmonary emboli / Thuyên tắc phổi
Good quality CT scanning is the most important factor for the diagnosis of pulmonary emboli. On a poor quality scan it is impossible to rule out emboli.
We prefer to scan from bottom to top, because if a patient can’t hold his breath, then you will have less breathing artefacts in the lower lobes, where most of the emboli are located. In the upper lobes breathing does not cause that much movement as in the lower parts of the lung.
We ask the patient to breath in normally and hold his breath to avoid the transient interruption of contrast, which will be explained in a moment.
Cần máy CT chất lượng tốt. Máy CT chất lượng kém không cho phép loại trừ thuyên tắc.
Chúng tôi thường quét từ vùng đáy lên đỉnh phổi, vì bệnh nhân nếu không nín thở tốt thì artefact cũng ít xảy ra ở vùng đáy phổi. Đa số các thuyên tắc là ở vùng đáy phổi. Hô hấp ở phần trên ít gây artefact so với vùng dưới của phổi.
Lúc đầu nói bệnh nhân thở đều bình thường (không nên thở mạnh và sâu) và khi chụp nói bệnh nín thở.

Thuyên tắc phổi
Ngực: Tiêm 80–100 cc/5 cc/giây. Không nên tiêm chậm hơn.
Đặt con trỏ ROI vào nhĩ phải hoặc thân động mạch phổi.
Nếu chụp nhanh: quét từ trên xuống dưới
Nếu chụp chậm: quét từ đáy đến đỉnh
Bắt đầu tử khoảng 5 cm dưới vòm hoành.
Giải thích với bệnh nhân điều quan trọng là thở đều bình thường, không nên thở mạnh tránh máu không có thuốc từ tĩnh mạch chủ dưới vào tuần hoàn phổi nhiều.

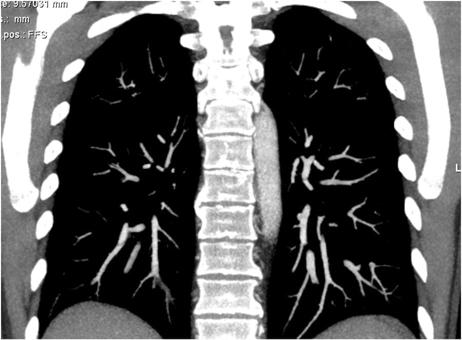
For good timing bolus tracking is needed.
A ROI is placed in the pulmonary trunk.
When the treshhold of 150 HU is reached, the patient is asked to breath in and scanning is started immediately.
Để chọn đúng thời điểm chụp, cần có bộ phận theo dõi nồng độ thuốc (bolus tracking).
Đặt con trỏ (ROI) vào vị trí thân động mạch phổi.
Khi nồng độ thuốc đạt tới 150 HU, nói bệnh nhân hít vào và nín thở, chụp ngay sau đó.
6.1 Transient interruption of contrast
TIC is a flow artefact, that consists of relatively poor contrast enhancement in the pulmonary arteries, while there is good enhancement in the SVC and also in the aorta, which seems not logic at all.
This vascular phenomenon occurs when the patient performs a deep inspiration just before the scan starts, resulting in increased venous return of unopacified blood from the inferior vena cava (IVC). More unopacified blood from the IVC than opacified blood from the SVC enters the right atrium resulting in poor enhancement of the pulmonary arteries.
This phenomanon is especially seen in younger patients, who are capable of deep inspiration.
6.1 Hiện tượng giảm chất tương phản thoáng qua (TIC)
TIC là một ảnh giả do dòng chảy, bao gồm sự ngấm thuốc kém tương đối trong các động mạch phổi, trong khi có sự ngấm thuốc tốt trong tĩnh mạch chủ trên (SVC) cũng như trong động mạch chủ, trông dường như không logic chút nào.
Hiện tượng này xảy ra khi bệnh nhân hít quá sâu trước khi quá trình quét bắt đầu, dẫn đến gia tăng lượng máu chảy ngược trở của máu chưa có thuốc cản quang từ tĩnh mạch chủ dưới (IVC). Nhiều máu chưa có thuốc cản quang trở về nhĩ phải từ IVC hơn so với máu đã có thuốc cản quang từ SVC, dẫn đến sự ngấm thuốc kém của các động mạch phổi.
Hiện tượng này đặc biệt được thấy ở những bệnh nhân trẻ, có khả năng hít thở sâu.

Transient Interruption of Contrast: Deep inspiration results in dilution of contrast in the right atrium by unopacified blood from the inferior vena cava.
Hiện tượng giảm chất tương phản thoáng qua: Hít thở sâu dẫn đến chất tương phản bị hòa loãng với máu chưa có thuốc cản quang từ tĩnh mạch chủ dưới.

1. Optimal 2. Too late. 3. Transient interruption of contrast
1. Tối ưu; 2. Quá trễ; 3. Giảm chất tương phản thoáng qua
The quality of CT depends on good contrast delivery and perfect timing.
Scans for pulmonary emboli are frequently of poor quality in young patients and of good quality in old patients. The explanation is the following:
– Older patients usually have a poor cardiac output, which results in a compact contrast-bolus and good enhancement of the pulmonary vessels (see image 1).
– Young patients and especially pregnant women have a high cardiac output, which results in dilution of the contrast and poor enhancement.
– Young patients are capable of deeper inspiration, which can lead to transient interruption of contrast.
The images demonstrate:
1. Optimal enhancement of pulmonary arteries in an old patient with a poor cardiac output.
2. Poor enhancement of pulmonary arteries due to late scanning.
3. Good enhancement in SVC and aorta in image 3A, but insufficient enhancement of the pulmonary vessels due to TIC in image 3B.
Chất lượng phim CT động mạch phổi phụ thuộc vào kỹ thuật tiêm thuốc tương phản và chọn thời điểm chụp thích hợp.
Chụp thuyên tắc phổi thường có hình chất lượng kém ở bệnh nhân trẻ và có chất lượng tốt ở bệnh nhân già. Điều này được giải thích như sau:
– Bệnh nhân lớn tuổi thường có cung lượng tim thấp, dẫn đến một lượng lớn thuốc tương phản cô đặc lại và ngấm thuốc tốt ở các mạch phổi (hình 1).
– Các bệnh nhân trẻ và đặc biệt là phụ nữ mang thai có cung lượng tim cao, kết quả là pha loãng thuốc tương phản và ngấm thuốc kém.
– Bệnh nhân trẻ có khả năng hít sâu hơn, có thể dẫn đến hiện tượng giảm chất tương phản thoáng qua.
Biểu hiện trên hình ảnh:
1. Ngấm thuốc tối ưu ở các động mạch phổi ở bệnh nhân già có cung lượng tim thấp.
2. Ngấm thuốc của động mạch phổi kém do quét muộn.
3. Ngấm thuốc tốt trong SVC và động mạch chủ ở hình 3A, nhưng sự ngấm thuốc không đủ ở các mạch máu phổi do hiện tượng TIC trong hình 3B.




Thick MIP reconstructions can be helpful in following the vessels and detecting emboli.
Hình tái tạo MIP dày cho phép theo dõi và phát hiện thuyên tắc.
7 Overview of CT-protocols / Tổng quan các protocol
The table shows an overview of some of the CT-protocols, that we use (click to enlarge). They are based on a 64-slice scanner but can be used for any CT-scanner independent of manufacturer.
In this table only specific protocols are summarized, since most institutions have their own standard protocols.
Bảng dưới cho thấy một cách tổng quan về một số protocol chụp CT mà chúng tôi sử dụng. Dựa trên máy quét 64 lát nhưng có thể được sử dụng cho bất kỳ máy CT độc lập nào của nhà sản xuất.
Trong bảng này chỉ các protocol đặc trưng được tóm tắt, vì hầu hết các tổ chức đều có các protocol chuẩn của riêng họ.
Gan – Đánh giá tổn thương gan
150 cc thuốc tương phản. Tiêm 5 cc/ giây; kim 18.
1. Thì 35 giây
2. Thì 70 giây
3. Thì muộn 10 phút.
Gan – Tìm di căn
150 cc thuốc tương phản. Tiêm 5 cc/ giây; kim 18.
– Chụp bụng: thì 70 giây
Chủ yếu tìm nhân di căn ít mạch máu.

Tụy – U tụy / viêm tụy
150 cc thuốc tương phản. Tiêm 5 cc/ giây; kim 18.
1. Chụp bụng: thì 35 giây
2. Chụp bụng cao: thì 70 giây.
Tùy chọn: chụp bụng cao không thuốc để tìm vôi hóa trong viêm tụy mạn.

Chảy máu dạ dày-ruột
1. Bụng không thuốc
2. Bụng sau tiêm thuốc tương phản 150 cc / 5 cc/ giây – thì 35 giây
3. Bụng: thì 70 giây.

Tắc ruột
Tiêm thuốc 5 cc / giây, kim 18 hay catheter.
Không dùng thuốc cản quang đường uống.
Bụng: chụp ở giây thứ 35 sau tiêm thuốc.
Trường chụp: từ đỉnh vòm hoành đến dưới xương mu.
Lý tưởng là chụp thêm 1 thì 70 giây sau tiêm.

Chấn thương bụng kín
150 cc thuốc tương phản. Tiêm 5 cc/ giây; kim 18.
1. Bụng: thì 35 giây
2. Bụng: thì 180 giây.

Rò mối nối
Đặt canule bơm 800 ml chất cản quang qua trực tràng (50 cc thuốc + 750 cc nước).
1. Chụp bụng không thuốc liều thấp
2. Chụp bụng ở giây thứ 35 sau bơm thuốc.
Ngay sau khi bơm thuốc cản quang vào trực tràng, tiêm thuốc đường tĩnh mạch.
Nói bệnh nhân cố gắng giữ thuốc trong trực tràng (khoảng 2 phút).

Thuyên tắc phổi
Ngực: Tiêm 80–100 cc/5 cc/giây. Không nên tiêm chậm hơn.
Đặt con trỏ ROI vào nhĩ phải hoặc thân động mạch phổi.
Nếu chụp nhanh: quét từ trên xuống dưới
Nếu chụp chậm: quét từ đáy đến đỉnh
Bắt đầu tử khoảng 5 cm dưới vòm hoành.
Giải thích với bệnh nhân điều quan trọng là thở đều bình thường, không nên thở mạnh tránh máu không có thuốc từ tĩnh mạch chủ dưới vào tuần hoàn phổi nhiều.

1. Ngực + Bụng cao: thì 35 giây
2. Bụng cao: thì 70 giây.

Xem thêm
- [Song ngữ] Chẩn đoán hình ảnh mạch não ở bệnh nhân đột quỵ cấp
- Thuật ngữ y khoa Anh – Việt thường gặp (A-Z)
- [Song ngữ Y khoa] Danh pháp và thuật ngữ viết báo cáo chuẩn thoát vị đĩa đệm
- [Bản dịch] Hình ảnh dị dạng động tĩnh mạch não
- [Thuật ngữ Y khoa] Cập nhật thuật ngữ, chẩn đoán, điều trị u máu và dị dạng mạch máu
- [Sách dịch] Chẩn đoán phân biệt trên cắt lớp vi tính – Tổn thương trên lều
Trang web đang upload liên tục các video bài giảng và tài liệu chẩn đoán hình ảnh. Để nhận được thông báo về các bài viết mới nhất, vui lòng đăng ký tại Form nhận bản tin và theo dõi tại kênh Youtube





